CASE REPORT
JOP. J Pancreas (Online) 2012 Jan 10; 13(1):61-65.
Intraductal Papillary-Mucinous Neoplasm of the Pancreas Penetrating to the Stomach and the Common Bile Duct
Norihiro Goto1, Masahiro Yoshioka1, Motohito Hayashi1, Toshinao Itani1, Jun Mimura1, Kimio Hashimoto2
Departments of 1Gastroenterology and 2Pathology, Nishi-Kobe Medical Center. Hyogo, Japan
ABSTRACT
Context Intraductal papillary mucinous neoplasm (IPMN) of the pancreas occasionally penetrates to others organs. We present a case of IPMN penetrating to the stomach and the common bile duct. Case report A 75-year-old man was admitted to the hospital because of epigastric pain. Computed tomography (CT) showed a papillary tumor protruding into the markedly dilated main pancreatic duct and splenic vein obstruction. The tumor was diagnosed as IPMN arising in the main duct, but he rejected surgery and he was followed without treatment. One year later, gastroduodenoscopy revealed gastropancreatic fistula and we were able to pass an endoscope through the fistula and directly examine the lumen of the main pancreatic duct and the papillary tumor adjacent to the fistula. Absence of malignant cells on histopathology suggested mechanical penetration rather than invasive penetration. CT showed splenic vein reperfusion due to decreased inner pressure of the main pancreatic duct. Two and a half years later, CT revealed biliopancreatic fistula formation. Endoscope biliary drainage was performed but failed. Despite jaundice, he is still ambulatory and seen in the clinic three years after the first admission. Conclusions We have experienced a case of IPMN penetrating to the stomach and the common bile duct that has taken a slow course. It represents the importance of distinguishing mechanical penetration from invasive penetration as well as mechanical splenic vein obstruction from splenic vein invasion.
INTRODUCTION
Intraductal papillary mucinous neoplasm (IPMN) is a disease of the ductal epithelium and represents a spectrum of disease, ranging from benign to malignant lesions. It is reported that IPMN of the pancreas occasionally penetrates to others organs [1, 2, 3, 4, 5, 6, 7, 8]. We present a case of IPMN penetrating to the stomach and the common bile duct, that we have examined the lumen of the dilated main pancreatic duct and the tumor through the gastropancreatic fistula by an upper gastrointestinal endoscope.
CASE REPORT
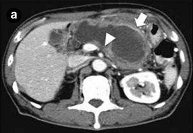
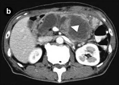
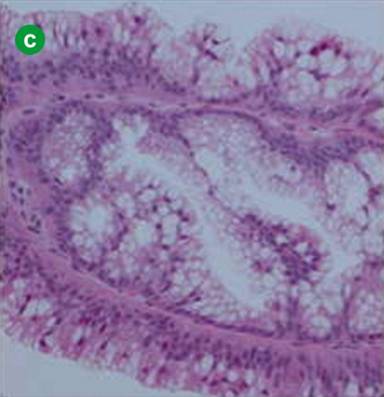
A 75-year-old man was admitted to the hospital because of acute onset of severe epigastric pain and body weight loss. On physical examination, palpable mass and tenderness of upper abdomen was noted. Laboratory studies revealed elevated C-reactive protein (7.0 mg/dL; reference range: 0-0.5 mg/dL), CEA (39.7 ng/mL; reference range: 0-5 ng/mL), CA 19-9 (62.3 U/mL; reference range: 0-37 U/mL) and HbA1c (13.2%; reference range: 3.4-5.8%). Results of complete blood count, plasma levels of electrolytes, tests of coagulation, amylase, lipase, kidney and liver function were within normal limits. Computed tomography (CT) and magnetic resonance imaging (MRI) of the abdomen showed a markedly dilated main pancreatic duct (45 mm), a papillary tumor (20 mm in diameter) protruding into the main pancreatic duct of the distal pancreas and splenic vein obstruction (Figure 1abc). On duodenoscopy with a lateral viewing of endoscope, mucus was discharged from the enlarged papilla of Vater (Figure 2a). Peroral pancreatoscopy was performed, revealing the papillary tumor on the main pancreatic duct (Figure 2b). Pathological examination of biopsy specimens of the tumor showed papillary mucinous adenoma (Figure 2c).



|
Figure1. a. Computed tomography (CT) showed a markedly dilated main pancreatic duct (45 mm, arrow) and splenic vein obstruction (arrowhead). b. CT showed a papillary tumor (20 mm in diameter) protruding into the main pancreatic duct of the distal pancreas (arrowhead). c. Magnetic resonance cholangiopancreatography (MRCP) showed a markedly dilated main pancreatic duct. |



|
Figure 2. a Duodenoscopy with a lateral viewing of endoscope showed mucus discharged from the enlarged papilla of Vater. b. Peroral pancreatoscopy showed the papillary tumor on the main pancreatic duct. c. Pathological examination of biopsy specimens of the tumor showed papillary mucinous adenoma. |
The tumor was diagnosed as IPMN arising in the main duct, possibly advanced into invasive cancer since the splenic vein was obstructed. Although total pancreatectomy was recommended, the patient firmly rejected the surgery. Abdominal pain ameliorated spontaneously and he was discharged and followed in the clinic. Although he occasionally had dull feeling in upper abdomen, he did not have pancreatitis due to mucin; he did not get recurrent bouts of severe abdominal pain and neither amylase nor lipase was elevated.
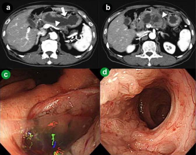
One year later, CT revealed increased size of the papillary tumor, the main pancreatic duct penetrating to the stomach and reperfusion of the splenic vein (Figure 3ab). On gastroduodenoscopy, mucus was discharged from the gastropancreatic fistula on the lesser curvature of the middle gastric body (Figure 3c). Suction of the mucus enabled us to pass an endoscope into the dilated main pancreatic duct through the fistula and directly examine the lumen of the main pancreatic duct and the papillary tumor adjacent to the fistula (Figure 3d). This unique examination allowed us to see the whole lumen of the dilated main pancreatic duct, revealing that the papillary surface pattern was localized within the elevated lesion and no other lesions were found on the main pancreatic duct. Pathological examination of biopsy specimens of the tumor again showed papillary mucinous adenoma. The absence of malignant cells suggested mechanical penetration rather than invasive penetration. And it is likely that the penetration led to decreased inner pressure of the main pancreatic duct resulting in reperfusion of the splenic vein. Despite these imaging findings, he remained asymptomatic and was followed without treatment.

|
Figure 3. a. Computed tomography (CT) showed the main pancreatic duct penetrating to the stomach (arrow) and reperfusion of the splenic vein (arrowhead). b. CT showed increased size of the papillary tumor in the main pancreatic duct. c. Gastroduodenoscopy showed gastropancreatic fistula on the lesser curvature of the middle gastric body. Mucus was discharged from the fistula. d. Suction of the mucus enabled us to pass an endoscope into the dilated main pancreatic duct through the fistula and directly examine the lumen of the main pancreatic duct and the papillary tumor adjacent to the fistula. |
Two and a half years after the first admission, he reported jaundice and serum bilirubin concentration was elevated (4.5 mg/dL; reference range: 0.2-1.2 mg/dL). CT and MRI revealed dilation of intrahepatic bile duct and the branch duct of the pancreas penetrating to the common bile duct (Figure 4a). Endoscopic retrograde cholangiopancreatography (ERCP) was performed, revealing filling defect in the middle common bile duct, which consisted of mucus discharged from the fistula (Figure 4b). Endoscope biliary drainage by stent placement was performed to alleviate the obstructive jaundice. However, the stent slipped out of the bile duct automatically. It was probably because of the viscosity of the mucus in the bile. Percutaneous biliary drainage or choledochojejunostomy could have alleviated the jaundice, but he refused any further treatments. He had recurrent cholangitis due to cholestasis, which oral levofloxacin was effective to ameliorate. Despite jaundice and recurrent cholangitis, he is still ambulatory and seen in the clinic three years after the first admission.

|
Figure 4. a. Magnetic resonance cholangiopancreatography (MRCP) showed the branch duct of the pancreas penetrating to the common bile duct (arrow) and dilated intrahepatic bile duct. b. Endoscopic retrograde cholangiopancreatography (ERCP) showed filling defect in the middle common bile duct (arrow), which consisted of mucus discharged from the fistula. |
DISCUSSION
IPMN of the pancreas penetrating to other organs was first reported by Ohhashi et al. in 1980 [1]. In the literature, fistula formation was observed in 6.6% of the IPMN patients diagnosed by ERCP and endoscopic ultrasonography (EUS). The affected organs were duodenum, stomach and common bile duct in descending order of frequency and 39% of the patients showed multiple fistula formation [9].
Two factors are reported to contribute to the pathogenesis of fistula formation: direct invasion of the tumor and mechanical force due to increased pressure of the pancreatic duct [9, 10, 11, 12]. Fujisawa et al. reported that mechanical penetration accounted for 41% of 41 reported cases of IPMN with fistula formation [3]. In this case, the absence of malignant cells from biopsy specimens of the papillary tumor adjacent to the gastropancreatic fistula suggested mechanical penetration rather than invasive penetration. Since the biliopancreatic fistula was located in the branch duct distant from the papillary tumor, biliopancreatic fistula was possibly formed mechanically. However, we have not examined the branch duct by an endoscope and could not deny the possibility of direct invasion of the tumor spread from the main lesion.
Peroral pancreatoscopy is useful in the diagnosis of IPMN, including evaluation of malignancy [13]. However, mucus hinders thorough examination of the pancreatic duct and picture quality of a thin fiberscope is inferior to that of an upper gastrointestinal endoscope. In this case, we were able to pass an upper gastrointestinal endoscope into the main pancreatic duct through the gastropancreatic fistula and suction of the mucus by the endoscope allowed us to thoroughly examine the lumen of the dilated main pancreatic duct and the papillary tumor with high picture quality. This unique examination was useful in evaluation of malignancy of the tumor and exclusion of synchronous multiple lesions on the main pancreatic duct.
We first assumed that IPMN was possibly advanced into invasive cancer since the splenic vein was obstructed. However, splenic vein was re-perfused when gastropancreatic fistula was formed. This was probably because decreased inner pressure of the main pancreatic duct by the fistula formation alleviated the compression of the splenic vein. This case represents that it is significant to distinguish mechanical splenic vein obstruction from splenic vein invasion. Splenic vein obstruction does not always suggest invasive cancer.
The frequency of malignancy in main duct IPMN ranged from 60 to 92%, and surgical resection is strongly recommended because 5-year survival rate of resected patients ranged from 36 to 60% for invasive carcinoma [14]. IPMN with biliopancreatic fistula causes obstructive jaundice due to impaction of mucus in the biliary tract. Surgical resection, again, is recommended and prognosis is relatively favorable [12]. On the other hand, endoscope biliary drainage by stent placement often fails because of the viscosity of the mucus in the bile. In the past, total pancreatectomy had been performed rarely because of its high morbidity and mortality. However, the improvement of pancreatic surgery, as well as management of pancreatic insufficiency, has rendered total pancreatectomy effective in selected patients [15]. In this case, although total pancreatectomy was recommended, we respected the patient’s will to be followed without surgical resection. It is also the fact that most IPMNs are slow growing and prognosis is favorable for IPMN patients even with malignant neoplasms [16]. Follow-up without treatment deserves consideration for high-risk geriatric patients.
In conclusion, we have experienced a case of IPMN of the pancreas penetrating to the stomach and the common bile duct that has taken a slow course. This is a rare case that we examined the lumen of the dilated main pancreatic duct through the gastropancreatic fistula by an upper gastrointestinal endoscope. It also represents the importance of distinguishing mechanical penetration from invasive penetration as well as mechanical splenic vein obstruction from splenic vein invasion.
Received September 16th, 2011 - Accepted October 17th, 2011
Key words Endoscopy, Gastrointestinal; Fistula; Pancreatic Neoplasms; Splenic Vein
Conflict of interest The authors declare that they have no conflict of interest
Correspondence
Norihiro
Goto
Department of Gastroenterology
Nishi-Kobe Medical Center
5-7-1 Kojidai Nishi-ku
Kobe Hyogo 651-2273
Japan
Phone: +81-78.997.2200
Fax: +81-78.997.2220
E-mail: marshall_prs@nmc-kobe.org
References
1. Ohashi K, Murakami Y, Maruyama M, Takekoshi T, Ohta H, Ohashi I, et al. Four cases of mucus-secreting pancreatic cancer (in Japanese). Prog Digest Endosc. 1982;20:348-51.
2. Matsubayashi H, Kokuno S, Itoi T, Mizumura Y, Niki S, Takeda K, et al. A case of intraductal papillary adenocarcinoma of the pancreas with pancreaticoduodenal fistula. Prog Digest Endosc. 1998;52:180-1.
3. Fujisawa T, Osuga T, Mita M, Sakamoto N, Sakaguchi K, Onishi Y, et al. A case of intraductal papillary adenocarcinoma of the pancreas accompanied by biliopancreatic fistula. Jpn J Cancer Clin. 2001;47:144-50.
4. Koizumi M, Sata N, Yoshizawa K, Tsukahara M, Kurihara K, Yasuda Y, et al. Post ERCP pancreatogastric fistula associated with an intraductal papillary mucinous neoplasm of the pancrease: a case report and literature review. World J Surg Oncol. 2005;3:70-4. [PMID 16232325]
5. Patel A, Lambiase L, Decarli A, Fazel A. Management of the mucin filled bile duct. A complication of intraductal papillary mucinous tumor of the pancreas. JOP. 2005;6:255-9. [PMID 15883476]
6. Seynaeve L, Van Steenbergen W. Treatment, by insertion of multiple uncovered metallic stents of intraductal papillary mucinous neoplasm of the pancreas with biliary obstruction by mucus impaction. Pancreatology. 2007;7:540-3. [PMID 17901716]
7. Kim JY, Kang DH, Kim GH, Kim TO, Heo J, Song G, et al. Malignant intraductal papillary mucinous neoplasm of the pancreas with multiple pancreatogastric fistulas: a report of 2 cases with different features. Gastrointest Endosc. 2007;66:854-7. [PMID 17719044]
8. Jung IS, Shim CS, Cheon YK, Bhandari S, Cha SW, Moon JH, et al. Invasive intraductal papillary mucinous tumor of the pancreas with simultaneous invasion of the stomach and duodenum. Endoscopy. 2004;36:186-9. [PMID 14765321]
9. Kobayashi G, Fujita N, Noda Y, Ito K, Horaguchi J, Obana T, et al. Intraductal papillary mucinous neoplasms of the pancreas showing fistula formation into other organs. J Gastroenterol. 2010;45:1080-9. [PMID 20549253]
10. Baek Y, Midorikawa T, Nagasaki H, Kikuchi H, Kitamura N, Takeuchi S, et al. A case report of pancreatic mucinous cystadenocarcinoma with penetration to the stomach. Jpn J Gastroenterol. 1999;96:685-90. [PMID 10396942]
11. Watanabe N, Hasegawa H, Tsuneya Y, Kumazawa M, Baba M, Kusano I, et al. A case of mucinous cystadenocarcinoma with a fistula between cyst and stomach. Jpn J Gastroenterol. 2003;100:349-53. [PMID 12696179]
12. Kurihara K, Nagai H, Kasahara K, Kanazawa K, Kanai N. Biliopancreatic fistula associated with intraductal papillary mucinous pancreatic cancer: institutional experience and review of the literature. Hepatogastroenterology. 2000;47:1164-7. [PMID 11020905]
13. Yamao K, Ohashi K, Nakamura T, Suzuki T, Sawaki A, Hara K, et al. Efficacy of peroral pancreatoscopy in the diagnosis of pancreatic diseases. Gastrointest Endosc. 2003;57:205-9. [PMID 12556785]
14. Tanaka M, Charis S, Adsay V, Fernandez-del Castillo C, Falconi M, Shimizu M, et al. International consensus guidelines for management of intraductal papillary mucinous neoplasms and mucinous cystic neoplasms of the pancreas. Pancreatology. 2006;6:17-32. [PMID 16327281]
15. Crippa S, Tamburrino D, Partelli S, Salvia R, Germenia S, et al. Total pancreatectomy: indications, different timing, and perioperative and long-term outcomes. Surgery. 2011;149:79-86. [PMID 20494386]
16. Tanaka M. Intraductal papillary mucinous neoplasm of the pancreas: diagnosis and treatment. Pancreas. 2004;28:282-288. [PMID 15084972]