CASE REPORT
JOP. J Pancreas (Online) 2012 Jan 10; 13(1):76-79.
A Case of Traumatic Pancreaticoduodenal Injury: A Simple and an Organ-Preserving Approach as Damage Control Surgery
Sae Byeol Choi, Jiyoung You, Sang Yong Choi
Department of Surgery, Korea University College of Medicine. Seoul, South Korea
ABSTRACT
Context Traumatic pancreaticoduodenal injury still remains challenging with high morbidity and mortality. Optimal management by performing simple and fast damage control surgery ensures better outcomes. Case report A 36-year-old man was admitted with a combined pancreaticoduodenal injury after being assaulted. More than 80% of duodenal circumference (first portion) was disrupted and the neck of the pancreas was transected. Primary repair of the duodenum and pancreaticogastrostomy were performed. The stump of the proximal pancreatic duct was also sutured. The patient developed an intra-abdominal abscess with pancreatic fistula that eventually recovered by conservative treatment. Conclusion Pancreaticogastrostomy can be a treatment option for pancreatic transection. Rapid and simple damage control surgery with functional preservation of the organ will be beneficial for trauma patients.
INTRODUCTION
Traumatic pancreaticoduodenal injury still remains a challenge for the surgeon. The incidence of pancreatic and duodenal injuries each has been reported to be around 5% of all abdominal injuries [1, 2, 3]. The morbidity and mortality rates of pancreaticoduodenal injuries still remain high, [3, 4, 5] and no significant improvements have been noted in the past few decades [6]. Computed tomography (CT) scan for pancreaticoduodenal injury detection is inaccurate with a reported sensitivity of 75.7%, and the initial CT scan missed pancreaticoduodenal injuries in 13% of the patients [5]. Elevations in serum amylase and lipase are not reliable to determine pancreatic injury because in many cases, they are normal even with high-grade injury [4].
Operative management is determined according to the location and grade of pancreatic injury [3, 7]. However, based on the literature review, there is a lack of standardized treatment of pancreatic injuries, especially for complex pancreatic lesions or combined pancreaticoduodenal injuries. Optimal management by performing simple and fast damage control surgery ensures better outcomes [6]. Here, we report a case of complex traumatic pancreaticoduodenal injury successfully treated by pancreaticogastrostomy and a primary repair of the duodenum.
CASE REPORT
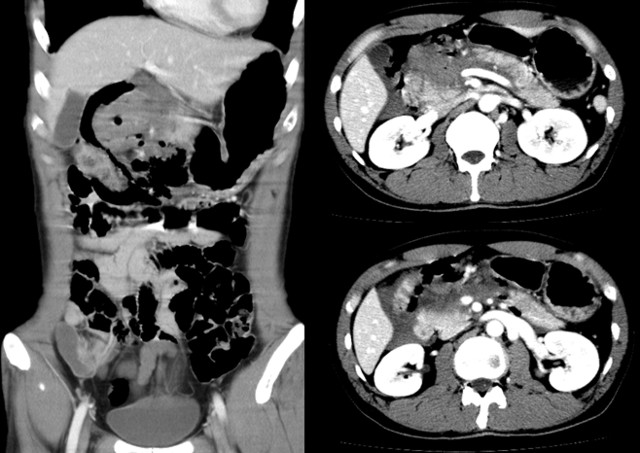
A 36-year-old male was referred to the emergency room for severe abdominal pain developing several hours after being assaulted. On admission, his vital signs were stable but he complained of severe abdominal pain. On physical examination, he had bruises on the face due to physical abuse, and tenderness with rebound tenderness was observed in the epigastric area. Laboratory results on admission revealed a hemoglobin level of 15.6 g/dL (reference range: 13.5-17.5 g/dL), white blood cell count of 16,600 µL-1 (reference range: 4,500-11,000 µL-1), and platelet count of 153,000 µL-1 (reference range: 150,000-440,000 µL-1). The aspartate aminotransferase (AST) and alanine aminotransferase (ALT) levels were increased up to 104 IU/L (reference range: 10-44 IU/L) and 131 IU/L (reference range: 10-44 IU/L), respectively. The serum amylase and lipase levels were 398 IU/L (reference range: 28-100 IU/L) and 937 IU/L (reference range: 0-60 IU/L), respectively. Abdominal computed tomography (CT) demonstrated free intraperitoneal air around the duodenum suggesting duodenal injury. Complete transection of the pancreas with a large contained hematoma around the neck of the pancreas was noted, which was consistent with grade IV pancreatic injury scale according to the American Association for the Surgery of Trauma [8] (Figure 1).

|
Figure 1. Abdominal CT scan demonstrates free intraperitoneal air around the first portion of the duodenum and transection of the main pancreatic duct at the neck of the pancreas with hematoma. |
On exploratory laparotomy, zone I retroperitoneal hematoma with disruption of the first portion of the duodenum was noted. More than 80% of duodenal circumference was disrupted, which was consistent with grade III duodenal injury scale according to the American Association for the Surgery of Trauma [8]. However, both sides of the duodenal wall were clear-cut without vascular compromise or crushed tissue. After removal of the hematoma and necrotic pancreatic tissue, transection of the pancreas was detected and the portal vein was seen between the head and body of the pancreas (Figure 2). The proximal portion of the main pancreatic duct was confirmed by probe tracing and was sutured separately using 6-0 polypropylene to prevent the leakage of pancreatic juice. The proximal pancreatic stump was sutured in the anterior and posterior oblique planes of transection, after approximating and creating a fish-mouth shape with interrupted sutures. For the drainage of the distal portion of the pancreas, a pancreaticogastrostomy procedure was performed. The proximal part of the distal pancreas was dissected and detached from the splenic vein. Pancreaticogastrostomy was performed by invagination of the distal pancreatic duct stump through a posterior gastrostomy and an anastomosis between the gastric wall and pancreas using continuous 4-0 polydioxanone suture with interrupted reinforcing sutures. On the other hand, the grade III duodenal disruption was repaired by continuous single layer 4-0 polyglyconate suture nearly in the same manner as in duodenoduodenostomy (Figure 3). Two closed-suction drainage catheters were inserted near the duodenum and at the pancreaticogastrostomy site, respectively. The operative time was 3:40 h:min.

|
Figure 2. On exploratory laparotomy, the first portion of the duodenum shows disruption of 80% of the circumference of the pancreas, and the pancreas was transected at the neck with hematoma formation. After removal of the hematoma, the distal stump of the pancreas was dissected and detached from the splenic vein to make an anastomosis with the posterior wall of the stomach. PV: portal vein. |

|
Figure 3. Schematic view of the surgical procedure. A: primary repair of the duodenum. B: the proximal main pancreatic duct was closed by sutures and the stump was approximated by interrupted sutures creating a fish-mouth appearance. C: pancreaticogastrostomy for the drainage of the distal portion of the pancreas. |
During recovery, the patient developed fever and color change of drainage fluid (greenish yellow) on 8th postoperative day and CT scan showed a pancreatic fistula associated with pancreaticogastrostomy, but it was drained effectively by closed-suction drainage catheter and treated conservatively with total parenteral nutrition. He developed fever again on 19th postoperative day again and CT scan showed an intra-abdominal abscess in the right paracolic gutter which was drained percutaneously. Surgical site infection also occurred and was treated with daily dressing. The patient was discharged on postoperative day 36 and has been stable and healthy in a one-year follow-up period.
DISCUSSION
Traumatic pancreatic injuries are rarely isolated to occur and are often associated with other intra-abdominal injuries [9]. The choice of surgical procedure depends on the degree and site of the injury, and several surgical treatment options can be considered for the pancreaticoduodenal injury according to the severity of the injury. In our case, two other surgical treatment options could have been considered for a more aggressive surgery including, distal pancreatectomy with or without splenectomy, primary repair of the duodenum with pyloric exclusion and gastrojejunostomy, and, pancreaticoduodenectomy. However, we elected to perform a less aggressive surgery of organ-preserving damage control surgery. We also performed a pancreaticogastrostomy rather than Roux-en-Y pancreaticojejunostomy as the drainage procedure for the distal pancreas in order to decrease the number of anastomoses and to simplify the procedures.
In traumatic pancreaticoduodenal injury, the patients are usually young and children are also affected [10, 11, 12]. The preservation of the organ, spleen as well as pancreas, is important in children and the reduced volume of the remaining pancreas might cause diabetes mellitus in the younger patients later. Therefore, prior to performing surgery for traumatic pancreatic injury, the late morbidity following surgery such as diabetes mellitus should be taken into consideration, and an effort should be made to preserve the functional volume of the organ if the patients are hemodynamically stable during surgery. In children, some authors have reported that distal injuries are best treated by distal pancreatectomy; however, proximal injuries may be managed non-operatively, allowing for the formation and uneventful drainage of a pseudocyst [10].
Major ductal injury is the principal determinant of outcome for patients with pancreatic trauma. The transection of the major pancreatic duct usually needs exploration and distal pancreatectomy with spleen preservation has a lower complication rate [2]. However, in the case of proximal transection, Roux-en-Y pancreaticojejunostomy could be considered although the leakage of pancreatic juice and intra-abdominal abscess occur frequently [1]. In the present case, we performed pancreaticogastrostomy instead of pancreaticojejunostomy. Pancreaticogastrostomy has been reported to be associated with a significantly lower frequency of surgical complications and it is also an easy procedure to perform during pancreaticoduodenectomy compared with pancreaticojejunostomy [13]. Therefore, pancreaticogastrostomy could be one of the surgical treatment options for the drainage procedure in traumatic pancreatic injury.
For duodenal injuries, operative technique could also be selected according to the degree of injury. Several procedures could be considered as the surgical treatment option including simple primary repair, duodenal diverticularization, pyloric exclusion with gastrojejunostomy, and pancreaticoduodenectomy [1]. Recent studies have reported that pyloric exclusion for advanced duodenal injury and combined pancreaticoduodenal injuries did not improve clinical outcome, suggesting that primary repair provides adequate surgical treatment for the majority of duodenal injuries [14, 15].
In traumatic pancreaticoduodenal injuries, the grade of injury, physiologic insult and familiarity with complex pancreatic repair and reconstruction are the key factors affecting outcome [4]. On the basis of the literature review, optimal management and better outcome of pancreaticoduodenal injuries seem to be associated with shorter operative time, and with simple and fast damage control surgery, in contrast to definite surgical procedures [6]. Usually majority of patients with pancreaticoduodenal injury have combined other abdominal injuries to require emergency operation and control of bleeding and contamination. Complex procedures such as pancreaticoduodenectomy should not be performed in the unstable patient with multiple injuries [4]. Debridement and wide external drainage of the pancreas should be selected and the resultant fistula would be managed at a later operation [16]. In the severe and hemodynamic unstable patients with pancreaticoduodenal injury, damage control surgery is necessary to control contamination by resection of the injured duodenum and pancreas head with stapling and adequate drainage of the bile duct and stomach. And then after obtaining the physiologic stability of the patient, pertinent procedure was performed by relaparotomy [4, 16].
In conclusion, several therapeutic options can be considered in the treatment of complex pancreaticoduodenal injuries. The incidence of postoperative complications such as pancreatic fistula and intra-abdominal abscess is still high. Pancreaticogastrostomy can be a treatment option in patients with pancreatic transection to preserve pancreas volume rather than distal pancreatectomy. Rapid and simple damage control surgery with functional preservation of the organ should be kept in mind while treating young trauma patients.
Received November 12th, 2011 - Accepted December 12th, 2011
Key words Duodenum; Pancreas; Wounds and Injuries
Conflict of interest The authors have no potential conflict of interest
Correspondence
Sang
Yong Choi
Department of Surgery
Korea University College of Medicine
Korea University Guro Hospital
80, Guro-dong, Guro-gu
Seoul
South Korea
Phone: +82-2.2626.3072
Fax: +82-2.2626.1148
E-mail: sschoikorea@gmail.com
References
1. Subramanian A, Dente CJ, Feliciano DV. The management of pancreatic trauma in the modern era. Surg Clin North Am 2007; 87:1515-32. [PMID 18053845]
2. Lin BC, Chen RJ, Fang JF, Hsu YP, Kao YC, Kao JL. Management of blunt major pancreatic injury. J Trauma 2004; 56:774-8. [PMID 15187740]
3. Ivatury RR, Nassoura ZE, Simon RJ, Rodriguez A. Complex duodenal injuries. Surg Clin North Am 1996; 76:797-812. [PMID 8782474]
4. Stawicki SP, Schwab CW. Pancreatic trauma: demographics, diagnosis, and management. Am Surg 2008; 74:1133-45. [PMID 19097525]
5. Velmahos GC, Tabbara M, Gross R, Willette P, Hirsch E, Burke P, et al. Blunt pancreatoduodenal injury: a multicenter study of the Research Consortium of New England Centers for Trauma (ReCONECT). Arch Surg 2009; 144:413-9. [PMID 19451482]
6. Antonacci N, Di Saverio S, Ciaroni V, Biscardi A, Giugni A, Cancellieri F, et al. Prognosis and treatment of pancreaticoduodenal traumatic injuries: which factors are predictors of outcome? J Hepatobiliary Pancreat Sci 2011; 18:195-201. [PMID 20936305]
7. Degiannis E, Glapa M, Loukogeorgakis SP, Smith MD. Management of pancreatic trauma. Injury 2008; 39:21-9. [PMID 17996869]
8. Moore EE, Cogbill TH, Malangoni MA, Jurkovich GJ, Champion HR, Gennarelli TA, et al. Organ injury scaling, II: Pancreas, duodenum, small bowel, colon, and rectum. J Trauma 1990; 30:1427-9. [PMID 2231822]
9. Miller PR, Croce MA, Bee TK, Malhotra AK, Fabian TC. Associated injuries in blunt solid organ trauma: implications for missed injury in nonoperative management. J Trauma 2002; 53:238-42; discussion 242-4. [PMID 12169928]
10. Canty TG, Sr., Weinman D. Management of major pancreatic duct injuries in children. J Trauma 2001; 50:1001-7. [PMID 11428378]
11. Hwang SY, Choi YC. Prognostic determinants in patients with traumatic pancreatic injuries. J Korean Med Sci 2008; 23:126-30. [PMID 18303212]
12. Tan KK, Chan DX, Vijayan A, Chiu MT. Management of pancreatic injuries after blunt abdominal trauma. Experience at a single institution. JOP 2009; 10:657-63. [PMID 19890188]
13. Tewari M, Hazrah P, Kumar V, Shukla HS. Options of restorative pancreaticoenteric anastomosis following pancreaticoduodenectomy: a review. Surg Oncol 2010; 19:17-26. [PMID 19231161]
14. DuBose JJ, Inaba K, Teixeira PG, Shiflett A, Putty B, Green DJ, et al. Pyloric exclusion in the treatment of severe duodenal injuries: results from the National Trauma Data Bank. Am Surg 2008; 74:925-9. [PMID 18942615]
15. Seamon MJ, Pieri PG, Fisher CA, Gaughan J, Santora TA, Pathak AS, et al. A ten-year retrospective review: does pyloric exclusion improve clinical outcome after penetrating duodenal and combined pancreaticoduodenal injuries? J Trauma 2007; 62:829-33. [PMID 17426536]
16. Rickard MJ, Brohi K, Bautz PC. Pancreatic and duodenal injuries: keep it simple. ANZ J Surg 2005;75:581-6. [PMID 15972052]