CASE REPORT
JOP. J Pancreas (Online) 2012 May 10; 13(3):301-303.
Pancreatoblastoma: A Rare Tumor Still Evolving in Clinical Presentation and Histology
Chitra Balasundaram1, Munish Luthra1, Disaya Chavalitdhamrong1, Jonathan Chow2, Hina Khan1, Paul JH Endres2
Departments of 1Internal Medicine and 2Pathology, James J. Peters VA Medical Center, Mount Sinai School of Medicine. Bronx, New York, NY, USA
ABSTRACT
Context Pancreatoblastoma is a rare neoplasm in adults with a total of only 24 cases that have been reported in the literature. Adult pancreatoblastomas are large tumors and majority are larger than 8 cm at the time of diagnosis. Metastasis is seen in 26% of adults and usually involves the liver and then the lymph nodes. Metastasis is usually observed in cases where the primary tumor measures more than 10 cm. Pancreatoblastoma is named after its resemblance to fetal pancreatic tissue in the seventh week of life. The presence of squamoid corpuscles with a morular appearance is the most characteristic feature of the tumor. Pancreatoblastomas can have mixed features of both endocrine and exocrine cells; however, acinar differentiation is the most prevalent feature. Case report We present a case of a 27-year-old female with a 3.6 cm pancreatoblastoma with metastasis to the liver and lungs as well as to the breast. This case has several distinguishing features from previously reported cases. Such widespread metastasis is unusual given the small size of the primary tumor. Also, metastasis to the breast from a pancreatoblastoma has been previously undescribed in literature. The histological features in our case of pancreatoblastoma were atypical, characterized by the absence of acinar component, supported by the lack of staining for both trypsin and lipase in the tumor, which has not been described in literature. Additionally, the nests of squamous cells in this tumor had a pilomatricoma like morphology as opposed to the morular appearance of the squamoid corpuscles seen in classical cases. Conclusion Pancreatoblastoma can have an atypical clinical picture and a small primary with extensive metastasis to unusual sites may present a diagnostic challenge. Given its rarity, a high index of suspicion is required to correctly diagnose this condition. The histology reported on this case is unique and has not been reported in the literature.
INTRODUCTION
Adult pancreatoblastoma is an extremely rare neoplasm and accounts for 0.5% of all pancreatic exocrine tumors. There are a total of only 24 cases that have been reported in the literature Adult pancreatoblastomas are slow growing and large tumors and the majority of tumors are larger than 8 cm at the time of diagnosis. They typically present with symptoms and signs related to mass effects which are predominantly abdominal pain, weight loss, palpable mass and jaundice. Metastasis is seen in 26% of adults and usually involves the liver and then the lymph nodes. Extensive metastasis to the lungs, adrenals, spleen and kidney has been reported in only one case. Metastasis is usually observed in cases where the primary tumor is large with all but one reported cases of primary tumors with concurrent metastasis measuring more than 10 cm, and the remaining case measuring 5 cm. Classically, pancreatoblastoma is identified on histology by the presence of squamoid corpuscles with morular appearance, and mixed features of endocrine and exocrine cells, the most prevalent feature being the presence of acinar component. Our patient presents with a 3.6 cm pancreatoblastoma with metastasis to the liver, lungs and breast . Such widespread metastasis is unusual given the small size of the primary tumor. Also, metastasis to the breast from a pancreatoblastoma has been previously undescribed in literature. The tumor had unique histological features, notably absence of acinar component as well as pilomatricoma like morphology of squamous cells.
CASE REPORT
A 27-year-old woman with a past medical history of iron deficiency anemia from dysfunctional uterine bleeding presented with a 2-month history of pressure like chest pain, shortness of breath, and right shoulder pain. She noted 2.7 kg of weight loss over one month. Her medications included oral contraceptive pills. She smoked 3 cigarettes per day for 3 years and was a social drinker. Physical examination was normal. Laboratory findings were notable for anemia with hemoglobin of 10.9 g/dL (reference range: 14.0-18.0 g/dL) and elevated calcium. CT pulmonary angiogram was negative for pulmonary embolus but showed multiple nodules in bilateral lungs measuring 1-2 cm, which was suggestive of metastatic disease. CT scan of the abdomen and pelvis showed multiple large lesions in the liver. Tumor serum markers showed an elevated CA 19-9 of 186 U/mL (reference range: 0- 37 U/mL) but CEA, CA 125 and alpha-fetoprotein (AFP) levels were normal. Fine needle aspiration cytology of the liver lesion revealed features suggestive of a high grade neuroendocrine carcinoma favoring small cell carcinoma of an unknown primary. A regimen of cisplatin and etoposide was initiated, and she subsequently developed etoposide-associated mucositis. She was started on unfractionated heparin for venous thromboembolism prophylaxis. On the third day after finishing chemotherapy, she had sudden cardiac arrest with unsuccessful cardiopulmonary resuscitation.
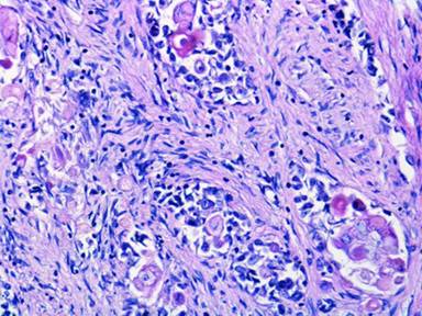
Autopsy showed the immediate cause of death was a 2 cm right main pulmonary artery embolus leading to acute cardiopulmonary compromise. Significant findings on autopsy included multiple metastatic nodules in the liver and lungs and a solitary 3.6 cm yellow ill-defined firm primary tumor in the body of the pancreas. Tumor was also discovered in random samples of breast tissue by microscopy. Histologically, the tumor was composed of nests of bland squamous cells surrounded by aggregates of primitive-appearing cells divided by hypercellular stroma. The squamous cells had a pilomatricoma-like appearance with abundant pink cytoplasm, small nuclei, frequent anucleation, and well defined polygonal cell borders (Figure 1). A focal giant cell reaction was present in some areas. The primitive appearing cells had moderately coarse chromatin and scant cytoplasm. In addition, a substantial component of the tumor in the liver showed ductal differentiation transitioning with the squamous component. Immunohistochemistry revealed that the tumor stained positive for cytokeratin AE1/AE3, CAM 5.2, CK5/6, and focally positive for CK7, CA 125, CEA, CA 19-9. The primitive appearing tumor cells exhibited neuroendocrine features with strong staining for CD56 and focal staining for synaptophysin. The tumor was negative for CK20, p63, trypsin, chymotrypsin, lipase, S100, chromogranin, AFP, TTF-1, SP-A, ER, PR, mammaglobin, CDX2, WT-1, and GCDFP-15. Ki-67 proliferative-index stained 5-10% of the tumor cells. The pathological diagnosis was pancreatoblastoma.

|
Figure 1. Primary pancreatic tumor consisting of squamous nests surrounded by primitive appearing cells with moderately coarse chromatin and scant cytoplasm. Notably, the squamous cells have abundant pink cytoplasm and frequent anucleation. The tumor is contained within a background of hypercellular stroma (hematoxylin-eosin, original magnification x200). |
DISCUSSION
Palosaari et al. described the first case of adult pancreatoblastoma in 1986 [1]. The tumor from our patient had several features which were atypical of the cases described in the literature. Usually adult pancreatoblastomas are slow growing and large, ranging between 1.5 and 20 cm, with the majority larger than 8 cm. Affected individuals typically present with symptoms and signs related to mass effect [2]. Distant metastasis is seen in 26% of adults and most commonly involves the liver (26%) and then the lymph nodes (14%). Metastasis to the lungs has been reported in only one case [2, 3]. Metastasis is usually observed in cases where the primary tumor is large, with all but one reported cases of primary tumors with concurrent metastases measuring greater than 10 cm, and the remaining case measuring 5 cm. All tumors less than 5 cm presented without any metastasis [2, 4]. Our case had widespread metastases to the liver, lungs, and the breast, which is unusual for the small size (3.6 cm) of the primary tumor. Metastasis to the breast has never been reported. CT scan and MRI features of adult pancreatoblastoma typically show a well circumscribed, heterogeneous mass with features suggestive of peripheral vascularity and viability with areas of central necrosis [5]. In our patient, CT scan failed to characterize the relatively small pancreatic mass. Tumor serum markers in adult pancreatoblastoma are usually normal, though elevated levels of CA 19-9 have been described in a minority of patients as seen in this case. Classically, pancreatoblastomas are highly cellular neoplasms composed of uniform epithelial cells in solid sheets and nests admixed with well formed ductal structures and occasional tubules. The presence of squamoid corpuscles is the most characteristic feature of the tumor [3]. Pancreatoblastomas can have mixed features of exocrine and endocrine cells with zymogen and neuroendocrine granules sometimes in the same cells [6]. However, acinar differentiation is the most prevalent feature [3]. Pancreatoblastomas are almost always positive by immunohistochemistry for exocrine markers such as trypsin and lipase, and usually positive for neuroendocrine markers such as synaptophysin, chromogranin, neuron specific enolase and CD56 [3, 7]. Only rare cases of pancreatoblastoma are positive for specific polypeptide hormones such as insulin, gastrin, or somatostatin. Additionally, pancreatoblastomas are invariably positive for cytokeratin AE1/AE3, CAM 5.2, and often positive for CEA, CA 19-9 and AFP. The histological features in our case of pancreatoblastoma were atypical, characterized by the absence of an acinar component, supported by the lack of staining for both trypsin and lipase in the tumor, which has not been described in the literature. Additionally, the nests of squamous cells in this tumor had a pilomatricoma-like morphology as opposed to the morular appearance of the squamoid corpuscles seen in classical cases. This tumor is best classified as a pancreatoblastoma based on the multi-lineage origin of the cells, which includes the presence of squamous nests surrounded by primitive undifferentiated cells and hypercellular stroma. The immunohistochemical stains also reflect the multi-lineage differentiation seen on histology, with neuroendocrine markers staining mainly the primitive appearing tumor cells rather than the squamous nests with epithelial differentiation.
Treatment of pancreatoblastoma includes surgical resection of the tumor, whenever possible. The high metastatic potential of the tumor may warrant that resection be followed by adjuvant chemotherapy or radiotherapy, though the data supporting this is insufficient. In metastatic, recurrent, and locally unresectable tumors, chemotherapy and radiotherapy may be considered as the treatment of choice. Currently, there are no standardized recommendations regarding the best mode of treatment, due to insufficient data. Overall, adult pancreatoblastoma has a poor prognosis and more than 50% of afflicted patients die within 3 years from initial diagnosis [2].
In addition, this case highlighted that thromboembolism is a common complication in patients with malignancies, affecting up to 11%, and is the second leading cause of death in patients with extensive malignancies [8]. It is especially common in pancreatic cancer. Incidence of thromboembolism is as high as 50% in malignancies of the body of the pancreas [9] but there are no reports on the incidence in pancreatoblastoma, specifically. Mechanisms thought to contribute to a prothrombotic state in malignancy include the production of procoagulant substances, inflammatory cytokines, acute phase reactants, and the physical interaction between the tumor cells and the endothelium. Chemotherapeutic agents may also contribute to a prothrombotic state by similar mechanisms [10]. Specifically in relation to this patient, a history of smoking and oral contraceptive use could have additionally contributed to a hypercoagulable state.
Received January 20th, 2011 - Accepted March 9th, 2012
Key words Histology; Neoplasm Metastasis; Pancreas; Pancreatoblastoma
Conflict of interest None of the authors have any potential conflicts of interest to disclose
Correspondence
Chitra
Balasundaram
Department of Internal Medicine
James J. Peters VA Medical Center
130 W Kingsbridge Road
New York, NY
USA
Phone: +1-703.659.5808
Fax: +1-718.741.4233
E-mail: chitrabreddy@yahoo.com
References
1. Palosaari D, Clayton F, Seaman J. Pancreatoblastoma in an adult. Arch Pathol Lab Med 1986; 110:650-2 (PMID: 3013120)
2. Cavallin A, Falconi M, Bortesi L, Crippa S, Barugola G, Butorini G. Pancreatoblastoma in Adults: A review of the literature. Pancreatology 2009;9:73-80 (PMID: 19077457)
3. Klimstra DS, wenig BM, Adair CF , Heffess CS. Pancreatoblastoma: a clinicopathologic study and review of the literature. Am J Surg Pathol 1995;19:1371-1389. (PMID: 7503360)
4. Charlton-Ouw KM, Kaiser CL, Tong GX, Allendorf JD, Chabot JA. J Pancreas 2008;9(6):733-738 (PMID: 18981556)
5. Montemarano H, Lonergan GJ, Bulas DI, Selby DM. Pancreatoblastoma: imaging findings in 10 patients and review of the literature. Radiology 2000;214:476-482 (PMID: 10671596)
6. Buchino JJ, Castello FM, Nagaraj HS: Pancreatoblastoma: A histochemical and ultrastructural analysis. Cancer 1984;53:963-969. (PMID: 6141001)
7. Rosai Juan. Rosai and Ackerman's Surgical Pathology. Ninth Edition. Mosby. Edinburgh, New York, 2004.
8. Sack GH Jr, Levin J, Bell, WR. Trousseau's syndrome and other manifestations of chronic disseminated coagulopathy in patients with neoplasms: Clinical, pathophysiologic, and therapeutic features. Medicine (Baltimore) 1977; 56:1.
9. Shaib W, Deng Y, Zilterman D, Lundberg B, Saif MW. Assessing risk and mortality of venous thromboembolism in pancreatic cancer patients. Anticancer Res. 2010 Oct;30(10):4261-4. (PMID: 21036750)
10. Caine GJ, Stonelake PS, Lip GY, Kehoe ST. The hypercoagulable state of malignancy: pathogenesis and current debate. Neoplasia. 2002 Nov-Dec;4(6):465-73. (PMID: 12407439)