CASE REPORT
JOP. J Pancreas (Online) 2012 Jan 10; 13(1):83-86.
Pitfalls in Diagnostic Imaging of Cystic Pancreatic Masses: A Case of True Cystic Lesion Mimicking a Mucinous Cystadenoma
Simone Maurea, Mario Fusari, Massimo Imbriaco, Luigi Camera, Pier Paolo Mainenti, Severo Campione, Michele Santangelo, Marco Salvatore
Department of Biomorphological and Functional Sciences (DSBMF) and Department of Surgical, Anesthesiological and Emergency Sciences, University Federico II of Napoli (UNINA); Biostructures and Bioimages Institution (IBB), National Research Council (CNR); SDN Foundation (IRCCS). Naples, Italy
ABSTRACT
Context Imaging characterization is a frequent topic in diagnostic evaluation of patients with pancreatic cystic lesions. Case report We present a patient with a true pancreatic cyst with internal septation in an adult female. The presence of the internal septum should be considered in the differential diagnosis, in fact in our case CT and MR imaging findings were incorrectly suggestive of mucinous cystadenoma. Conclusion True pancreatic cyst may show septate architecture and thus for imaging characterization this feature should be considered in the differential diagnosis of cystic pancreatic masses.
INTRODUCTION
Solitary true cysts of the pancreas are extremely rare benign lesion initially described in 1942 by Nigaard and Stacy [1]; these lesions mostly occur in infants and younger patients. The etiology of these lesions remain unknown, however, these lesions are supposed to be congenital [2]. Histologically, these cysts are thin walled lesions, lined by cuboidal epithelium, filled with clear fluid, with no communication with the main pancreatic duct and with unilocular structure.
Herein, we present the first case described in the English literature of a true pancreatic cyst with internal septation in an adult female. This rare entity and its peculiar imaging characteristics should be considered in the differential diagnosis between this lesion and other benign as well as malignant pancreatic masses, especially with mucinous cystadenoma; in this regard, in our case CT and MR imaging findings were incorrectly suggestive of this last tumor-type and, thus, misleading.
CASE REPORT
A 23-year-old-woman, without previous medical history, was admitted to our hospital because of nausea and vomiting for the past few weeks; at clinical examination a smooth, non tender mass was palpable on the left side of abdomen. Biochemical (amylase and lipase) and tumor markers (CEA, CA 19-9) were within the normal range.
Abdominal US revealed an 8 cm anechogenic mass in the pancreatic tail. Abdominal CT scan was performed using a multi-detector 64 slices CT scanner (Aquilion, Toshiba, Tochigi, Japan) to confirm US findings; unenhanced CT scans showed a well-circumscribed cystic lesion, measuring 8x10 cm in pancreatic tail, with homogeneous low density; an internal this septum was present within the lesions. A contrast-enhanced acquisition was subsequently performed after i.v. bolus (3 mL/sec) injection of 120 mL of a non ionic iodinated contrast agent (Ultravist 370 mgI/mL, Bayer-Shering Pharma, Berlin, Germany) with a scan delay of 120 seconds; an automated dose modulation was used; the cyst wall and the internal septum showed a slight contrast enhancement (Figure 1); the stomach, spleen and left kidney were displaced by the mass. Further diagnostic investigation included a MR scan that was carried out using a 3T MRI (Gyroscan, Philips, Eindhoven, Germany) acquiring axial and coronal T1- and T2-weighted images with and without fat saturation integrated with MRCP T2-weighted hydro-cholangiographic sequences. In particular, the lesion was hyperintense on T2-weighted MR images (Figure 2) and homogeneously hypointense on the pre-contrast T1-weighted MR images showing a mild rim of enhancement after intravenous contrast administration (gadolinium diethylenetriamine pentaacetic-acid) in a volume of 20 mL with 2 mL/s) while maintaining the hypointensity of the central core constant; an internal septum of slight hyperintensity was present within the lesion, that was divided in two parts (Figure 3); MR cholangiopancreatography showed no communication between the lesion and the main pancreatic duct (Figure 4).


|
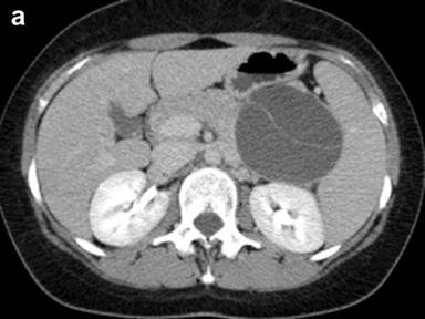
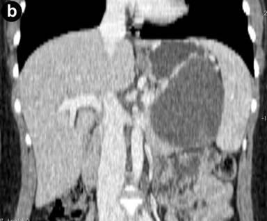
Figure 1. CT scan showed an 8 cm thin-walled, non contrast-enhancing cystic lesion in the pancreatic tail with a hyperdense internal septum; axial (a.) and coronal MPR reconstruction (b.) views. |

|
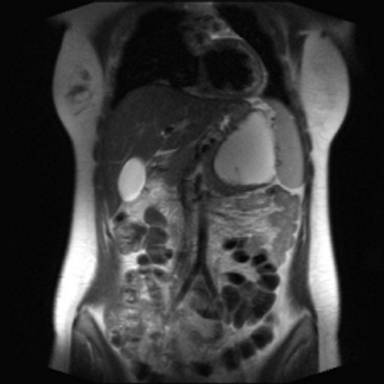
Figure 2. T2-weighted coronal MR image showed a simple cystic mass of the pancreatic tail displacing laterally the spleen; the thin line of hypointensity due to internal septum is clearly detected. |

|
Figure 3. Post-contrast axial-T1-weighted MR image showing a mild rim of enhancement of the pancreatic mass, with constant hypointensity of the central core and the slight hyperintensity of internal septum. |

|
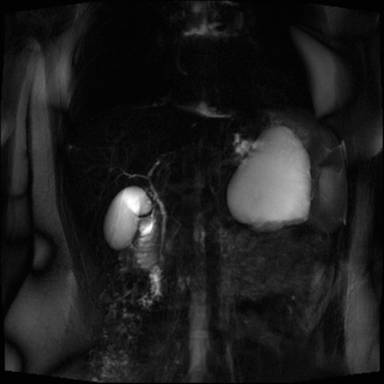
Figure 4. MRCP show no communication between cyst and the main pancreatic duct. |
With these findings, because the patient had no a history of pancreatitis and considering the age, the sex and the imaging characteristics, a presumptive diagnosis of cystic neoplasm of the pancreas was made and a first hypothesis of a mucinous cystadenoma of the pancreatic tail was performed. A distal pancreatectomy with total splenectomy was performed. On gross inspection the pancreatic tail hosted a cyst with a smooth surface, 9 cm of maximum diameter, bilocular, containing a brownish liquid; furthermore, the lesion was adherent to the splenic capsule. Microscopically a fibrous cystic wall lined by a monolayer of cuboid epithelial cells without evidence of malignancy allowing the diagnosis of true pancreatic cyst (Figure 5). The post-operative course was uneventful and the patient was discharged 7 days after surgery; at 3-year follow-up, the patient is alive without evidence of recurrence.


|
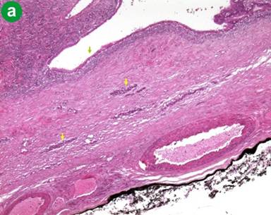
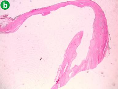
Figure 5. a. Fibrous wall of the pancreatic cyst lined by cuboidal epithelium monolayer (green arrow) with trapped Langerhans islets (yellow arrows) (H&E, 10x); b. Cross section compared to the septum of the cyst (H&E, 1x).
|
DISCUSSION
True cyst of the pancreas is a rare lesion initially described in 1942 by Nigaard and Stacy [1] and fewer than 20 cases have been reported in the English literature. The etiology is unclear; it has been hypothesized to be a congenital lesion arising from a developmental abnormality of the pancreatic ductal system [2]. These lesions may occur in infant and younger patients [3, 4, 5] or in adult patients [6, 7, 8, 9, 10, 11, 12, 13, 14, 15, 16]; moreover, they may be associated with autosomal dominant polycystic kidney disease [17] or Von Hippel Lindau disease [18]. True cysts are essentially benign and usually are asymptomatic, although abdominal distention, vomiting, jaundice, or pancreatitis can be observed. On histopathological examination the cyst are thin-walled lesion with no intra-luminal septum, excrescences or solid tumoral compounds and contains a clear fluid with normal amylase and lipase concentrations and no evidence of communication with the main pancreatic duct [12, 13, 14, 15]. Microscopically the cyst wall is lined by a monolayer of cuboidal epithelium surrounded by fibrous tissue; normal pancreatic parenchyma surrounds the cystic wall; in some cases the epithelial line cells may be immunohistochemically positive to anti-carbohydrate antigen 19-9 antibodies [9, 10, 11, 12, 13].
The macroscopic characteristics of true cyst can be well demonstrates on US, CT and MRI images and allow a differential diagnosis with other cystic lesion of the pancreas [19]. In particular, CT and MRI showed in our case a well defined round mass, thin walled with an internal septum that showed a mild rim of enhancement after intravenous contrast administration; both on CT and MRI there was no solid component or central-cyst wall calcification. In this regard, the correct preoperative differential diagnosis based on imaging findings is a crucial point to select the most appropriate treatment, but it remains a very difficult issue; in particular, a true cyst of the pancreas should be differentiated, mainly, from neoplastic or non-neoplastic cysts. From a radiologic point of view an unilocular macrocystic lesion is indicative of pseudocyst in patient with a history of pancreatitis and/or serum amylase increase or for a true pancreatic cyst; conversely, the presence of the internal septum, is suggestive of a neoplastic nature in particular of intra-papillary mucinous neoplasm, when there is communication between the cyst and the main pancreatic duct, or mucinous cystadenoma [19]. In our case, on the basis of the sex and age, as well as the morphological and imaging findings, the hypothesis of mucinous cystadenoma of the pancreatic was made, but, a true pancreatic cyst was histologically demonstrated; however, the evaluation of the content of the cyst by fine needle aspiration was not available since it was not performed.
This is the first case described in English literature of a septate true pancreatic cyst; therefore, the unilocular criteria for the diagnosis of these lesions should be revised. For the management, the decision about a surgical approach is based on several factors, including the patient’s age, surgical risk, the size and the location of the cyst. However, surgery should be always considered for larger cyst in young symptomatic patients while imaging follow-up is recommended for small cyst and older patients, including those who are at higher risk for surgical complication.
In conclusion, true pancreatic cyst may show septate structure and, thus, this feature should be considered in the differential diagnosis of cystic pancreatic masses when the characterization between benign and malignant lesion is required.
Received August 29th, 2011 - Accepted November 16th, 2011
Key words Diagnostic Imaging; Neoplasms; Pancreas
Conflict of interest The authors have no potential conflict of interest
Correspondence
Simone Maurea
Dipartimento di Scienze Biomorfologiche e Funzionali
Via S. Pansini 5
80131 Naples
Italy
Phone: +39-081.746.3560/2039
Fax: +39-081.545.7081
E-mail: maurea@unina.it
References
1. Nigaard, KK, Stacy, LJ. Solitary congenital (dysontogenetic) cyst of the pancreas. Report of a case. Arch Surg 1942;45: 206-212.
2. Kebapci M, Aslan O, Kaya T, Ilhan H. Prenatal diagnosis of giant congenital pancreatic cyst of a neonate. AJR Am J Roentgenol. 2000 Nov;175(5):1408-10.
3. Chung JH, Lim GY, Song YT. Congenital true pancreatic cyst detected prenatally in neonate: a case report. J Pediatr Surg. 2007 Sep;42(9):E27-9.
4. Kazez A, Akpolat N, Kocakoç E, Parmaksiz ME, Köseogullari AA. Congenital true pancreatic cyst: a rare case. Diagn Interv Radiol. 2006 Mar;12(1):31-3.
5. Agarwala S, Lal A, Bhatnagar V, Dinda AK, Mitra DK. Congenital true pancreatic cyst: presentation and management. Trop Gastroenterol. 1999 Apr-Jun;20(2):87-8.
6. Khan MA, Verma GR. Solitary true cyst of pancreas: report of a case and reviewof literature. J Gastrointest Cancer. 2010 Jun;41(2):96-100.
7. Carboni F, Mancini P, Lorusso R, Santoro E. Solitary true cyst of the pancreas in adults. A report of two cases. JOP. 2009 Jul 6;10(4):429-31.
8. Sanada Y, Yoshida K, Itoh H, Kunita S, Jinushi K, Matsuura H. Groove pancreatitis associated with true pancreatic cyst. J Hepatobiliary Pancreat Surg. 2007;14(4):401-9.
9. Fiamingo P, Veroux M, Gringeri E, Mencarelli R, Veroux P, Madia C, D'Amico DF. True solitary pancreatic cyst in an adult: report of a case. Surg Today. 2005;35(11):979-83.
10. Bergin D, Ho LM, Jowell PS, Pappas TN, Paulson EK. Simple pancreatic cysts: CT and endosonographic appearances. AJR Am J Roentgenol. 2002 Apr;178(4):837-40.
11. Takahashi O, Kondo S, Hirano S, Ambo Y, Tanaka E, Morikawa T, Okushiba S, Kato H. Solitary true cyst of the pancreas in an adult: report of a case. Int J Gastrointest Cancer. 2001;30(3):165-70.
12. Heindryckx E, Van Steenbergen W, Van Hoe L, et al. Solitary true cyst of the pancreas. Eur Radiol. 1998;8(9):1627-9.
13. Tanno S, Obara T, Izawa T, Sasaki A, et al. Solitary true cyst of the pancreas in two adults: analysis of cyst fluid and review of the literature. Am J Gastroenterol. 1998 Oct;93(10):1972-5.
14. Sperti C, Pasquali C, Costantino V, Perasole A, Liessi G, Pedrazzoli S. Solitary true cyst of the pancreas in adults. Report of three cases and review of the literature. Int J Pancreatol. 1995 Oct;18(2):161-7.
15. Mao C, Greenwood S, Wagner S, Howard JM. Solitary true cyst of the pancreas in an adult. Int J Pancreatol. 1992 Oct;12(2):181-6.
16. Howard JM. Cystic neoplasms and true cysts of the pancreas. Surg Clin North Am. 1989 Jun;69(3):651-65.
17. Malka D, Hammel P, Vilgrain V, Fléjou JF, Belghiti J, Bernades P. Chronic obstructive pancreatitis due to a pancreatic cyst in a patient with autosomal dominant polycystic kidney disease. Gut. 1998 Jan;42(1):131-4.
18. Hammel PR, Vilgrain V, Terris et al. Pancreatic involvement in von Hippel-Lindau disease. The Groupe Francophone d'Etude de la Maladie de von Hippel-Lindau. Gastroenterology. 2000 Oct;119(4):1087-95.
19. Sahani DV, Kafavigere R, Saokar A, et al. Cystic pancreatic lesion: a simple imaging-based classification system for guiding management. Radiogrphics 2005; 25:1471-1484.