CASE REPORT
JOP. J Pancreas (Online) 2012 Jan 10; 13(1):58-60.
Carcinoma of the Tail of the Pancreas Presenting As Acute Abdomen
Reginald Griffin1, Bruce Villas2, Cindy Davis2, Ziad T Awad1
1Department of Surgery and 2Department of Pathology, University of Florida College of Medicine. Jacksonville, FL, USA
ABSTRACT
Context Large bowel obstruction with perforation is an anomalous presentation of pancreatic tail carcinoma. Pancreatic cancer is often difficult to diagnose clinically and is especially furtive when it is located in the tail of the pancreas. Case report We describe a patient who presented with large bowel obstruction due to splenic flexure mass which proved to be due to pancreatic mucinous adenocarcinoma. Conclusions Pancreatic adenocarcinoma can rarely have the same presentation as colon cancer, and should therefore be considered in the differential diagnosis of large bowel obstruction.
INTRODUCTION
Large bowel obstruction is an unusual presentation pancreatic tail cancer.
CASE REPORT
A 73-year-old man presented to the emergency room with diffuse abdominal pain and distention. The pain was described as “crampy” and started one week prior. It was associated with multiple episodes of bilious emesis the previous two days. He stated his last bowel movement was four days ago. Further questioning elicited a 40 pound weight loss within the last two months. His past medical history included newly diagnosed chronic obstructive pulmonary disease, and nicotine dependence noteworthy for 60 pack-years.
Clinically, the patient appeared cachectic, and was in distress secondary to abdominal pain. He was tachypnic and tachycardic and his abdomen was grossly distended, tympanic and exquisitely tender to palpation. Rectal exam affirmed guaiac positive stool. Initial laboratory work-up revealed anemia (hemoglobin 9.5 g/dL, reference range: 4.5-11.0 g/dL), leukocytosis (15,800 cells/mL, reference range: 4,500-11.0000 cells/mL) with no left shift, lactic acidosis (5.1 mEq/mL, reference range: 0.7-2.7 mEq/mL), and coagulopathy (prothrombin time 17 seconds, reference range: 10.0-13.0 seconds). Abdominal roentgenogram (Figure 1) demonstrated free air and gaseous distension of large and small bowel with air fluid levels.

|
Figure 1. Plain abdominal X-ray in the upright position demonstrates air fluid levels below the hemidiaphragms with dilated transverse colon (up to 10 cm) and prominent loops of small bowel. There is no paucity of air in the rectum. There is no evidence of organomegaly, or intra-abdominal mass effect. |
The patient underwent an emergency exploratory laparotomy using a midline skin incision. There was evidence of purulent peritonitis. The transverse and ascending colon were grossly dilated and edematous; the cecum was dilated with patchy necrosis throughout its wall but with no perforation. An obstructing mass was discovered at the splenic flexure. The decision was made to perform subtotal colectomy. The right colon was medialized by dividing the line of Toldt from the base of the cecum up to the hepatic flexure. The duodenum was identified and protected at all time. The terminal ileum was transected using the linear stapler. The ileocolic vessels were sequentially divided using the Ligasure device (Covidien, Norwalk, CT, USA). The gastrocolic omentum was divided using the Ligasure device from the hepatic to the splenic flexure. The middle colic vessels were divided at their base using the Ligasure device. As the splenic flexure was mobilized, it was noticed that the mass was firmly adherent to the inferior pole of the spleen and the tail of the pancreas and it could not be determined whether the mass of colonic or pancreatic origin. The spleen was mobilized by dividing its attachments to the diaphragm, stomach and retroperitoneum. The pancreatic parenchyma was transected with a linear staple while the splenic vessels were controlled with the vascular stapler load. En bloc resection was done including the tail of the pancreas and the spleen. The descending colon was stapled with linear stapler. Due to hemodynamic instability, the bowel was left in discontinuity and the abdomen was left open. On postoperative day 5 he underwent an exploratory laparotomy with the formation of an end ileostomy. Also during his intensive care unit stay, he received tracheostomy for ventilator dependence. He tolerated all procedures well until two weeks later when he was found in asystole despite resuscitative efforts. At autopsy, there was extensive infarction of the small bowel. The patient’s recent history of intra-abdominal surgeries and atrial fibrillation supported mesenteric artery ischemia as the cause of his death.
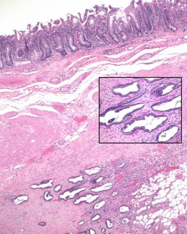
The gross specimen consisted of a partial colectomy with attached distal pancreas and spleen. Gross examination revealed white, ill-defined tumor nodules originating from the tail of the pancreas causing an extrinsic stricture of the colon, but not involving the colonic mucosa itself. Microscopically, the tumor was a pancreatic ductal adenocarcinoma with mucinous differentiation and extension into the wall of the colon where it was limited to the colonic serosa and smooth muscle (Figure 2). The tumor involved the tail of the pancreas and peripancreatic fat (Figure 3). Final staging was T4, N1, Mx, 7/15 lymph nodes were positive for metastasis.

|
Figure 2. Pancreatic adenocarcinoma involving the colonic wall and subserosal fat with associated acute inflammatory cells secondary to colonic perforation elsewhere. Note that the tumor does not involve the colonic mucosa. (H&E, 20x). Inset: cytoplasmic and intraluminal blue mucin is present consistent with mucinous differentiation (H&E, 100x). |

|
Figure 3. Pancreatic adenocarcinoma invading the peripancreatic fat (H&E, 200x). |
DISCUSSION
Pancreatic tail carcinoma manifesting as a large bowel obstruction with acute abdominal pain and microperforation is a rare occurrence. Pancreatic cancer is an uncommon precursor of an acute abdomen. In our review of the literature (Table 1), there are three other reported cases of pancreatic tail or head carcinomas presenting as acute large intestinal obstruction dating back to 1979 and 1981 and most recently 2007 [1, 2, 3]. The common denominator in all of these cases is adjacent colonic involvement causing mechanical obstruction. In the cases reviewed here, pancreatic cancer was diagnosed either postoperatively or postmortem.
|
Table 1. Literature review of pancreatic cancer cases presenting with large bowel obstruction. |
||||
|
Case reports |
Welch, 1979 [1] |
Tresadern, 1981 [2] |
Slam et al., 2007 [3] |
Present case |
|
Presenting symptoms |
Generalized abdominal pain, constipation and weight loss |
Lower abdominal pain, constipation, diarrhea, weight loss and jaundice |
Generalized abdominal pain, distention and nausea. |
Generalized abdominal pain, distention, vomiting, constipation and weight loss. |
|
Colon Perforation |
No |
Yes |
Yes |
Yes |
|
Primary tumor |
Tail of pancreas |
Head of pancreas |
Tail of pancreas |
Tail of pancreas |
|
Point of invasion |
Splenic flexure |
Right transverse colon |
Splenic flexure |
Splenic flexure |
|
Pathology |
Adenocarcinoma |
Adenocarcinoma, postmortem |
Mucinous adenocarcinoma |
Mucinous adenocarcinoma |
|
Procedure |
Emergency decompression transverse colostomy.§Reoperation: segmental colon resection with primary anastomosis, pancreatic cancer non-resectable |
Nonoperative treatment |
Right hemicolectomy with primary anastomosis.§Reoperation: en bloc resection of pancreatic tail, spleen and left colon with primary anastomosis |
Distal pancreatectomy, splenectomy, and subtotal colectomy.§Reoperation: ileostomy formation |
|
Outcome |
Died "several months later" |
Died "hours later" |
Survival at three month follow-up |
Died 17 days later |
The most common presenting sign of pancreatic cancer is weight loss. Seventy-eight percent of pancreatic cancers originating from the head of the pancreas cause obstruction of the bile duct, pancreatic duct or duodenum eliciting symptoms of painless jaundice, gastric outlet obstruction or pancreatitis. Lesions of the tail of the pancreas discretely present as weight loss or indistinct abdominal pain [4].
Although large bowel obstructing mass often due to colon cancer, pancreatic adenocarcinoma can rarely have the same presentation, and should be considered in the differential diagnosis of large bowel obstruction. Patients with a known diagnosis of pancreatic cancer presenting with large bowel obstruction with hemodynamic stability are better served with colonic stenting to relief the obstruction as well as being a palliative measure. On the other hand, if they present with proximal colonic perforation, exploratory laparotomy with resection of perforated colon segment and end ostomy is sufficient. Extended resection for patients with known pancreatic cancer presenting with large bowel obstruction is not justified as it is non curative and is associated with a high incidence of morbidity and mortality. Fixation of an obstructing colon mass to the pancreas should raise concerns of pancreatic cancer as the source of the obstruction. Frozen section examination might be helpful in these circumstances to avoid unnecessary extensive resection.
Received August 19th, 2011- Accepted October 17th, 2011
Key words Colectomy; Pancreatectomy
Conflict of interest The authors have no potential conflict of interest
Correspondence
Ziad
T Awad
Minimally
Invasive Surgery
Department of Surgery
University of Florida, College of Medicine Jacksonville
633 W 8th Street
Jacksonville, FL32209
USA
Phone: +1-904.244.3971
Fax: +1-904.244.3870
E-mail: ziad.awad@jax.ufl.edu
References
1. Welch, JP. Acute large-intestinal obstruction as the initial sign of pancreatic carcinoma. Diseases of Colon and Rectum. 1979;22:425-7.
2. Trasadern, JC. Carcinoma of the pancreas presenting as mechanical obstruction of the colon. Postgraduate Medical Journal. 1981;57:66-7.
3. Slam KD, Calkins S, Cason FD. LaPlace's law revisited: cecal perforation as an unusual presentation of pancreatic carcinoma. World Journal of Surgical Oncology. 2007;5:14.
4. Townsend CM. Sabiston Textbook of Surgery. 18. Philadelphia, Elsevier; 2007.