CASE REPORT
JOP. J Pancreas (Online) 2012 May 10; 13(3):312-313.
A Novel Endoscopic Treatment of Hemosuccus Pancreaticus: A Stent Tree Tamponade
Ellen Gutkin, Sang H Kim
New York Hospital Queens, Weill Cornell Medical College. Flushing, NY, USA
ABSTRACT
Context Hemosuccus pancreaticus is a rare cause of intermittent upper gastrointestinal bleeding, commonly caused by aneurysmal rupture. Prompt diagnosis and treatment is required. The standard treatment involves embolization via interventional radiology or a surgical approach. Case report We report a novel endoscopic approach to hemosuccus pancreaticus with a successful tamponade via pancreatic biliary stents and resolution clips. Conclusion This is the only report of endoscopy as a therapeutic modality in a case of hemosuccus pancreaticus.
INTRODUCTION
Hemorrhage from the papilla of Vater via the pancreatic duct, known as hemosuccus pancreaticus, is a rare cause of intermittent upper gastrointestinal bleeding [1]. This condition is commonly caused by the rupture of aneurysm of the splenic artery associated with acute or chronic pancreatitis [1]. Pseudoaneurysm of the hepatic, gastroduodenal or pancreaticoduodenal artery has also been reported [2, 3, 4]. Other uncommon causes are pancreatolithiasis and pseudocyst of the pancreas [5, 6]. The management of hemosuccus pancreaticus involves diagnosing the bleeding source via angiography followed by embolization via interventional radiology and/or surgical intervention. Delay in recognition of hemosuccus pancreaticus can result in a significant morbidity for the patient. We report a novel endoscopic approach to hemosuccus pancreaticus with a successful tamponade via pancreatic biliary stents and resolution clips.
CASE REPORT
A 56-year-old female presented with severe abdominal pain and elevated liver enzymes. Her medical history included coronary artery disease with prior stents, hypertension, diabetes, and end stage renal disease on hemodialysis. A CT Scan revealed pancreatitis and a dilated common bile duct (1.4 cm). ERCP identified choledocholithiasis, which was treated successfully with sphincterotomy, balloon sweep of the bile duct, and stone extraction. Pancreatic duct dilation was also noted and two plastic single pigtail pancreatic duct stents (5Fr x 7 mm, 5Fr x 3 mm) were placed to prevent worsening of pancreatitis.
Two days later the patient developed chest pain and was treated with loading doses of anticoagulation. Several hours later she passed multiple bloody bowel movements and the hemoglobin dropped (12.5 to 5.3 g/dL; reference range: 13.5-17.5 g/dL). Emergent endoscopy revealed an actively bleeding vessel at the sphincterotomy site. The site was treated with injection of epinephrine and placement of four resolution clips. The patient recovered uneventfully and was discharged home, on anticoagulation for heart disease.
Two weeks later she returned with multiple bloody stools and hemoglobin of 5.9 g/dL. Endoscopy revealed active bleeding from the pancreatic duct, consistent with hemosuccus pancreaticus, and interventional radiology was contacted for a pancreatic angiogram. Angioembolization is the mainstay of therapy, followed by surgery as salvage therapy. In our patient, multiple selective angiograms were performed without any evidence of extravasation or pseudoaneurysm. The patient continued having active bleeding and required multiple transfusions.
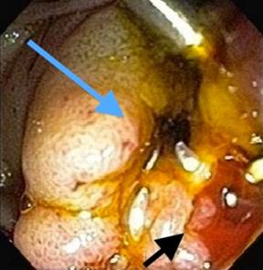
The patient was a high surgical risk subject due to recent angina/cardiac ischemia and an endoscopic attempt at hemostasis was pursued. Repeat ERCP revealed yellow bile at the common bile duct/sphincterotomy site and active red blood flowing from the pancreatic duct orifice (Figure 1). Pancreatogram revealed a dilated duct (6 mm) at the head of the pancreas, without any contrast extravasation or evidence of aneurysmal dilatation. The ampulla/proximal portion of the pancreatic duct was injected with epinephrine. Four plastic pigtail stents were deployed into the pancreatic duct (5Fr x 9 mm; 5Fr x 5 mm; 5Fr x 3 mm (n=2)) in an effort to tamponade the source of bleeding. Two resolution clips were also deployed at the pancreatic duct orifice, adjacent to the stents (Figure 2). No evidence of bleeding was seen at the completion of the procedure.

|
Figure 1. Common bile duct orifice at the ampulla showing yellow bile (blue arrow) and pancreatic duct orifice showing red blood (black arrow). |

|
Figure 2. Four pancreatic duct stents and two resolution clips creating tamponade at the pancreatic duct orifice at the ampulla. |
Two months later the patient returned for an elective ERCP with uneventful removal of the pancreatic duct stents. Pancreatoscopy (SpyGlass® Direct Visualization System, Boston Scientific, Natick, MA, USA) revealed friable mucosa, from the head of the pancreas to the genu, with granulation tissue and inflammation, but no neoplasia, seen on biopsy.
DISCUSSION
Hemosuccus pancreaticus is a rare cause of upper gastrointestinal bleeding but needs to be recognized promptly. It is usually caused by pseudoaneurysm and treated with embolization. In our patient no aneurysm was identified despite multiple repeat imaging. We suspect that the cause of hemosuccus pancreaticus in our patient was pancreatitis combined with increased bleeding risk stemming from the patient’s chronic renal disease and the addition of anticoagulation. The patient was not an appropriate surgical candidate due to multiple comorbidities and endoscopic therapy was our only choice for hemostasis. No other reports of endoscopic hemostasis are available in the literature. Sayilir et al. reported a case of hemosuccus pancreaticus in a chronic pancreatitis patient where embolization was performed for treatment of a pseudoaneurysm and endoscopy/ ERCP with pancreatic duct stenting was performed for treatment of the pancreatic pseudocyst [7]. This is the only report of endoscopy as a therapeutic modality in a case of hemosuccus pancreaticus. Our case is the first reported endoscopic treatment of hemosuccus pancreaticus utilizing endoscopic stents and resolution clips for tamponade.
Received March 7th, 2012 - Accepted March 23rd, 2012
Key words Cholangiopancreatography, Endoscopic Retrograde; Hemorrhage; Pancreas; Pancreatic Ducts; Stents; Surgical Instruments
Disclosures Sang H Kim is a consultant for Boston Scientific (Natick, MA, USA) and Gilead Sciences (Foster City, CA, USA)
Conflict of interest The authors report no conflict of interest
Correspondence
Ellen
Gutkin
Division of Gastroenterology
New York Hospital Queens
Weill Cornell Medical College
56-45 Main Street
Flushing, NY 11355
USA
Phone: +1-718.670.2559
Fax: +1-718.670.2456
E-mail:
ellen.gutkin@gmail.com
References
1. Toyoki Y, Hakamada K, Narumi S, Nara M, Ishido K, Sasaki M. Hemosuccus pancreaticus: Problems and pitfalls in diagnosis and treatment. World J Gastro 2008; 14 (17): 2776-2779.
2. Stanley JC, Frey CF, Miller TA, Lindenauer SM, Child CG 3rd. Major arterial hemorrhage: a complication of pancreatic pseudocysts and chronic pancreatitis. Arch Surg 1976; 111: 435-440.
3. Rao RC, Kumar A, Berry M. Pseudoaneurysm of anomalous right hepatic artery as a cause for hemosuccus pancreatitis. Gastrointest Radiol 1987; 12: 313-314.
4. Fernandez-Cruz L, Pera M, Vilella A, Llovera JM, Navasa M, Teres J. Hemosuccus pancreaticus from a pseudoaneurysm of the hepatic artery proper in a patient with a pancreatic pseudocyst. Hepatogastroenterology 1992; 39: 149-151.
5. Risti B, Marincek B, Jost R, Decurtins M, Ammann R. Hemosuccus pancreaticus as a source of obscure upper gastrointestinal bleeding: three cases and literature review. Am J Gastroenterol 1995; 90: 1878-1880.
6. Jakobs R, Riemann JF. Hemosuccus pancreaticus due to a pressure ulcer in pancreatolithiasis. Dtsch Med Wochenschr 1992; 117: 1956-1961.
7. Sayilir A, Onal IK, Beyazit Y, Surmelioglu A, Salper OR, Odemis B, Parlak E, Sasmaz N. A rare cause of upper gastrointestinal bleeding: hemosuccus pancreaticus: angiographic and endoscopic combined treatment. Surg Laparosc Endosc Percutan Tech 2011; 21 (5): e286-7.