CASE REPORT
JOP. J Pancreas (Online) 2012 May 10; 13(3):317-319.
Multiple Extrasplanchnic Venous Thromboses: A Rare Complication of Pancreatitis. A Case Report
Hardik Parikh1, Akash Shukla1, Yashant Aswani2, Shobna Bhatia1
Departments of 1Gastroenterology and 2Radiology, Seth G S Medical College, KEM Hospital. Mumbai, India
ABSTRACT
Context Venous thrombosis has been described in patients with acute and chronic pancreatitis. This is especially common in portal vein, splenic vein and superior mesenteric vein. To the best of our knowledge, involvement of superior vena cava and subclavian vessel due to pancreatitis has not been reported. Case report We present here a case of an adult male with alcoholic chronic pancreatitis who presented with multiple vessel thromboses involving superior vena cava, inferior vena cava, bilateral subclavian, internal jugular vein, axillary, iliac and renal vein without involvement of portal, splenic and superior mesenteric vein that was effectively treated with i.v. anticoagulation therapy. Conclusion Venous thromboses can occur outside the splanchnic circulation in pancreatitis.
INTRODUCTION
Splenic vein, portal vein and superior mesenteric vein thrombosis or a combination of these is a known complication of acute as well as chronic pancreatitis [1, 2, 3]. Involvement of other veins is rare [3]. Isolated inferior vena cava and renal vein thrombosis have been previously described but we are not aware of any reports of multiple vessel thrombosis without involvement of portal vein, superior mesenteric vein or splenic vein [4]. We describe here a patient of chronic pancreatitis who presented with pancreatic ascites with multiple venous thrombosis.
CASE REPORT
A 30-year-old man presented to our outpatient clinic with history of abdominal distention without pedal edema for the past 3 months. He also had deep boring epigastric pain and vomiting for 2 months. He had noticed low grade fever and anorexia for last 15 days. He had been consuming alcohol (100 g/day) for last 5 years (last drink 3 months back). Examination revealed pallor, facial puffiness, tachycardia, ascites and bilateral pleural effusion. His neck veins were engorged and hepatojugular reflex was absent. On investigation ascitic fluid was hemorrhagic with proteins 5.5 g/dL (reference range: 0-0.5 g/dL); white blood cells were 215 mm-3 (reference range: 0-5 mm-3; polymorphs 35% and lymphocytes 65% in a background of red blood cells). Ascitic fluid adenosine deaminase was 20 IU/mL (reference range: 0-35 IU/mL) and ascetic fluid amylase 58,840 IU/L (reference range: 0-100 IU/L). Pleural fluid was also hemorrhagic with protein 5.5 g/dL (reference range: 0-0.5 g/dL), white blood cells 80 mm-3 (polymorphs 50%, lymphocytes 50%) and adenosine deaminase was 35 IU /mL. 2D echo was normal. Serum amylase was 700 IU/L (reference range: 0-150 IU/L), serum lipase was 3,526 IU/L (reference range: 0-150 IU/L), and pleural fluid amylase was 5,748 IU/L (reference range: 0-50 IU/L). CT scan showed thromboses of bilateral subclavian and internal jugular vein, superior vena cava, infra renal inferior vena cava, a segment of suprarenal and infrahepatic inferior vena cava and right common iliac vein and patent splanchnic veins (Figures 1-5). Color Doppler abdomen showed normal portal vein of 10 mm diameter with hepatopetal flow, normal retrohepatic inferior vena cava with hepatopetal flow, while rest of inferior vena cava was thrombosed; all three hepatic veins well visualized with normal flow (Figure 6). MRCP revealed acute inflammation with underlying chronic pancreatitis with stricture at junction of head and body with intraductal calculi with leak at head and body junction and multiple loculated intra abdominal collections. The prothrombotic work up, including factor V Leiden, JAK 2 mutation, homocysteine, antiphospholipid antibody, protein C and S, and antithrombin III, was negative. Thus, a diagnosis of chronic pancreatitis with pancreatic ascites and pleural effusion with multiple extrasplanchnic thromboses due to pancreatitis was made. Patient was managed conservatively with intravenous heparin, initially continuous infusion of 1,000 units/hour and later on oral anticoagulants. ERCP with pancreatic sphincterotomy was done and a 5Fr x 10 cm stent was placed. Patient symptomatically improved with complete disappearance of ascites. His repeat color Doppler showed partial recanalization of superior vena cava, internal jugular vein and subclavian veins (Figure 7).

|
Figure 1. CECT axial view shows thrombosis in right common iliac vein (arrow), there is presence of gross ascites. |

|
Figure 2. CECT axial view depicts patent splenic vein (arrow), the pancreas is ill defined with surrounding ascites. |

Figure 3. CECT axial view depicts patent main portal vein (arrow) and its right branch. |

|
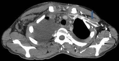
Figure 4. CECT axial view demonstrates extensive thrombosis of left axillary and subclavian vein (arrow). |

|
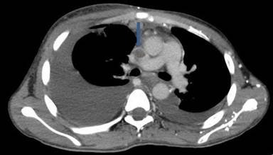
Figure 5. CECT axial view depicts thrombosis of superior vena cava (arrow) with bilateral pleural effusion (right more than left). |

|
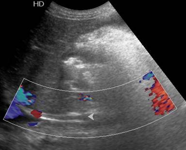
Figure 6. Color Doppler image shows thrombosed infra hepatic segment of inferior vena cava. |

|
Figure 7. Post anticoagulation therapy status color Doppler shows significant reduction in size of thrombus in left subclavian vein. |
DISCUSSION
Isolated portal vein or combined superior mesenteric vein and portal vein thrombosis are known complications of acute pancreatitis [1, 2, 3, 5]. Involvement of splenic vein is most common in chronic pancreatitis [6]. Venous thrombosis other than splanchnic circulation is very rare in patients of pancreatitis. Stringer et al. [7] reported a case of isolated inferior vena cava thrombosis due to acute pancreatitis. Subsequently, inferior vena cava thrombosis was reported in a few other cases with additional renal vein thrombosis in one case [8, 9]. Pulmonary thromboembolism is also a known complication following venous thrombosis after pancreatitis [10, 11]. We are not aware of any published reports of thrombosis of superior vena cava and subclavian veins due to pancreatitis. Our patient had acute thrombosis of superior vena cava, internal jugular vein and subclavian vein. Various mechanisms are postulated to cause these splanchnic and extra-splanchnic venous thromboses. The splanchnic veins especially, superior mesenteric vein, portal vein and splenic vein possibly get thrombosed due to release of proteolytic enzymes from the inflamed pancreas. As the splenic vein lies immediately adjacent to the pancreas, it is the most commonly affected vein. Thromboses of distant veins are postulated to be due to inflammatory vasculitis and hypercoagulable states [11, 12]. Venous thrombosis may also occur due to extrinsic compression by the edematous gland or pseudocyst. Our patient did not have any known inherited prothrombotic state or pseudocyst compressing the veins which were found thrombosed. Hence, the most probable reason for thrombosis in our patient was systemic inflammation. These venous thromboses are known to respond to anticoagulation [13, 14]. Our patient responded to anticoagulation as well with partial resolution of thrombosis. To conclude, thrombosis of other vessels other than splanchnic vascular bed can occur in pancreatitis. This can be effectively treated with anticoagulation and hence, mortality related to complication such as pulmonary embolism can be prevented.
Received April 20th, 2012 - Accepted April 23rd, 2012
Key words Pancreatic Fistula; Pancreatitis, Alcoholic; Venous Thrombosis
Competing interests None
Correspondence
Akash
Shukla
9th Floor, MSB
Department of Gastroenterology
Seth G S Medical College and KEM Hospital
Parel, Mumbai
India 400012
Phone: +91-22.2410.3057
Fax: +91-22.2417.5626
E-mail: akash@kem.edu
References
1. Butler JR, Eckert GJ, Zyromski NJ, Leonardi MJ, Lillemoe KD, Howard TJ. Natural history of pancreatitis-induced splenic vein thrombosis: a systematic review and meta-analysis of its incidence and rate of gastrointestinal bleeding. HPB (Oxford) 2011;13:839-45.PMID: 22081918 PMCID: PMC3244622
2. Nicolas de Prado I, Corral de la Calle MA, Nicolas de Prado JM, Gallardo Sanchez F, Medranda MA. [Vascular complications of pancreatitis]. Rev Clin Esp 2005;205:326-32. PMID:16029759.
3. Nordback I, Sisto T. Peripancreatic vascular occlusions as a complication of pancreatitis. Int Surg 1989;74:36-9. PMID: 2707996.
4. Ma SK, Kim SW, Kim NH, Choi KC. Renal vein and inferior vena cava thrombosis associated with acute pancreatitis. Nephron 2002;92:475-7. PMID: 12218335.
5. Besselink MG. Splanchnic vein thrombosis complicating severe acute pancreatitis. HPB (Oxford) 2011;13:831-2. PMID: 12218335.
6. Gonzelez HJ, Sahay SJ, Samadi B, Davidson BR, Rahman SH. Splanchnic vein thrombosis in severe acute pancreatitis: a 2-year, single-institution experience. HPB (Oxford) 2011;13:860-4. PMID: 22081920. PMCID:PMC3244624
7. Stringer MD, Michell M, McIrvine AJ. Inferior vena caval thrombosis complicating acute pancreatitis. Case report. Acta Chir Scand 1988;154:161-3. PMID:3354298
8. Ohta H, Hachiya T. A case of inferior vena cava thrombosis and pulmonary embolism secondary to acute exacerbation of chronic pancreatitis: a rare finding in radionuclide venography. Ann Nucl Med 2002;16:147-9. PMID:12043910.
9. Peillon C, Manouvrier JL, Testart J. Inferior vena cava thrombosis secondary to chronic pancreatitis with pseudocyst. Am J Gastroenterol 1991;86:1854-6. PMID: 1962640.
10. Jorge Cerrudo J, Mansilla Rosello A, Paz Yanez A, Segura Jimenez I, Ferron Orihuela JA. Urgent vascular complications in acute pancreatitis. Cir Esp 2012;90:134-6. PMID: 21414617[Pub Med - in process]
11. Zhang Q, Zhang QX, Tan XP, et al. Pulmonary embolism with acute pancreatitis: A case report and literature review. World J Gastroenterol 2012;18:583-6.
12. Orr DW, Patel RK, Lea NC, et al. The prevalence of the activating JAK2 tyrosine kinase mutation in chronic porto-splenomesenteric venous thrombosis. Aliment Pharmacol Ther 2010;31:1330-6. PMID: 20331577.
13. Jiao HB, Qiao Z, Tan XL, et al. [Effects of anticoagulation therapy with low molecular weight heparin in acute pancreatitis]. Zhongguo Wei Zhong Bing Ji Jiu Yi Xue 2004;16:712-4. PMID: 15585141.
14. Alvi AR, Bibi S, ur Rehman Z, Niazi SK. Acute mesenteric, portal and inferior vena cava (IVC) venous thrombosis: optimal outcome achieved with anticoagulation. J Pak Med Assoc 2010;60:397-9. PMID: 20527618.