CASE REPORT
JOP. J Pancreas (Online) 2012 May 10; 13(3):308-311.
Retroperitoneal Inflammatory Pseudotumor Presenting as a Pancreatic Mass
Ignasi Poves1, Sandra Alonso1, Mireya Jimeno2, Xavier Bessa3, Fernando Burdío1, Luís Grande1
Departments of 1Surgery, 2Pathology and 3Gastroenterology, Hospital “Universitari del Mar”, Autonomous University of Barcelona. Barcelona, Spain
Context The inflammatory pseudotumor is a rare chronic inflammatory disease not considered as a real tumor but with a similar locally aggressive behavior. Although usually located in the lungs it may be found in other organs. Case report We present the clinical case of a 66-year-old woman diagnosed with inflammatory pseudotumor after undergoing an exploratory laparotomy due to a large non resectable abdominal mass. Preoperative abdominal CT revealed a large solid polylobulated mass involving the pancreas, duodenum, hepatic hilum and superior mesenteric artery. Percutaneous fine needle aspiration and tru-cut biopsies ruled out lymphoma but did not achieve a definitive diagnosis. CD68 antibody positivity of the surgical biopsy specimen confirmed the histiocytary origin. Ki67 antibody expression was 10%. The final diagnosis was inflammatory pseudotumor rather than malignant fibrohistiocytoma based on the features and the severity of the inflammatory component. Chemotherapy was ineffective and the patient died 25 months later because of local progression and infection of the tumoral necrotic tissue. Conclusion Although inflammatory pseudotumor is not considered to be a real tumor, its aggressive local growth is similar to that of malignant soft tissue sarcomas. The only curative option is the complete surgical resection, albeit frequent recurrence.
The inflammatory pseudotumor is a rare chronic inflammatory disease of unclear pathogenesis whose pathological features are not those of a malignant tumor, but its unpredictable clinical behavior, ranging from benign to a locally invasive aggressiveness, is often similar to that of real soft tissue neoplasias [1]. Although it is usually diagnosed in adults in the lungs [2], it has also been described in other locations, such as the kidney, orbit, liver, pancreas, spleen mesentery and limbs [3, 4, 5, 6, 7, 8, 9, 10, 11], and may also be found in childhood [12, 13]. We present the clinical case of an adult patient who underwent an exploratory laparotomy due to a large abdominal mass finally diagnosed as an inflammatory pseudotumor.
A 66-year-old woman was referred to our center for constitutional syndrome and palpable abdominal mass. Her medical background included hypertension, dyslipidemia, anxiety and depression syndromes and a past surgical history of hysterectomy with left adnexectomy 30 years before due to an supposed benign disease. No toxic habits were reported. On admission, blood tests showed a mild normochromic normocytic anemia (hemoglobin: 11.4 g/dL; reference range: 11.8-15.3 g/dL) and leukocytosis (11,500 mL-1; reference range: 4,000-11,000 mL-1). Tumor makers CEA and CA 19.-9 were 0.9 ng/mL (reference range: 0-5 ng/mL) and 13.5 U/mL (reference range: 0-37 U/mL), respectively.
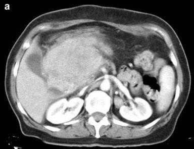
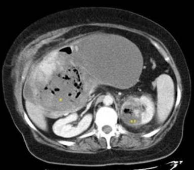
Abdominal CT scan (Figure 1ab) revealed a solid 12x10x8 cm polylobulated neoformative mass, slightly heterogeneous, involving the head of the pancreas without any fatty plane in between and in contact with the duodenum, portal vein, superior mesenteric artery and common hepatic artery.


|
Figure 1. Abdominal enhanced CT showing a large retroperitoneal mass involving the pancreas, the whole hepatic hilum and superior mesenteric vessels (a.). Some necrotic hypodense areas can be seen inside the mass (b.). |
Ultrasound guided fine needle aspiration biopsy (FNAB) did not provide sufficient material for diagnosis. CT-guided tru-cut biopsy demonstrated several histiocytes with no evidence of neoplastic features. In view of the morphology and the results of the immunohistochemical tests, the possibility of a lymphoma was ruled out. The cell proliferation rate measured by the Ki67 antibody was 5%.
Endoscopic ultrasonography was done after having the biopsy and showed the presence of a large intra-abdominal mass surrounded by a fine, hypoechogenic and fairly homogeneous membrane showing small apparently necrotic areas, in contact with the liver, posterior gastric wall, and encasing the head of the pancreas and portal vein but without signs of clear invasion. No dilatation of the intra- or extra-hepatic biliary or the pancreatic duct was observed. Ultrasound imaging features of the body and tail of the pancreas were normal. Ascites and pathological loco-regional lymph nodes were not seen.
Given these clinical findings and complementary tests, an exploratory laparotomy was performed. A large, well defined, encapsulated, retroperitoneal and mesenteric mass was found involving the head and the body of the pancreas, portal and superior mesenteric vessels encasing the mesenteric root from Treitz’s angle and spreading into the mesenteric fat. On partial excision, the mass was tough and white fibrotic-like (Figure 2). Intra-operatory microscopic study suggested malignant fibrous histiocytoma. Tumor involvement of the main mesenteric vessels and the whole mesentery did not allow curative resection.

|
Figure 2. Macro-biopsy (4.5 cm in diameter) obtained from the exploratory laparotomy showing tissue with a yellowish, nodular and polished surface. |
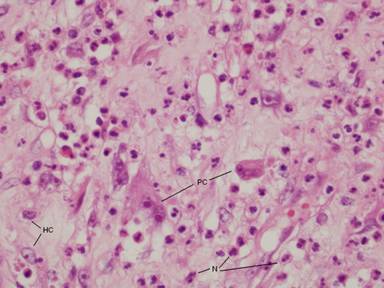
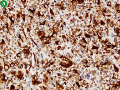
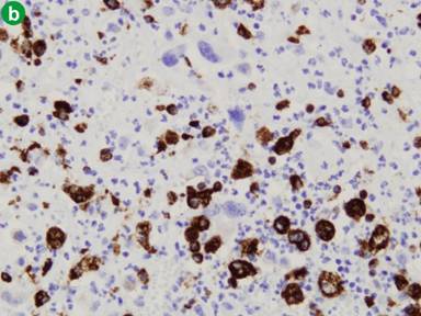
The pathological study showed a xantohogranuloma type histiocytary proliferation and the presence of cells with relevant pleomorphism, frequent binucleations and evident nucleolus, with homogeneous background of marked mixed inflammation with the predominance of polymorphonuclear neutrophils (Figure 3). The histiocytary origin was confirmed by immunohistochemical staining with the CD68 antibody (Figure 4ab). The cell proliferation rate, defined by the expression of the Ki67 antibody, was 10%. Differential diagnosis was made between malignant fibrohistiocytoma and inflammatory pseudotumor. The severity of the inflammatory component and the low proliferation rate of histiocytary cells were highly suggestive of a pseudotumoral lesion. On the basis of these findings, final pathological diagnosis was of inflammatory pseudotumor.

|
Figures 3. Hematoxylin-eosin staining samples showing proliferation of xanthogranuloma type histiocytary cells (HC) and the presence of some pleomorphic cells (PC), with a homogeneous background of marked mixed inflammation with the predominance of polymorphonuclear neutrophils (N). The pleomorphic cells presented binucleation with evident nucleolus. |


|
Figure 4. Immunohistochemical staining samples showing vimentin expression in the histiocytary cells and in the accompanying fibroblastic and endothelial cells (a.). CD68 antibody positivity confirmed the histiocytary origin (b.). |
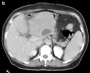
The postoperative course was uneventful and the patient underwent chemotherapy (3 cycles of adriamycin followed by 6 cycles of gemcitabine) for malignant fibrous histiocytoma, showing no response. The patient died 25 months after diagnosis due to local progression of the inflammatory pseudotumor, with no evidence of metastasis. Progressive alimentary intolerance conducted to an extreme cachexia. Finally, she died from acute sepsis because of infection of the tumoral necrosis (Figure 5).

|
Figure 5. Abdominal CT showing extensive tumoral necrosis. Gas inside the tumor (*) and in the left kidney (**) was considered a sign of severe infection. |
Retroperitoneal tumors grow slowly and are usually presented as a solid abdominal palpable mass, accompanied by fever or weight loss. In adults, the differential diagnosis of the inflammatory pseudotumor must be made with benign fiber mesenteric tumors such as mesenteric fibromatosis, sclerosing mesenteritis, and extrapleural solitary fibrous tumor, but also lymphomas, soft tissue sarcomas and metastatic malignancies [12, 14].
The radiological features of inflammatory pseudotumor are usually not specific and normally appear as well-delimited and well-vascularized solid tumors, with a variable infiltrative appearance. They can reach a large size including necrotic hypodense areas [3, 4, 5, 14].
Having an exact diagnosis before surgery is advisable. However, the characteristics of this type of tumor usually make FNAB ineffective. Tru-cut biopsy is able to obtain sufficient material to orient the diagnosis [11]. Nonetheless, the definitive diagnosis is usually obtained through total or partial resection of the tumor by surgical approach [2, 6, 7, 8, 15]. On histological study, inflammatory pseudotumor shows proliferation of fibroblastic, myofibroblastic and histiocytic cells in an inflammatory background. In the literature, inflammatory pseudotumor is also known as plasma cell granuloma, plasma cell pseudotumor, inflammatory myofibrohistiocytoma, myofibroblastic pseudosarcoma, inflammatory fibrosarcoma and xanthogranulomatous pseudotumor by demonstrating the ambiguity of this tumor whose origin could be a reactive process or a true neoplasm [7, 16]. The number of cellular mitosis can help to determine malignancy, although there is no definite pattern for differentiating reactive from malignant tissue [1]. The overexpression of the p53 protein on immunohistochemical study can provide further information on the aggressiveness of the tumor.
The treatment of choice of inflammatory pseudotumor is full tumor surgical excision [3]. However, the recurrence rate is high at about 15-37% during the first year after surgery, despite complete surgical resection [6]. Since inflammatory pseudotumor it is not a real neoplasm no metastasis is expected. If metastasis does developed it may be due to conversion into a malignant sarcoma, or more commonly, incorrect diagnosis [7]. Corticoid therapy, chemotherapy and radiotherapy have shown to be ineffective in the control of this disease.
Received March 23rd, 2012 - Accepted April 1st, 2012
Key words Fibrosarcoma; Granuloma, Plasma Cell; Histiocytoma, Malignant Fibrous; Neoplasms; Plasma Cells; Retroperitoneal Neoplasms; Soft Tissue Neoplasms
Conflicts of interest There are no conflicts of interest and no competing financial interests exist
Correspondence
Ignasi
Poves
Unit of Hepato-Biliary-Pancreatic Surgery
Department of General and Digestive Surgery
Hospital Universitari del Mar
Passeig Marítim 25-29
08003 Barcelona
Spain
Phone: +34-932.483.244
Fax: +34-932.483.433
E-mail: ipoves@parcdesalutmar.cat
1. Riddell RH, Petras RE, Williams GT, Sobin LH. Tumors of the intestines. Washington, DC: Armed Forces Institute of Pathology, 2002.
2. Goto T, Akanabe K, Maeshima A, Kato R. Surgery for recurrent inflammatory pseudotumor of the lung. World J Surg Oncol 2011; 9:133.
3. Narla LD, Newman B, Spottswood SS, Narla S, Kolli R. Inflammatory pseudotumor. Radiographics 2003;23:719-729
4. Levy AD, Rimola J, Mehrotra AK, Sobin LH. Benigns fibrous tumors and tumorlike lesions of the mesentery: radiologic/pathologic correlation. Radiographics 2006,26:245-264
5. Yan FH, Zhou KR, Jiang YP, Shi WB. Inflammatory pseudotumor of the liver: 13 cases of MRI findings. World J Gastroenterol 2001;7:422-4.
6. Lopez-Tomassetti Fernandez EM, Luis HD, Malagon AM, Gonzalez IA, Pallares AC. Recurrence of inflammatory pseudotumor in the distal bile duct: lessons learned from a single case and reported cases. World J Gastroenterol 2006;12:3938-43.
7. Coffin CM, Watterson J, Priest JR, Dehner LP. Extrapulmonary inflammatory myofibroblastic tumor (inflammatory pseudotumor). A clinicopathologic and immunohistochemical study of 84 cases. Am J Surg Pathol 1995;19:859-72
8. Suzumura K, Okada T, Satake M, Fujimito J. Laparoscopic splenectomy for inflammatory pseudotumor of the spleen. Hepatogastroenterology. 2011;58:1909-11.
9. Naveen J, Sonalika W, Pravhu S, Gopalkrishnan K. Inflammatory pseudotumor of maxillary sinus: Mimicking as an aggressive malignancy. J Oral Maxillofac Pathol 2011;15:344-5.Lista F, Andrés G, Mateo E, Camacho FI, Rodríguez-Barbero JM, Angulo JC. Clinical Versatility of the Inflammatory Pseudotumor in Urology. Actas Urol Esp 2011 Oct 24 [Epub ahead of print]
10. Lista F, Andrés G, Mateo E, Camacho FI, Rodríguez-Barbero JM, Angulo JC. Clinical Versatility of the Inflammatory Pseudotumor in Urology. Actas Urol Esp 2011 Oct 24 [Epub ahead of print]
11. Ahn KS, Kang KJ, Kim YH, Lim TJ, Jung HR, Kang YN, Kwon JH. Inflammatory pseudotumors mimicking intrahepatic cholangiocarcinoma of the liver; IgG4-positivity and its clinical significance. J Hepatobiliary Pancreat Sci 2011 Sep 6 [Epub ahead of print]
12. Bonnet JP, Basset T, Dijoux D. Abdominal inflammatory myofibroblastic tumors in children: report of an appendiceal case and review of the literatura. J Pediatr Surg 1996; 31:13 11-4
13. Ciftci AO, Akçören Z, Tanyel FC, Senocak ME, Caglar M, Hiçsömerz A. Inflammatory pseudotumor causing intestinal obstruction: diagnostic and therapeutic aspects. J Pediatr Surg 1998; 33: 1843-5
14. Patnana M, Sevrukov AB, Elsayes KM, Viswanathan C, Lubner M, Menias CO. Inflammatory pseudotumor: the great mimicker. AJR Am J Roentgenol 2012;198:W217-27.
15. Soga H, Yao A, Matsushita K, Shimogaki H, Kawabata G. Inflammatory pseudotumor of the retroperitoneum removed via a retroperitoneoscopic approach. JSLS 2011;15:272-4.
16. Dishop MK, Warner BW, Dehner LP, Kriss VM, Greenwood MF, Geil JD et al. Successful treatment of inflammatory myofibroblastic tumor with malignant transformation by surgical resection and chemotherapy. J Pediatr Hematol Oncol 2003; 25: 153-8.