CASE REPORT
JOP. J Pancreas (Online) 2012 Mar 10; 13(2):231-234.
Catastrophic Arteriovenous Thromboembolism as Initial Manifestation of Pancreatic Cancer
Shounak Majumder1, Tatiana Thom1, Constantin A Dasanu2
1Department of Internal Medicine, University of Connecticut. Farmington, CT, USA. 2Department of Hematology-Oncology, Saint Francis Medical Center. Hartford, CT, USA
ABSTRACT
Context The association between cancer and thrombosis is well-known. Among gastrointestinal malignancies, pancreatic cancer has perhaps the strongest association with thromboembolic events. However, simultaneous arterial and venous thromboses affecting multiple organs at the time of initial diagnosis is rare, with an incidence of less than 1%. Case report We report herein a case of a 61-year-old woman who presented with digital ischemia, a non-ST elevation myocardial infarction and an ischemic stroke, along with deep vein thromboses and pulmonary embolism. She was subsequently diagnosed with metastatic pancreatic cancer. Discussion This report highlights the intriguing association between pancreatic cancer biology, tumor metastases, and triggering of venous and arterial thromboembolic events. Current evidence points towards early thromboembolic phenomena as a harbinger of poor outcome in pancreatic cancer, and studies attempting to define the role of prophylactic anticoagulation in these patients are ongoing.
INTRODUCTION
Pancreatic cancer carries the highest risk of thromboembolic events amongst all gastrointestinal cancers [1]. As with other cancers, pulmonary embolism and deep vein thrombosis are the two most common forms of thromboembolic disease associated with this malignancy. This report describes a case of a metastatic pancreatic cancer presenting with widespread catastrophic vascular thrombotic lesions accompanied by digital ischemia, myocardial infarction and an embolic stroke, which are extremely uncommon presenting manifestations of pancreatic cancer. We also review the pathophysiology and prognostic implications of such a rare presentation of a not uncommon malignancy.
CASE REPORT
A 61-year-old female with history of hypertension, hyperthyroidism and depression presented with a one-day history of bilateral painless bluish discoloration of multiple toes. She was not on anticoagulants or any drugs known to induce vasospasm. She denied cocaine, tobacco or alcohol use. Family history was significant for colon cancer in her father. At admission, she was afebrile, with a blood pressure of 118/76 mmHg, a regular heart rate of 112 beats per minute and a respiratory rate of 22 per minute. Abdominal examination revealed hepatomegaly. She had bilateral bluish-black discoloration of multiple toes suggestive of a dry gangrene (Figure 1). The rest of her physical examination was unremarkable. New T-wave inversions in the inferolateral leads were revealed at electrocardiography. Initial blood tests demonstrated moderately elevated cardiac and liver enzymes (Table 1). Doppler study of lower extremities revealed bilateral thromboses of peroneal veins without any evidence of arterial occlusive disease. A transthoracic echocardiogram was normal. CT angiogram of chest and abdomen showed acute bilateral subsegmental pulmonary emboli and multiple hypodense hepatic lesions, along with a 3 cm mass arising in the pancreatic tail (Figure 2). This prompted therapeutic anticoagulation with unfractionated heparin. Over the course of the next 48 hours, she developed dysarthria, limb weakness and altered sensorium. A magnetic resonance angiogram of the head showed diffuse embolic infarctions with a large area of hemorrhagic transformation in the left temporal lobe (Figure 3). Extensive laboratory testing for an underlying hypercoagulable state was negative and serum CA 19-9 level was markedly elevated (Table 1). Fine needle aspiration biopsy from the liver lesions was consistent with metastatic adenocarcinoma (Figure 4). The diagnosis of metastatic pancreatic cancer was made based on the presence of a pancreatic mass, positive tumor markers and histopathology findings. Subsequently, the patient’s family opted for a transfer of care to a specialized oncology center, where she eventually expired several weeks later.

|
Figure 1. Bilateral lower extremity digital gangrene in a 61-year-old female with metastatic pancreatic cancer. |
|
Table 1. A summary of laboratory test results. |
||
|
Test description |
Result |
Reference range |
|
Creatinine kinase (U/L) |
201 |
24-173 |
|
Creatinine kinase-MB (ng/mL) |
9.2 |
0-6.4 |
|
Troponin-T (ng/mL) |
0.45 |
0-0.03 |
|
Aspartate transaminase (U/L) |
116 |
10-50 |
|
Alanine transaminase (U/L) |
416 |
10-50 |
|
Alkaline phosphatase (U/L) |
529 |
32-122 |
|
Lactate dehydrogenase (U/L) |
630 |
120-260 |
|
Platelet count (x109/L) |
148 |
150-400 |
|
Prothrombin time (seconds) |
12.5 |
9.7-12.3 |
|
Partial thromboplastin time(seconds) |
23.8 |
21.0-30.0 |
|
Fibrinogen (mg/dL) |
300 |
172-353 |
|
Carbonic anhydrase 19-9 (CA 19-9; U/mL) |
>700,000 |
0-37 |
|
C-reactive protein (CRP; mg/dL) |
9.37 |
0-0.49 |
|
Factor V Leiden mutation |
Negative |
Negative |
|
Prothrombin G20210A mutation |
Negative |
Negative |
|
Homocysteine (µmol/L) |
8.6 |
4.9-14.6 |
|
Anticardiolipin IgM antibody (MPL) |
3 |
0-11 |
|
Anticardiolipin IgG antibody (GPL) |
4 |
0-23 |
|
Anticardiolipin IgA antibody (APL) |
4 |
0-22 |
|
Beta-2 glycoprotein IgM antibody (U/mL) |
5 |
0-10 |
|
Beta-2 glycoprotein IgG antibody (U/mL) |
3 |
0-10 |
|
Beta-2 glycoprotein IgA antibody (U/mL) |
5 |
0-10 |
|
Lupus anticoagulant |
Negative |
Negative |
|
Dilute Viper Venom test |
Negative |
Negative |
|
Factor VIII assay (%) |
85 |
55-200 |
|
Protein C activity (%) |
128 |
70-150 |
|
Protein S activity (%) |
130 |
65-160 |
|
Anthithrombin III (%) |
112 |
80-130 |
|
1 APL unit = 1 microgram of IgA antibody 1 GPL unit = 1 microgram of IgG antibody 1 MPL unit = 1 microgram of IgM antibody |
||

|
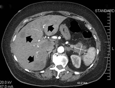
Figure 2. Axial contrast enhanced abdominal computed tomography scan demonstrating multiple hypodense hepatic lesions (black arrows) and a 3 cm mass in the pancreatic tail (white cross). |

|
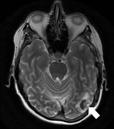
Figure 3. T-2 weighted magnetic resonance imaging demonstrating a 1.5 cm area of intraparenchymal hemorrhage in the posterior left temporal lobe (white arrow). |


|
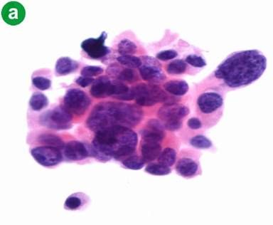
Figure 4. Hepatic fine-needle aspiration cytology demonstrating: a. malignant cells with marked anisonucleosis, nuclear membrane irregularity and cellular discohesion characteristic of a high grade adenocarcinoma; b. malignant ductal cells with expression of CA 19-9, suggestive of pancreatic primary adenocarcinoma. |
DISCUSSION
The association of pancreatic cancer with thromboembolic disease is well known. Reported rates of clinically evident venous thromboembolism vary from 5% to 26% [2]. A discharge database analysis of more than sixty thousand cancer patients found pancreatic cancer to be associated with the highest risk of venous thromboembolism [3]. This high risk persists after exclusion of catheter-related thromboses, direct tumor compression effects and vascular invasion as precipitating factors. However, arterial thromboembolic events are distinctly uncommon in pancreatic cancer patients, with an estimated incidence of only 2-5% [2, 4]. In a clinical outcomes analysis of pancreatic cancer patients with thromboembolic events, myocardial infarction and cerebrovascular events were found to be the most common arterial thromboembolic events [2]. Other clinical presentations of arterial thromboembolism that have previously been reported include isolated cases of mesenteric thrombosis, unilateral ileofemoral thrombosis, bilateral upper extremity ischemia and marantic endocarditis [1]. Simultaneous arterial and venous thromboembolism, as in our patient, is rare: a single-center 10-year retrospective analysis of 1,915 patients with pancreatic cancer revealed an incidence of 0.1% only [2]. To the best of our knowledge, this is the first reported case of concomitant multiorgan arterial and venous thromboses as the initial manifestation of pancreatic cancer.
Reviewed literature suggests that pathogenesis of this prothrombotic state is very complex. Factors that have been implicated in pancreatic cancer include direct tumor vascular invasion, fragmentation and embolization of intracardiac or intravascular metastases, activation of the coagulation cascade by tissue factor, as well as mucin-mediated thrombogenesis. Exposure of tissue factor-rich tumor cell surfaces to the bloodstream or the release of tissue factor microvesicles by the tumor itself has been described as a potent stimulus for activating the extrinsic coagulation cascade in patients with pancreatic cancer. In vitro studies using human pancreatic cancer cell lines have demonstrated increased tissue factor synthesis and decreased expression of tissue factor pathway inhibitor and tissue plasminogen activator [5]. Moreover, elevated circulating tissue factor levels in patients with pancreatic cancer have been shown to correlate with a greater risk of thromboembolic events and worse overall survival [4]. Interestingly, expression of tissue factor by pancreatic cancer cells upregulates vascular endothelial growth factor (VEGF) and downregulates the antiangiogenic molecule thrombospondin, thereby creating a proangiogenic microenvironment, providing a link between thromboembolic events, tumor growth and metastasis [1]. Mucin secreted by some pancreatic adenocarcinomas interacts with P- and L-selectins, and independently induces the formation of platelet-rich microthrombi without thrombin production [6]. There is some evidence that a cysteine proteinase secreted by carcinoma cells can directly activate factor X to generate thrombin, and tumor-derived inflammatory cytokines may activate endothelial and platelet adhesion molecules. Nonetheless, their role in pancreatic cancer is yet to be defined [7].
In a recent retrospective survival analysis of 1,915 patients with invasive exocrine pancreatic cancer, thromboembolic events were found to significantly increase the risk of death (hazard ratio (HR): 2.6; 95% confidence interval (CI): 2.3-2.8; P<0.01) [2]. Early thromboembolic events, defined as those manifesting within 1.5 months of cancer diagnosis, conferred a significantly worse prognosis (HR: 2.1; 95% CI: 1.7-2.5; P<0.01) [2]. Our patient’s dismal outcome only reflects this fact. Currently, clinical trials are in progress to evaluate the role of prophylactic anticoagulation in patients with pancreatic cancer. A recently published randomized prospective trial has shown significant reduction in the incidence of venous thromboembolism (23% vs. 3.4%; relative risk RR: 0.14; 95% CI: 0.035-0.612; P<0.01) and an 85% risk reduction with the use of prophylactic dalteparin in pancreatic cancer patients receiving gemcitabine [8]. Results of ongoing studies will reveal whether thromboprophylaxis could potentially improve survival in pancreatic cancer.
In conclusion, thromboembolic events are common in pancreatic cancer patients, but arterial thromboembolism is rare when compared to the incidence of venous thrombotic events. Thromboembolic events recorded at the time of pancreatic cancer diagnosis or early in the course of illness portend a poor prognosis. Anticoagulation as primary prophylaxis may improve the outcomes in patients with pancreatic cancer, given the pathophysiological association of thrombosis and angiogenesis. Although current evidence does not support screening patients with thromboembolic disease for underlying malignancy, simultaneous arterial and venous thrombosis in the absence of a known hypercoagulable state should always alert the clinician to the possibility of an underlying pancreatic neoplasm.
Received January 12th, 2011 - Accepted January 19th, 2011
Key words Adenocarcinoma; Gangrene; Ischemia; Pancreatic Neoplasms; Thromboembolism
Conflict of interest The authors do not have any conflict of interest or financial disclosures
Correspondence
Shounak
Majumder
Department of Internal Medicine
University of Connecticut
263 Farmington Avenue
Farmington, CT 06030
USA
Phone: +1-860.560.3862
Fax: +1-860.679.2562
E-mail: smajumder@resident.uchc.edu
References
1. Khorana AA, Fine RL. Pancreatic cancer and thromboembolic disease. Lancet Oncol 2004;5:655-63. (More details: [1]).
2. Epstein AS, Soff GA, Capanu M, et al. Analysis of incidence and clinical outcomes in patients with thromboembolic events and invasive exocrine pancreatic cancer. Cancer 2011 (More details: [2]).
3. Khorana AA, Francis CW, Culakova E, et al. Thromboembolism in hospitalized neutropenic cancer patients. J Clin Oncol 2006;24:484-90 (More details: [3]).
4. Shah MM, Saif MW. Pancreatic cancer and thrombosis. Highlights from the "2010 ASCO Annual Meeting". Chicago, IL, USA. June 4-8, 2010. JOP 2010;11:331-3 (More details: [4]).
5. Kakkar AK, Chinswangwatanakul V, Tebbutt S, et al. A characterization of the coagulant and fibrinolytic profile of human pancreatic carcinoma cells. Haemostasis 1998;2:1-6 (More details: [5]).
6. Wahrenbrock M, Borsig L, Le D, et al. Selectin-mucin interactions as a probable molecular explanation for the association of Trousseau syndrome with mucinous adenocarcinomas. J Clin Invest 2003;112:853-62 (More details: [6]).
7. Varki A. Trousseau's syndrome: multiple definitions and multiple mechanisms. Blood 2007;110(6):1723-9 (More details: [7]).
8. Maraveyas A, Waters J, Roy R, et al. Gemcitabine versus gemcitabine plus dalteparin thromboprophylaxis in pancreatic cancer. Eur J Cancer 2011 (More details: [8]).