CASE REPORT
Extended Pancreaticoduodenectomy for a Huge Cystic-Cavernous Lymphangioma: A Case Report
Sabri Erguney, Serkan Teksoz, Sibel Erdamar, Sanaz Ainechii, Deniz Cebi Olgun
Cerrahpasa Medical Faculty, Istanbul University. Istanbul, Turkey
ABSTRACT
Context Cystic-cavernous lymphangioma is a rare cystic tumor especially for adults and pancreas. Case report We reported a case of a 33-year-old woman who presented with a visible and palpable abdominal mass found to be a huge lymphangioma of the pancreas. An abdominal magnetic resonance imaging (MRI) showed a multiloculated, lobulated T1 hypo/hyper, T2 hyperintense cystic mass extending from right subhepatic space to the pelvis measuring 155x167x100 mm. A pancreaticoduodenectomy was performed encompassing the distal stomach and a segment of the transverse colon, because of their close, inseparable relationship to the mass. The cystic mass was histopathologically diagnosed as partly cavernous and partly cystic lymphangioma. Conclusion To our knowledge this is the first case of pancreatic lymphangioma requiring additional organ resection besides a standard pancreaticoduodenectomy. To reduce recurrences, we recommend a complete resection for this pathology, even though its benign nature.
INTRODUCTION
Lymphangiomas are rare cystic tumors most frequently located at the head, neck and axilla of children. In adults, lymphangiomas are infrequent, abdominal location is even less frequent, accounting for less than 1% of all lymphangiomas. Nearly 2/3 of abdominal lymphangiomas are located either in the mesentery of the small bowel or mesocolon [1]. Pancreatic cystic lymphangiomas are rare. Here we report a huge pancreatic cystic lymphangioma treated by pancreaticoduodenectomy encompassing also neighboring segments of transverse colon and stomach.
CASE REPORT
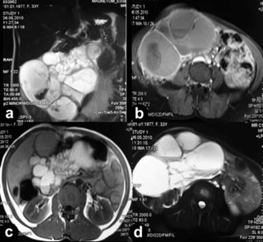
A 33-year-old woman, presented with a short history of abdominal enlargement, early satiety, epigastric fullness and a slight weight loss. Physical examination revealed a huge mass occupying almost the whole abdominal cavity on inspection and palpation. All routine blood tests including tumor markers were within normal limits, except a slight anemia. An abdominopelvic MRI showed a multiloculated, lobulated T1 hypo/hyper, T2 hyperintense cystic mass extending from right subhepatic space to the pelvis measuring 155x167x100 mm with contrast fixation at its wall and septae (Figure 1). Both ovaries were distinctly normal. As the mass was symptomatic, though its nature and origin was obscure, a laparotomy with diagnostic but also therapeutic intent was planned. The exploration revealed a huge mass inseparable from the transverse mesocolon and the greater curvature of the stomach, eventually originating from the head-body junction of the pancreas (Figure 2). A pancreaticoduodenectomy was performed encompassing also the concerned distal stomach and transverse colon. The postoperative recovery was uneventful. Histopathology revealed a partly cystic, partly cavernous lymphangioma originating from the pancreas. The neighboring structures (transverse colon and distal stomach) were intact as well as twelve dissected lymph nodes. The covering epithelium of lymphatics was positive for D240 immunostain. (Figure 3). The patient is disease and symptom-free at her 18th month check-up.

|
Figure 1. a. Coronal T2-weighted image shows the multiloculated cystic mass extending from right sub-hepatic space to the pelvis. b. Axial T1-weighted image depicts the thin walls and multiple fine septations enhanced after intravenous contrast injection and fluid levels with different intensity. c. Axial T1-weighted image shows the multiloculated, multiseptated hyperintense lesion in the pancreatic space. d. A more caudal axial T2-weighted image showing multiloculated hyperintense cystic mass with fluid levels and multiple septations. |

|
Figure 2. Tumor consisting of polycysts in size varying from 1 mm to 10 cm. |

|
Figure 3. a. Microscopy revealing cysts composed of lymphatic channels lined with endothelial cells. Normal pancreatic tissue could be seen (magnification: x40). b. Endothelial cells showing positivity for D240 immunostaining (magnification: x200). |
DISCUSSION
A literature review from 1995 to 2005 made by Leung et al. [2] revealed only few cases of pancreatic lymphangioma, most being of cystic type. Only one case of cavernous lymphangioma was reported.
Pancreatic lymphangiomas occur predominantly in females, with a mean age of 29 years. They arise most commonly (95%) in the head and neck region of the gland [2]. It is believed that they result from lack of normal embryologic development of draining lymphatic system. In adult lymphatic obstruction secondary to trauma, tumor or inflammation may be another pathogenetic explanation [3].
Histologically, intra-abdominal cystic lymphangiomas are usually multilocular, lined by flat endothelium containing lymphatic spaces and collections of lymphoid tissue, foam cells, and smooth muscle cells in the cyst wall. On the contrary, mesenteric cysts are generally unilocular and without cellular lining in their wall [4].
Cystic lymphangiomas usually contain serous, serosanguinous, or, less frequently, the characteristic chylous fluid [5].
They are asymptomatic until they enlarge. Imaging studies show usually multilocular, well-circumscribed cystic masses with enhancement of their wall and septa by contrast medium, as already seen in our patient [6].
Many reports pretend that though imaging studies including CT and MRI could detect a pancreatic cystic mass, they can not clarify their nature. However, Leung et al. [2] showed the ability of post-gadolinium MRI to define thin septae and its superiority in defining interfaces with adjacent structures and in ruling out cystoductal communication in coronal and sagittal views. Among thin-walled pancreatic cystic lesions resembling cystic lymphangioma and difficult to rule out, serous and mucinous cystadenomas may be mentioned. Serous adenomas may sometimes contain a central stellate scar and sunburst calcification and mucinous neoplasms may exhibit cyst wall calcification, focal thickening of the cyst wall and papillary projections. [2, 7]. The T1 hyperintense component of the lesion in the presented case (Figure 1c) may reflect nothing more than the non-serous (chylous?, mucinous?, proteinous?) character of its content.
Serum tumor markers, namely CEA and CA 19-9 may be of help in differential diagnosis of mucinous cystic neoplasms. Unfortunately, correct preoperative diagnosis is made in only 25% of cases. Even laparotomy and frozen-section biopsy may be insufficient in resolving the ambiguity [1].
Cytological and biochemical analysis of cyst fluid obtained by percutaneous or transluminal aspiration may be useful. However, the unique finding confirming the diagnosis of pancreatic cystic lymphangioma is its chylous appearance or its high triglyceride level which is often absent. Jathal et al. [5] defends the inutility of treatment in the presence of such a finding in an asymptomatic patient, not without emphasizing “the small but definite risks of bleeding and infection associated with EUS-FNA” and recommend FNA “only when the information to be obtained will likely impact patient management”. As surgery was mandatory in our highly symptomatic patient, further diagnostic procedures were omitted.
Contrary to mesenteric cysts, intra-abdominal cystic lymphangiomas can recur if not completely excised. Thus, the optimal treatment for intra-abdominal cystic lymphangiomas is complete resection with negative microscopic margins, even when asymptomatic [4, 8]. Lesion’s dimensions reached in our patient are a justification of the treatment necessity of these lesions even when incidentally found and asymptomatic. Given the benign nature of the lesion, in suitable cases, limited resections (cystectomy) may be appropriate [9, 10]. On the contrary, resection of involved organ(s) may be necessary [3, 11, 12, 13]. Incomplete resection has a 10% postoperative recurrence rate [14].
In the presented case, as the cystic mass penetrated the transverse mesocolon till the colonic wall, a colonic resection had been mandatory added to a conventional pancreaticoduodenectomy. Igarashi et al. [15] reported five cases of pancreaticoduodenectomy performed for pancreatic cystic lymphangioma including their own. To our knowledge, our case is the first reported case of pancreaticoduodenectomy combined with adjacent organ resection for this pathology.
Radiation treatment, argon beam coagulation, percutaneous ablation using alcohol had also been reported in the successful treatment of abdominal cystic lymphangiomas [16, 17, 18].Lastly, successful laparoscopic excision of a cystic lymphangioma was described in a 16-year-old girl [19].
Simple aspiration and injection of a sclerosing agent should be avoided because of extremely high infection and recurrence rates. Marsupialization has been suggested when the lymphangioma cannot be removed safely [6]. Occasionally, radical resection might be technically impossible, because it may become locally invasive with infiltration of adjacent organs or involvement of the main arteries [3].
Received January 10th, 2012 - Accepted January 20th, 2012
Key words General Surgery; Lymphangioma, Cystic; Pancreas
Conflict of interest The authors have no potential conflict of interest
Correspondence
Serkan
Teksoz
Cerrahpasa
Medical Faculty
Istanbul
University
Istanbul
Universitesi Cerrahpasa Tip Fakultesi Genel Cerrahi AD Fatih
Istanbul,
34098
Turkey
Phone: +90-212.414.3000/23002
Fax:
+90-212.414.3370
E-mail: serkanteksoz@gmail.com
References
17. Rothenberg SS, Pokorny WJ. Use of argon beam ablation and sclerotherapy in the treatment of a case of life-threatening total abdominal lymphangiomatosis. J Pediatr Surg 1994;29: 322-3. [PMID: 8176612].
18. Stein M, Hsu RK, Schneider PD, Ruebner BH, Mina Y. Alcohol ablation of a mesenteric lymphangioma. J Vasc Interv Radiol 2000;11: 247-50. [PMID: 10716398].