CASE REPORT
JOP. J Pancreas (Online) 2012 May 10; 13(3):296-300.
Metastatic Pulmonary Adenocarcinoma 13 Years After Curative Resection for Pancreatic Cancer: Report of a Case and Review of Japanese Literature
Yuhei Kitasato1, Masamichi Nakayama1, Gen Akasu1, Munehiro Yoshitomi1, Kazuhiro Mikagi1, Yuichiro Maruyama1, Ryuichi Kawahara1, Hiroto Ishikawa1, Toru Hisaka1, Masafumi Yasunaga1, Hiroyuki Horiuchi1, Naoyuki Saito1, Shinzo Takamori1, Yoshinobu Okabe2, Masayoshi Kage3, Hisafumi Kinoshita1, Hiroyuki Tanaka1
Departments of 1Surgery and 2Internal Medicine (Division of Gastroenterology), Kurume University School of Medicine; 3Department of Pathology, Kurume University Hospital. Kurume, Japan
ABSTRACT
Context For the majority of patients, ductal adenocarcinoma of the pancreas remains a lethal disease. Currently, surgical extirpation for localized disease offers the only chance for long-term survival. Case report We report a patient who underwent successful resection of isolated lung metastasis occurring 13 years after pancreatic cancer resection. A 59-year-old woman underwent distal pancreatectomy for pancreatic cancer 13 years previously, followed by adjuvant chemotherapy, and was followed-up at the outpatient clinic of a local hospital. From around June 2010, she noticed bloody sputum, so she visited a local hospital. Since her chest X-ray and CT revealed a 1.5 cm mass shadow in the segment 10 of her right lung and she was referred to the Respiratory Disease Center of our hospital. As a result of through examinations, she was strongly suspected of having lung metastasis of pancreatic cancer, and underwent partial pneumonectomy. Postoperative histopathological examination of the resected specimen was consistent with lung metastasis of pancreatic cancer. She is still alive and currently receives third line of chemotherapy. Conclusion Patients who have achieved long-term survival after pancreatic cancer resection and can tolerate surgery may benefit from resection of a lung metastasis of pancreatic cancer in terms of survival, if it controls the metastasis.
INTRODUCTION
The prognosis of patients with locally advanced pancreatic cancer is poor. Currently, few such patients survive for long periods, even if treated by pancreatectomy combined with blood vessel resection, extended lymph node dissection, and adjuvant therapy such as chemotherapy and radiation therapy [1, 2]. Herein, we report a patient who underwent successful resection of a solitary lung mass noted 13 years after distal pancreatectomy for pancreatic body cancer and diagnosed histopathologically as a lung metastasis of the pancreatic cancer.
CASE REPORT
The patient was a 59-year-old woman with a chief complaint of bloody sputum. Her medical and family histories were unremarkable. Thirteen years previously, she had undergone distal pancreatectomy with portal vein resection and intraoperative irradiation with 25 Gy for pancreatic body cancer. At the time of pancreatectomy, the cancer was noted to have invaded the portal-splenic vein junction. Therefore, portal vein resection and reconstruction were additionally performed. To ensure an adequate surgical margin, subtotal distal pancreatectomy was performed. The operative time was 10 hours. The amount of intraoperative blood loss was 980 mL. Postoperative histopathological examination revealed invasive well-differentiated ductal adenocarcinoma of the pancreas (G1), and cancer cells invasion to the lumen of splenic vein. These findings resulted in a diagnosis as pT3, pN1, pM0, pStage IIB pancreatic cancer, and the radicality of the surgery was R0 (According to the TNM classification of the UICC). Prophylactic adjuvant hepatic arterial infusion chemotherapy with 10 mg of cisplatin (CDDP) and 250 mg of 5-fluorouracil (5-FU) along with external irradiation with a total dose of 34 Gy (in 2 Gy fractions 17 times) was performed. During an outpatient follow-up visit, 4 years after surgery, abdominal CT showed slightly enlarged No. 8a lymph nodes, and laboratory tests showed an elevated CA 19-9 level (Figure 1).

|
Figure 1. Transition of tumor marker and therapeutic process. 5-FU: 5-fluorouracil; CA 19-9: carbohydrate antigen 19-9; CDDP: cisplatin; GEM: gemcitabine; HAI: hepatic arterial infusion; IORT: intraoperative radiation therapy |
These findings led to a diagnosis of intra-abdominal lymph node recurrence of pancreatic cancer. The patient received three courses of 1,000 mg of gemcitabine for 3 weeks with a drug holiday of 1 week (on days 1, 8, and 15). However, the medication was discontinued because of the development of grade 3 gastrointestinal symptoms. Her tumor marker levels improved temporarily, but subsequently fluctuated (Figure 1). Since the lymphadenopathy became less marked on imaging in abdominal CT she was followed-up at a local hospital. From around June 2010, she noticed bloody sputum, but left it untreated without seeking medical attention. However, since her symptoms did not improve, she visited the local hospital. Chest CT revealed a nodular shadow in the right lower lung field. Thus, she was referred to the Respiratory Disease Center of our hospital for further evaluation and treatment.
On admission, she was 162 cm tall and weighed 56.5 kg. Her breath sounds were clear, and no heart murmur was heard. A surgical scar was found from the midline of the abdomen to below the left costal arch. The abdomen was flat and soft.
Blood biochemical findings on admission were as follows: the tumor marker Pro-GRP level was elevated to 318.5 pg/mL (reference range: 0-81.0 pg/mL), and the CYFRA and CEA levels were within normal limits, at 1.1 ng/mL (reference range: 0-3.5 ng/mL) and 1.3 ng/mL (reference range: 0-5.0 ng/mL), respectively. Routine blood counts and other biochemical tests were within normal limits.
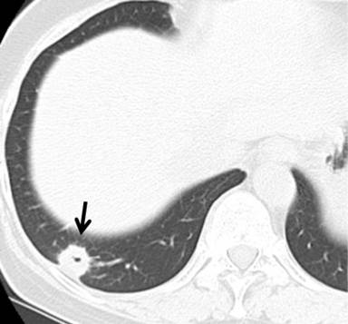
Chest CT before lung metastasis resection revealed a 1.5 cm, nodular shadow with spicular in the right lung segment 10 (Figure 2).

|
Figure 2. Chest CT before lung resection revealed a 1.5 cm, nodular opacity with spicula in the right lung segment 10 (arrow head). |
FDG-PET before lung metastasis resection showed abnormal standardized uptake value (SUVmax 3.2) at the site of the mass in the right lower lung field (Figure 3).

|
Figure 3. FDG-PET before lung resection showed abnormal uptake (SUVmax 3.2) at the site of the mass in the right lower lung field (arrow head). |
Although the possibility of primary lung cancer could not be excluded, lung metastasis of pancreatic cancer was the most strongly suspected from the clinical course, and partial pneumonectomy was performed through a small thoracotomy in the Department of Respiratory Surgery of our hospital.
To remove the metastatic pancreatic cancer in the lung, an anterior axillary thoracotomy (with a 10 cm skin incision) through the right fourth intercostal space was performed for partial resection of the right lung segment 10 in the left lateral decubitus position. Since the lesion was diagnosed as lung metastasis of pancreatic cancer on intraoperative frozen-section diagnosis, the surgery was ended with partial resection alone. The operative time was 2 hours, and the amount of intraoperative blood loss was 10 mL. Her postoperative course was uneventful.
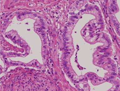
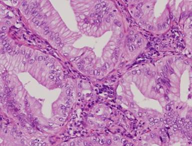
Histopathological examination of the resected lung mass showed that the tumor was composed of large, clear columnar epithelial cells arranged in atypical glandular structures. These morphological features were similar to those of the previously resected pancreatic cancer, and lung metastasis of pancreatic cancer was strongly suspected (Figures 4 and 5).

|
Figure 4. Primary pancreatic cancer specimen (x200). The tumor consists of atypical glandular structures. |

|
Figure 5. Metastatic lung cancer specimen (x200). The tumor was composed of large, clear columnar epithelial cells arranged in atypical glandular structures. These morphological features are similar to those of previously resected pancreatic cancer. So, we diagnosed that pulmonary tumor was metastatic. |
Immunohistochemically, the tumor was positive for cytokeratin (CK) 7, and negative for CK20 and thyroid transcription factor-1 (TTF-1), consistent with a diagnosis of lung metastasis of pancreatic cancer.
The patient is still alive and receives chemotherapy using 800 mg of gemcitabine for 1 week with a drug holiday of 1 week (on day 1) and 80 mg of S-1 (tegafur, gimeracil, oteracil potassium) for 1 week with a drug holiday of 1 week at the out patient clinic of a local hospital.
DISCUSSION
Our search of the literature, including conference proceedings, revealed 20 Japanese reported resected cases (including ours) of lung metastasis of pancreatic carcinoma (Table 1). The male:female ratio was 8:12, and the mean age was 66.3 years (range: 42-79 years; SD: 10.98 years). Of the 20 patients, 1, 3, 4, 7, and 2 had stage I, II, III, IVa and IVb disease (according to Japanes Pancreas Society (JPS) staging), respectively, and 3 had unknown stage disease. The mean time to pulmonary resection was 49.2 months (range: 11-163 months), and the mean number of metastases was 1.35 (range: 1-4). Our case is the most long case after pancreatectomy. Regarding the indications for surgical resection of metastatic tumors in the lung, Thomford et al. reported the following criteria: 1) the primary lesion is controlled; 2) no extrapulmonary metastasis is present; 3) pulmonary metastasis is limited to one lung; and 4) the patient can tolerate surgery [3, 4]. Most of the reported patients, including ours, met these criteria, but some underwent a two-stage pulmonary resection for bilateral pulmonary metastases of pancreatic carcinoma [5]. Thus, the treatment methods vary depending on individual medical centers. There was no perioperative death in the cases reported. If the patient can tolerate surgery, pulmonary resection of lung metastasis from pancreatic carcinoma can be performed safely. There is one report on the follow-up study of solitary pulmonary metastasis resection and it showed that median cumulative survival was significantly improved in the group of pulmonary resection [6]. A relatively long interval between initial resection of the pancreatic primary and metastasis of the lung, isolated and stable disease over time were requisites to be considered for pulmonary resection.
|
Table 1. Reported cases of Japanese literature. |

|
5-FU: 5-fluorouracil; CDDP: cisplatin; CHA: common hepatic duct; HAI: hepatic arterial infusion; LV: leucovorin; PD: pancreaticoduodenectomy; PPPD: pylorus preserving pancreaticoduodenectomy; PV: portal vein; PVI: portal vein infusion; SMA: superior mesenteric artery; TP: total pancreatectomy |
The most common sites of failure are intra-abdominal. These include the local-regional area, the liver and peritoneal cavity [7]. The incidence of pulmonary metastasis is relatively low, at 6.4% previously reported [8, 9]. Aiura et al. noted pulmonary metastasis of pancreatic carcinoma in all autopsied patients who achieved long-term survival, and indicated the importance of the follow-up of patients with long-term survival with pulmonary metastasis in mind [10]. Many of the patients reported in Japan survived for long periods, and the mean time to lung metastasis was 49.2 months (Table 1).
Although carcinoma of the portal-drained pancreas most commonly metastasizes to the liver, we speculate that it invaded the retropancreatic tissue and metastasized to the regional lymph nodes, thereby entering the systemic circulation [11].
Of the 20 patients reported in Japan, 6 were preoperatively diagnosed as having primary lung cancer, and some were diagnosed with lung metastasis at the second pulmonary resection [12], suggesting the difficulty of the differential diagnosis between primary lung cancer and lung metastasis of pancreatic cancer. When primary lung cancer could not be excluded, lobectomy and lymph node dissection were performed [13]. A study reported that intraoperative frozen section yielded a diagnosis of lung metastasis of pancreatic cancer, thus avoiding lobectomy and lymph node dissection [14].
In addition, studies reported the usefulness of postoperative immunohistochemical staining [8, 11, 12, 13, 14], and concluded that immunohistochemical staining for CK7, CK20, and TTF-1 aided in the diagnosis.
It has been reported that 72% of primary lung adenocarcinomas and 26% of pancreatic cancers are positive for CK7 and negative for CK20 [13], and 96.2% of primary lung adenocarcinomas are positive for TTF-1 [15]. The tumor in the present patient was positive for CK7 and negative for CK20 and TTF-1. In addition, histopathological examination of the resected specimen showed features similar to those in the previous surgical specimen. These findings led to a diagnosis of lung metastasis of pancreatic cancer.
Since the mean survival time after pulmonary resection is 21.8 months, those reported cases have followed a relatively favorable course (Table 1). However, their long-term prognosis is unknown. Further studies involving more patients are needed.
In conclusion, we experienced a patient who survived for a long period after distal pancreatectomy for pancreatic cancer and underwent successful resection of its lung metastasis.
Received February 17th, 2012 - Accepted February 29th, 2012
Key word Lung Neoplasms; Neoplasm Metastasis; Pancreatic Neoplasms; Survival
Abbreviations 5-FU: 5-fluorouracil; CA 19-9: carbohydrate antigen 19-9; CDDP: cisplatin; CK: cytokeratin; CT: computed tomography; ERCP: endoscopic retrograde cholangiopancreatography; SMA: superior mesenteric artery; FDG-PET: 18fluorodeoxyglucose positron emission tomography; JPS: Japan Pancreas Society; SUV: standardized uptake value; TTF-1: thyroid transcription factor-1
Conflict of interest Yuhei Kitasato and other co-authors have no conflict of interest
Correspondance
Yuhei Kitasato
Department of Surgery
Kurume University School of Medicine
67 Asahi-machi
Kurume, Fukuoka 830-0011
Japan
Phone: +81-942.31.7567
Fax: +81-942.35.8967
E-mail: kitasato_yuuhei@kurume-u.ac.jp
References
1. Mayo S C, Nathan H, Cameron J L, Olino K, Edil B H, Herman J M, et al. Conditional survival in patients with pancreatic ductal adenocarcinoma resected with curative intent. Cancer 2011; 20: doi: 10.1002/cncr.26553. [PMID: 21935914].
2. Conlon K C, Klimstra D S, Brennan M F. Long-term survival after curative resection for pancreatic ductal adenocarcinoma. Clinicopathologic analysis of 5-year survivors. Annals of Surgery 1996; 223: 273-9. [PMID:8604907].
3. Barthes F L P, E, Fabre-Guillevin C F, Cazes A, Dujon A, Riquet M. Lung metastasis surgery, yesterday and now. Revue des maladies respiratoires 2011; 28: 1146-54. [PMID:22123141].
4. Thomford NR,Woolner LB,Clagett OT. The surgical treatment of metastatic tumors in the lung. The Journal of Thoracic and Cardiovascular Surgery 1965; 49: 357-63. [PMID:14265951].
5. Ito H, Kimura F, Shimizu H, Togawa A, Miyazaki M, Fujisawa T. A radically resected case of lung metastases from advanced pancreatic cancer, occurred nine years following a total pancreatectomy. Nihon Rinsyo Geka Gakkaizasshi (Journal of Japan Surgical Association) 2003; 64: 1366-69.
6. Arnaoutakis G J, Rangachari D, Laheru D A, Iacobuzio-Donahue C A, Hruban R H, Herman J M, et al. Pulmonary resection for isolated pancreatic adenocarcinoma metastasis: an analysis of outcomes and survival. J Gastrointest Surg 2011; 15: 1611-7. [PMID:21725701].
7. Barugola G, Falconi M, Bettini R, Boninsegna L, Casarotto A, Salvia R, Bassi C, Pederzoli P. The determinant factors of recurrence following resection for ductal pancreatic cancer. JOP. J Pancreas (Online) 2007; 8: 132-140.
8. Emoto S, Kamachi H, Tahara M, Kamiyama T, Matsushita M, Todo S. A case of lung metastasis occurring 6 years after pancreaticoduodenectomy for pancreas cancer. Nihon Rinsyo Geka Gakkaizasshi(Journal of Japan Surgical Association) 2010; 71: 1034-38.
9. Sperti C, Pasquali C, Piccoli A, Pedrazzoli S. Recurrence after resection for ductal adenocarcinoma of the pancreas. World Journal of Surgery 1997; 21: 195-200. [PMID:8995078].
10. Aiura K, Takahashi S, Ueda M, Kojima M, Handa Kan, Hibi T, et al. Analysis of autopsy findings in long-term survivors after surgical resection for invasive ductal carcinoma of the pancreas. Suizo (Journal of Japan Pancreas Society) 2007; 22: 130-6.
11. Takano K, Kurosaki I, Minagawa M, Kitami C, Date K, Hatakeyama K. Clinicopathological features of delayed isolated lung metastases after radical pancreatectomy for pancreatic cancer. Nihon Syokakigeka Gakkaizasshi (Jpn J Gastroenterol Surg) 2010; 43: 1270-75.
12. Yasuda K, Kataoka M, Niguma T, Mimura T, Ohara T. Resection of lung metastases from pancreatic cancer -Report of two cases-. Nihon Rinsyo Geka Gakkaizasshi (Journal of Japan Surgical Association) 2009; 70: 691-9.
13. Shimada J, Itoh K, Nishimura M, Yanada M, Terauchi K, Shimomura M, et al. Successful resection for solitary lung metastasis from pancreatic carcinoma: A case report. Nihon Kokyukigeka Gakkaizasshi (Jpn Assoc Chest Surg) 2005; 19: 581-84.
14. Enomoto Y, Saitoh Y, Tanimura S, Maeda S, Katayama H, Koizumi K. Intraoperative cytodiagnosis useful in a resectable case of solitary lung metastasis of pancreatic cancer (in Japanese with English abstract). Nihon Kokyukigeka Gakkaizasshi (Jpn Assoc Chest Surg) 2009; 23: 75-80.
15. Nakamura N, Miyagi E, Murata S, Kawaoi A, Katoh R. Expression of tyroid transcription factor-1 in normal and neoplastic lung tissues. Modern Pathology 2002; 15: 1058-67. [PMID:12379752].