CASE REPORT
JOP. J Pancreas (Online) 2012 May 10; 13(3):304-307.
Arzu Tasdemir1, Isin Soyuer1, Alper Yurci2, Ibrahim Karahanli3, Hizir Akyildiz4
Departments of 1Pathology, 2Gastroenterology, 3Radiodiagnostic, and 4General Surgery, Erciyes University Medical School. Kayseri, Turkey
ABSTRACT
Context Solitary fibrous tumor is an uncommon spindle cell tumor which were first described in 1931 at pleura; it should be seen rarely in extra-pleural localization. Case report We report the ninth case of pancreatic solitary fibrous tumor in a 24-year-old woman who presented with mild epigastric pain radiating to the back and chronic constipation. Imaging studies confirmed a solitary mass in the epigastric region that begins from posterior of stomach, fills little curvature and extends to pelvis, invades vascular structures by encircling them and extends to retroperitoneal regions that was considered as it may have mesenchymal origin. The patient underwent an enucleation of the mass which was diagnosed as solitary fibrous tumor, supported by immunohistochemical studies showing positivity for CD34, vimentin and SMA. Conclusion There is limited data regarding biological behavior of solitary fibrous tumors with extra-pleural localization, because they are rare tumors. They are generally asymptomatic and slow growing tumors and it is difficult to distinguish them from other mesenchymal tumors. These issues as well as the prior nine cases are discussed.
INTRODUCTION
Solitary fibrous tumors are quite rare tumors. They were seen rarer in extra-pleural localizations than pleural localization. Pancreas is very rare extra-pleural localization for this tumor. Solitary fibrous tumor was described as a distinct clinical entity among primary neoplasm by Klemperer and Rabin in 1931 [1]. Solitary fibrous tumors should see between decade 4 and 7, with a median age of 50 years at diagnosis; however, they have also been reported in children as young as 2.5 years. Solitary fibrous tumors at extra-pleural localizations which have benign and malignant forms are mostly benign. Metastasis can be seen approximately in 10-15% of tumors. Histological findings such as marked cytologic atypia, high cellularity, increased mitotic activity, tumor necrosis and infiltrative margins were associated with malign behavior [2, 3, 4].
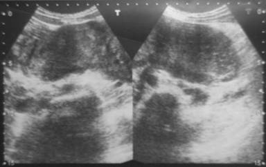
A 24-year-old woman with a history of mild epigastric pain radiating to the back and chronic constipation for the last two years was admitted to hospital for further investigation. Physical examination revealed a palpable large epigastric mass. Her medical and family history including malignancy or inherited disease was unremarkable. Laboratory investigations showed a normal hemogram; white blood cell 6,400 mm-3 (reference range: 4,500-11,000 mm-3), hemoglobin concentration 14.2 g/dL (reference range: 12-16 g/dL), hematocrit 43.7% (reference range: 35-47%) and platelet 243,000 mm-3 (reference range: 130,000-400,000 mm-3). Biochemical tests including kidney and liver function tests were within normal limits. Abdominal ultrasonography showed a hypoechoic solid mass, 13x5 cm in cross diameter, located at the epigastric region (Figure 1). Computed tomography imaging of the abdomen confirmed a solitary mass in epigastric region that begins from posterior of stomach, fills little curvature and extends to pelvis, invades vascular structures by encircling them and extends to retroperitoneal regions that was considered as it may have mesenchymal origin. The patient underwent a tumor excision.

|
Figure 1. Abdominal ultrasonography showed a hypoechoic solid mass. |
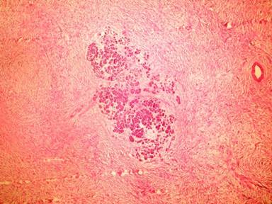
A tumor structure at 665 g weight and 18.5x11x6 cm size that has capsule at outer side has seen on macroscopic evaluation of radical resection specimen. It has seen that outer surface of tumor was smooth and sectional surface yellow and beige color in some areas (Figure 2). Microscopically, tumor infiltration of normal pancreas tissue consists from cells with eosinophilic cytoplasm, which were fusiform with hyperchromatic nucleus, having an undefined cytoplasmic border and encircled at outer part with a thin capsule (Figure 3). Extensive vascular walls were showing hyaline thickening. Hyalinization and myxoid degeneration areas were seen in parts, which were rich hypercellular (tumor rich) and hypocellular (collagen rich). One or two mitotic figure has been encountered in 10 high power fields. Widespread positive staining with vimentin and CD34 has been observed in immunohistochemical staining (Figure 4). It has seen that there was nuclear positive staining with beta-catenin (Figure 5) and focal cytoplasm staining with bcl-2. Negative results have been observed with S100, desmin and keratin. Ki-67 proliferation index has been observed below 2%.

|
Figure 2. Macroscopic evaluation. |

|
Figure 3. Tumor infiltration of normal pancreas (20x H&E). |

|
Figure 4. CD34 immunohistochemical staining was positive (20x H&E). |

|
Figure 5. Beta-catenin immunohistochemical of solitary fibrous tumor, original magnification (x40). |
Solitary fibrous tumors, which were first described in 1931 at pleura, should be seen rarely in extra-pleural localization [1, 2, 3, 4, 5]. More than 50% of these tumors were localized in thoracic cavity, but extrathoracic tumors have been reported in many sites. Serous surfaces such as pericardium and peritonea and rare extra-pleural locations such as lung parenchyma, orbita, thyroid gland, parathyroid gland, thymus, liver, kidney, salivary glands, seminal vesicle, para-nasal sinus, adrenal gland, soft tissue, head and neck should be seen [2, 3, 4, 5, 6]. Including our patient, only nine cases of pancreatic solitary fibrous tumor have been reported with the clinical findings summarized in Table 1 [7, 8, 9, 10, 11, 12, 13, 14]. There were 8 cases in pancreas, which was previously reported. Other mesenchymal tumors which locate at pancreas consist from leiomyosarcoma, peripheral nerve sheath tumors, fibro-histiocytic tumors and vascular tumors. Histopathological findings and immunohistochemical staining could help in differential diagnosis. Extra-pleural localization of solitary fibrous tumors has an equal incidence in both sexes. Solitary fibrous tumors that were localized at extra-pleural areas could be seen in a large range of age as those localized at pleura.
Table 1. Pancreatic solitary fibrous tumor clinicopathologic characteristics.
|
Case |
Author |
Age |
Sex |
Clinical presentation |
Tumor size (cm) |
Location in the pancreas |
Surgical procedure |
Immunohistochemistry |
|
#1 |
Lüttges |
50 |
Female |
Incidental finding |
5.5 |
Body |
Distal pancreatectomy |
Positive:
CD34, CD99, bcl-2, vimentin |
|
#2 |
Chatti |
41 |
Male |
Abdominal pain |
13 |
Body |
Enucleation |
Positive:
CD34, CD99 (focal), bcl-2, smooth muscle actin (focal), CD117 (focal) |
|
#3 |
Miyamoto |
41 |
Female |
Right upper quadrant abdominal pain |
2 |
Head, |
Laparoscopic enucleation |
Positive:
CD34, bcl-2 |
|
#4 |
Gardini |
62 |
Female |
Abdominal pain |
3 |
Head |
Traverso-Longmire |
Positive:
CD34, CD99, bcl-2, vimentin, smooth muscle actin (focal) |
|
#5 |
Srinivasan |
78 |
Female |
Back pain, weight loss |
5 |
Body |
Distal pancreatectomy |
Positive:
CD34 (focal), CD99, bcl-2, vimentin |
|
#6 |
Kwon |
54 |
Male |
Incidental finding |
4.5 |
Body |
Median segmentectomy |
Positive:
CD34 , CD99 |
|
#7 |
Ishiwatarii |
58 |
Female |
Incidental finding |
3 |
Head |
Pancreaticoduodenectomy |
Positive:
CD34, bcl-2 |
|
#8 |
Sugawara |
55 |
Female |
Incidental finding |
7 |
Head |
Pancreaticoduodenectomy |
Positive:
CD34 |
|
#9 |
Presented case |
24 |
Female |
Abdominal pain |
18.5 |
Head |
Enucleation |
Positive:
CD34,vimentin, smooth muscle actin(focal) |
EMA: epithelial membrane antigen
Mainly, solitary fibrous tumors occur between the fourth and seventy decades of life, with a median age of 50 years at diagnosis [6]. Our case was 24-year-old and seems young according to literature.
The average size at surgery is approximately 5 cm in literature. One of these cases in the literature sized 13.5 cm and our case measured 18.5cm in greatest diameter.
Solitary fibrous tumors may show a wide range of histological patterns including palisading, diffuse sclerosing areas and storiform or hemangiopericytic patterns and can thus mimic other mesenchymal neoplastic and non-neoplastic proliferations [2, 3, 4]. Tumor cells show scattered growing without forming a distinct structure (patternless pattern). Mixed, fibrotic and hyalinized changes should accompany in stroma. To identify myxoid variant of solitary fibrous tumor is important because it could mix with myxoid fusiform cell neoplasm [15].
There is limited data regarding biological behavior of solitary fibrous tumors with extra-pleural localization, because they are rare tumors. They are generally asymptomatic and slow growing tumors and it is difficult to distinguish them from other mesenchymal tumors. Differential diagnosis depends on microscopic appearance and characteristic immunohistochemical studies. The diagnosis of solitary fibrous tumor has been refined by the availability of immunohistochemical markers such as CD34 and vimentin. Some tumors are also positive for bcl-2, CD99. Nuclear beta-catenin may occur in approximately a third of solitary fibrous tumors [3, 5, 10, 15, 16, 17, 18, 19, 20]. Positive staining with beta-catenin (nuclear), CD34 and bcl-2 has been obtained in our case. Solitary fibrous tumors show generally benign behavior, and their complete excision is usually curative. However, it has been reported that several clinical and pathological features can predict more aggressive behavior. Solitary fibrous tumors with extra-pleural localization have 10-15% recurrence rate and/or be metastatic. A study in literature showed local recurrence rate as 4.3-6.7% and metastasis rate as 5.3-5.4%. It has been reported that relapse of tumor was observed after 168 months; however, most of metastases or local recurrences was seen within 2 years after treatment. Lung, liver, bone, mesentery, omentum, mediastinum and retroperitoneal region were distant metastases areas in this study [6].
Solitary fibrous tumors have malignity potential. An estimated 5 to 20% of thoracic solitary fibrous tumors malignant features, but malignant extrathoracic tumors are rare. The diagnosis of malignancy is based on both clinical features and histologic findings. Atypical histological features such as nuclear atypia, increase in cellularity, necrosis and 4/10 mitosis in high-power fields were associated with clinically malign behavior [2, 5, 6, 15]. Relapse was seen in 80% of these cases [6]. In literature p53 expression, high Ki-67 immunohistochemistry, atypical mitosis, hemorrhage infiltrative growing pattern, and tumor size larger than 10 cm were associated with bad and malignant behavior. There was 1-2 mitosis in 10 high-power fields and no pleomorphism and cellularity increase in our case. Ki-67 index was below 2% and associated with benign behavior. Primary treatment plan for solitary fibrous tumor with extra-pleural localization is complete tumor resection and it is curative [5, 8, 9, 11, 12, 13, 14, 15].
As a result, solitary fibrous tumors with extra-pleural localization are rare and generally exhibit benign behavior. The lack of metastases in patients with pancreatic solitary fibrous tumor supports the designation of this lesion as benign [7, 8, 9, 10, 11, 12, 13, 14].
It is enough to excise tumor with negative border for treatment and patients who undergo complete surgical resection do not have any malignant component can expect a favorable outcome [7, 8, 9, 10, 11, 12, 13, 14]. Three months postoperatively, our patient is disease free.
Received December 8th, 2011 - Accepted February 1st, 2012
Key words beta Catenin; Genes, bcl-2; Pancreas; Solitary Fibrous Tumors
Conflict of interest The authors have no potential conflict of interest
Correspondence
Arzu Tasdemir
Department of Pathology
Erciyes University Medical School
Talas-Melikgazi
Kayseri, 38100
Turkey
Phone: +90-352.437.4937
Fax: +90-352.438.2772
E-mail: hktasdemir@erciyes.edu.tr
References
1. Klemperer P, Rabin CB. Primary neoplasms of the pleura: a report of five cases. Arch Pathol 1931; 11:385-412.
2. Sun Y, Naito Z, İshiwata T, Maeda S, Sugisaki Y and Asano G. Basic FGF and Ki-67 proteins useful for immunohistological diagnostic evaluations in malignant solitary fibrous tumor. Pathology international 2003; 53:284-290.
3. Rakheja D, Molberg KH, Roberts CA, JaiswalVR. Immunohistochemical Expression of β-Catenin in Solitary Fibrous Tumors. Archives of Pathology and Laboratory Medicine 2005; 129(6):776-779.
4. Chilosi M, Facchetti F, Del Tos AP, Lestani M, Morasi MI, Martignoni G, Sorio C, Benedetti A, Morelli L, Doglioni C, Barberis M, Menestrina F and Viale G. bcl-Expression in pleural and extrapleural solitary fibrous tumours. Journal of pathology 1997; 181:362-367.
5. Ganly I, Patel SG, Stambuk HF, Coleman M, Ghossein R, Carlson D, Edgar M, Shah JP. Solitary Fibrous Tumors of the Head and Neck. Arch Otolaryngol Head Neck Surg 2006; 132:517-525.
6. Daigeler A, Lehnhard M, Langer S, Steinstraesser L, Steinau H-U, Mentzel T and Kuhnen C. Clinicopathological findings in a case series of extrathoracic solitary fibrous tumors of soft tissues. BMC Surgery. 2006;6:10:
7. Lüttges J, Mentzel T, Hübner G, Klöppel G. Solitary fibrous tumour of the pancreas: a new member of the small group of mesenchymal pancreatic tumours. Virchows Arch 1999; 435:37-42.
8. Chatti K, Nouira K, Ben Reguigua M, Bedioui H, Oueslati S, Laabidi B, et al. Solitary fibrous tumor of the pancreas. A case report. Gastroenterol Clin Biol 2006; 30:317-9.
9. Miyamato H, Molena Da, Schoeniger LO, Haodong XU. Solitary fibrous of the pancreas a case report. Int J Surg Pathol 2007; 15(3):311-4.
10. Gardini A, Dubini A, Saragoni L, Padovani F, Garcea D. Benign solitary fibrous tumor of the pancreas: a rare location of extra-pleural fibrous tumor. Single case report and review of the literature.Pathologica 2007; 99(1):15-8.
11. Srinivasan VD, Wayne JD, Rao SM, Zyneger DL. Solitary Fibrous Tumor of the Pancreas: Case Report with Cytologic and Surgical Pathology Correlation and Review of the Literature. J Pancreas 2008; 9:526-530.
12. Kwon HJ, Byun JH, Kang J, Park SH, Lee MG. Solitary Fibrous Tumor of the Pancreas: Imaging Findings. Korean J Radiol 2008; 9:48-51.
13. Ishiwatari H, Hayashi T, Yoshida M, Kuroiwa G, Sato Y, Kabune M, et al. Acase of solitary fibrous tumor of the pancreas. Nippon Shokakibyo Gakkai Zasshi. 2009; 106:1078-1085.
14. Sugawara Y, Sakai S, Aono S, Takahashi T, Inoue T, Ohta K, et al. Solitary Fibrous Tumor of the Pancreas. Jpn J Radiol 2010; 28:479-482.
15. Wei Y-C, Li C-F, Sung M-T, Chen Y-T, Ko S-F, Eng H-L and Huang H-Y. Primary myxoid solitary fibrous tumor involving the seminal vesicle. Pathology international 2006; 56:642-644.
16. Yamada H, Tsuzuki T, Yokoi K and Kobayashi H. Solitary fibrous tumor of the kidney originating from the renal capsule and fed by the renal capsular ertery. Pathology international 2004; 54:914-917.
17. Hasegawa T, Matsuno Y, Shimoda T, Hirohashi S, Hirose T, Sano T. Frequent Expression of bcl-2 Protein in Solitary Fibrous Tumors. Japanese Journal of Clinical Oncology1997; 28(2):86-91.
18. Andino L, Cagle PT, Murer B, Popper HH, Galateau-Salle F, Sienko AE, Barrios R, Zander DS. Pleuropulmonary Desmoid Tumors.Arch Pathol 2006; 130:1503-1509.
19. Ng TL, Gown AM, Barry TS, Cheang MCU, Chan AKW, Turbin DA, Hsu FD, West RB and Nielsen TO. Nuclear beta-catenin in mesenchymal tumors. Modern Pathology 2005; 18:68-70.
20. Chetty R, Jain R, Serra S. Solitary Fibrous Tumor of the Pancreas. Ann Diagn Pathol 2009; 13(5):239-43.