CASE SERIES
JOP. J Pancreas (Online) 2012 Jan 10; 13(1):54-57.
Replacement Gastrostomy Tube Causing Acute Pancreatitis: Case Series with Review of Literature
Anish M Shah1, Nihar Shah2, Joseph R DePasquale1
1Division of Gastroenterology, School of Health and Medical Sciences Seton Hall University. South Orange, NJ, USA. 2Department of Internal Medicine, Saint Michael’s Medical Center. Newark, NJ, USA
Context Percutaneous endoscopic gastrostomy (PEG) feedings are generally considered safe with few serious complications. Acute pancreatitis is a rare complication associated with replacement percutaneous endoscopic gastrostomy tubes. Case report We report two cases of acute pancreatitis induced by migrated replacement percutaneous endoscopic gastrostomy tubes. Conclusions Migration of a balloon into the duodenum can result in external manipulation of the ampulla of Vater thereby disturbing the flow of pancreatic secretions leading to acute pancreatitis. Recognition of this complication is important and should be included as potential etiology of acute pancreatitis in patients receiving percutaneous endoscopic gastrostomy feedings. Periodic examination and documentation of the distance of the balloon from the skin should be performed to document the position of the tubes or any inadvertent migration of the tubes. The use of Foley catheters as permanent replacement tubes should be considered medically inappropriate.
Percutaneous endoscopic gastrostomies (PEG) are the modality of choice for providing long-term enteral nutrition. Gauderer et al. first described this method in 1980 [1]. PEG tube placement and feeding is generally considered safe. Most of the complications associated with PEG-tube feedings are minor and the risk of serious complications is very low. PEG tubes require periodic replacement related to degradation of the tubes or inadvertent tube removal. There are a number of dedicated replacement options which include balloon type-PEG tubes. When dedicated replacement tubes are not available Foley catheters have been used as “temporary” replacements. Herein, we report two cases of acute pancreatitis. The first induced by a migrated Foley catheter balloon and the second a migrated replacement balloon-type gastrostomy tube. The association of PEG tube migration and acute pancreatitis is rare. To the best of our knowledge only six cases have been reported in the literature.
CASE REPORTS
Case #1
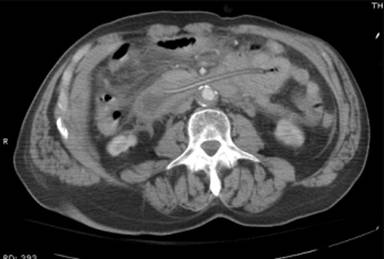
A 79-year-old African American male with past medical history of stroke, diabetes mellitus, hypertension, chronic obstructive pulmonary disease, Alzheimer’s dementia, atrial fibrillation and bilateral below knee amputation was sent from a nursing home for evaluation of nausea, an episode of non-bloody vomiting, and epigastric pain. The patient had no history of prior alcohol abuse. Medications included enalapril, warfarin, a multivitamin, calcium, albuterol, prednisone and donepezil. On examination he was stable and was not in acute distress. Mild tenderness was noted in the epigastrium. In the nursing home, a Foley catheter had been inserted in place of the PEG-tube which had been accidentally pulled out few days before. The hemoglobin was 18.8 g/dL (reference range: 14.0-17.5 g/dL), white blood cells count 13,800 mm-3 (reference range: 4,400-11,000 mm-3), platelet count 196,000 mm-3 (reference range: 150,000-450,000 mm-3), blood urea nitrogen 22 mg/dL (reference range: 6-20 mg/dL), serum creatinine 1.3 mg/dL (reference range: 0.5-1.2 mg/dL), and glucose 188 mg/dL (reference range: 70-110 mg/dL). Liver enzyme tests, serum triglyceride and serum calcium were within normal limits. Serum amylase (1,448 U/L; reference range: 0-100 U/L) and lipase (1,565 U/L; reference range: 7-60 U/L) were elevated. An ultrasound of the abdomen did not reveal gallstones, sludge or biliary dilatation. A CT scan of the abdomen with oral contrast showed findings suggestive of acute pancreatitis. A Foley catheter balloon was identified in the second portion of the duodenum (Figure 1). A diagnosis of acute pancreatitis was made. The patient was started on i.v. fluids and pain medications. The Foley catheter was replaced with a 20 French replacement PEG-tube. A gastrograffin study was done to confirm the placement. The nausea, vomiting and abdominal pain improved and the serum amylase and lipase returned to normal. The patient had no further episodes of pancreatitis. No other cause for acute pancreatitis could be identified.

|
Figure 1. CT scan of abdomen showing Foley catheter balloon in the duodenum. Case#1. |
Case #2
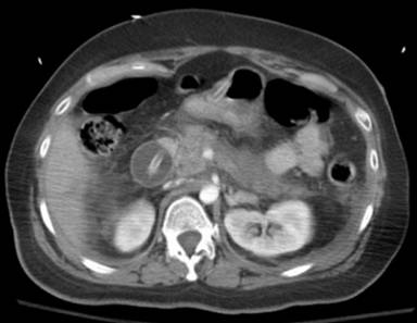
A 38-year-old white female with past medical history of mental retardation, seizure disorder, hypothyroidism and osteoporosis was admitted with complaints of painful abdominal distension, fever and vomiting. There was no history of prior alcohol abuse. Her medications included levothyroxine, phenytoin, docusate sodium and calcium carbonate. The patient was febrile (39.4 °C, 103 °F), hypotensive (87/49 mmHg) and tachycardic (122 min-1). On examination, the patient’s abdomen was distended, slightly firm with decreased bowel sounds but no guarding or rigidity. The hemoglobin was 17.3 g/dL, hematocrit 50.4% (reference range: 41.5-50.4%), white blood cells count 27,500 mm-3, and amylase 1,602 U/L and lipase 1,903 U/L, respectively. The liver enzyme tests, serum triglyceride level, serum calcium and IgG subclass 4 were normal. An ultrasound of the abdomen did not reveal any gallstone, sludge or biliary dilatation. A CT scan of the abdomen with oral and intravenous contrast showed peripancreatic fat stranding consistent with acute pancreatitis. A replacement gastrostomy tube balloon was noted to be impacted in the second part of the duodenum (Figure 2). The PEG tube was pulled back and secured to the abdominal wall. Aggressive hydration, ventilator support and antibiotics were administered. The patient’s clinical condition improved and the amylase and lipase returned to normal. The patient had no further episodes of pancreatitis.

|
Figure 2. CT scan of abdomen showing replacement gastrostomy tube balloon in the duodenum. Case #2. |
DISCUSSION
PEG-tube feedings are the preferred feeding method in patients requiring long-term enteral nutrition. In general, PEG tubes are safe, inexpensive and easy to place. Ten percent of nursing home residents and 1.7% of Medicare patients over the age of 85 years undergo gastrostomy tube placement [2]. The overall complication rate ranges from 4% to 23.8% [3, 4]. Serious complications are infrequent. Minor complications occur in 7.4-20% and procedure related mortality is less than 1% [5, 6]. Long-term complications include the formation of granulation tissue, leakage at PEG site, unintentional removal and buried bumper syndrome [7, 8, 9, 10, 11]. Table 1 lists the major and minor complications of PEG-tube feedings [3, 12, 13, 14, 15, 16, 17, 18, 19, 20, 21, 22, 23, 24, 25, 26, 27, 28, 29, 30, 31, 32].
|
Table 1. Complications of percutaneous endoscopic gastrostomy-tube feeding. Adapted with permission from Practical Gastroenterology: Nutrition Issues in Gastroenterology; Series #22 [39]. |
||
|
Complications |
Frequency |
References |
|
Major: |
|
|
|
Minor: |
|
|
Acute pancreatitis secondary to migrated replacement gastrostomy tubes has also been reported [33, 34, 35, 36, 37, 38]. Duerksen et al. and Imamura et al. each described a case of acute pancreatitis caused by balloon gastrostomy tube [36, 38]. The acute pancreatitis was hypothesized to be caused by the migration of the balloon which caused direct mechanical irritating the major and or minor papilla resulting in a disturbance of the flow of pancreatic juice, an accepted cause of in acute pancreatitis. Duerksen et al. described spontaneous loosening of the external bumper as the cause of the tube migration [36]. Imamura et al. described a case in which the replacement gastrostomy tube was inserted too deeply in the duodenum and inflated there causing pancreatitis and cholangitis. Although the numbers are small these complications appears to be more common when a Foley catheter is used as a replacement. (Table 2) [38].
|
Table 2. Cases of replacement gastrostomy tube induced acute pancreatitis. |
||||
|
Case No. |
Study |
Year |
Replacement tube |
Cause |
|
1 |
Bui, et al. [33] |
1986 |
Foley catheter |
Not secured, propelled by gastric peristalsis |
|
2 |
Panicek, et al. [34] |
1988 |
Foley catheter |
Placement in duodenum |
|
3 |
Barthel, et al. [35] |
1991 |
Foley catheter |
Pancreatic divisum and tube migration |
|
4 |
Duerksen [36] |
2001 |
Balloon PEG tube |
Spontaneous loosening of external bolster |
|
5 |
Miele, et al. [37] |
2005 |
Foley catheter |
Spontaneous migration by gastric peristalsis |
|
6 |
Imamura, et al. [38] |
2007 |
Balloon PEG tube |
Replacement tube passed too deep and inflated |
|
7 |
Current study: Case #1 |
2011 |
Foley catheter |
Propelled by gastric peristalsis/placement in duodenum |
|
8 |
Current study: Case #2 |
2011 |
Balloon PEG tube |
Spontaneous loosening of external bolster causing migration |
PEG: percutaneous endoscopic gastrostomy
Our two cases illustrate the potential dangers associated with use of balloon-type replacement gastrostomy tubes and highlight the inherent problems associated with the use of Foley catheter as permanent replacement tube. The presence of a water filled balloon the end of the PEG tube allows the gastric peristalsis to propel the balloon making it more likely to migrate. Foley catheters are even more likely to migrate because they do not have any external bumper to secure the tube to the external abdominal wall. In addition, Foley catheters do not have markings on the surface of the catheter that allow one to measure the depth of balloon placement. As a result there is no way to judge balloon placement before inflation which could lead to inadvertent inflation in the second duodenum. In the interests of preventing such complications, we believe that Foley catheters should only be used as temporary replacements when dedicated catheters are not available. They should only be used to maintain the integrity of the fistula and replaced with a dedicated tube as soon as one is available. When Foley catheters are used they should be secured to the abdominal wall to prevent migration. In addition, the catheters should be marked in some way to determine the depth of insertion prior to inflation. If there is any doubt as to the location of any replacement tube, the position of the tube should be confirmed radiographically before inflation and the resumption of tube feedings. Moreover, all indwelling replacement tubes should be checked periodically to document the distance of the balloon or internal bumper from the skin to document inadvertent migration and to correct it before complications occur.
In summary, the number of patients with PEG tubes has increased significantly and will continue to increase. An increased awareness of this rare but potentially life threatening complication is important. PEG tube migration should be included as a potential etiology of acute pancreatitis in patients with any PEG tube. The use of Foley catheters as permanent replacement options should be considered medically inappropriate.
Received September 18th, 2011 - Accepted November 12th, 2011
Precis Acute pancreatitis secondary to replacement gastrostomy tubes is a rare complication. Increased awareness of this complication is important and should be included as a potential etiology of acute pancreatitis in patients with replacement type gastrostomy tubes
Key words Enteral Nutrition; Gastrostomy; Pancreatitis, Acute Necrotizing
Abbreviations PEG percutaneous endoscopic gastrostomy
Conflict of interest The authors have no potential conflict of interest
Correspondence
Anish
M Shah
Division
of Gastroenterology
School of Health and Medical Sciences
Seton Hall University
400 South Orange Ave
South Orange, NJ 07079
USA
Contact address: 703 Main Street; Paterson, NJ 07503; USA
Phone: +1-973.754.2390
Fax: +1-973.754.2382
E-mail: anishshah21@gmail.com
References
1. Gauderer MW, Ponsky JL, Izant RJ Jr. Gastrostomy without laparotomy: a percutaneous endoscopic technique. J Pediatr Surg 1980;15:872-875. [PMID 6780678]
2. Grant MD, Rudberg MA, Brody JA. Gastrostomy placement and mortality among hospitalized Medicare beneficiaries. JAMA,1998; 279: 1973-1976. [PMID 9643861]
3. Larson DE, Burton DD, Schroeder KW, DiMagno EP. Percutaneous endoscopic gastrostomy. Indications, success, complications, and mortality in 314 consecutive patients. Gastroenterology, 1987; 93: 48-52. [PMID 3108063]
4. Lockett MA, Templeton ML, Byrne TK, Norcross ED. Percutaneous endoscopic gastrostomy complications in a tertiary-care center. Am Surg, 2002; 68: 117-120. [PMID 11842953]
5. Park RH, Allison MC, Lang J et al. Randomized comparison of percutaneous endoscopic gastrostomy and nasogastric tube feeding in patients with persisting neurological dysphagia. BMJ 1992; 304: 1406-1409. [PMID 1628013]
6. Wicks C, Gimson A, Vlavianos P et al. Assessment of the percutaneous endoscopic gastrostomy feeding tube as part of an integrated approach to enteral feeding. Gut 1992; 33: 613-616. [PMID 1612476]
7. Kavic SM, Basson MD. Complications of endoscopy. Am J Surg 2001; 181: 319-332. [PMID 11438266]
8. McClave SA, Chang WK. Complications of enteral access. Gastrointest Endosc 2003; 58: 739-751. [PMID 14595312]
9. Crosby J, Duerksen D. A retrospective survey of tube-related complications in patients receiving long-term home enteral nutrition. Dig Dis Sci 2005; 50: 1712-171.7. [PMID 16133977]
10. HullMA, Rawlings J, Murray FE et al. Audit of outcome of long-term enteral nutrition by percutaneous endoscopic gastrostomy. Lancet 1993; 341: 869-872. [PMID 8096573]
11. Kirchgatterer A, Bunte C, Aschl G et al. Long-term outcome following placement of percutaneous endoscopic gastrostomy in younger and older patients. Scand J Gastroenterol 2007; 42: 271-276. [PMID 17327948]
12. Loser C, Wolters S, Folsch UR. Enteral long-term nutrition via percutaneous endoscopic gastrostomy in 210 patients: a four-year prospective study. Dig Dis Sci, 1998; 43: 2549-2557. [PMID 9824149]
13. Rabeneck L, Wray NP, PetersenNJ. Long-term outcomes of patients receiving Percutaneous endoscopic gastrostomy tubes. J Gen Intern Med, 1996; 11: 287-293. [PMID 8725977]
14. Grant JP. Percutaneous endoscopic gastrostomy. Initial placement by single endoscopic technique and long-term follow-up. Ann Surg,1993; 217: 168-174. [PMID 8439214]
15. Amann W, Mischinger HJ, Berger A et al. Percutaneous endoscopic gastrostomy (PEG). 8 years of clinical experience in 232 patients. Surg Endosc, 197; 11: 741-744. [PMID 9214323]
16. Petersen TI, Kruse A. Complications of percutaneous endoscopic gastrostomy. Eur J Surg, 1997; 163: 351-356. [PMID 9195168]
17. Greif JM, Ragland JJ, Ochsner MG, et al. Fatal necrotising fasciitis complicating percutaneous endoscopic gastrostomy. Gastrointest Endosc, 1986; 32: 292-294. [PMID 2943630]
18. Korula J, Rice HE. Necrotising fasciitis complicating percutaneous endoscopic gastrostomy. Gastrointest Endosc, 1987; 33: 335-336. [PMID 3653662]
19. So JB, Ackroyd FW. Experience of percutaneous endoscopic gastrostomy at Massachusetts GeneralHospital indications and complications. Singapore Med J, 1998; 39: 560-563. [PMID 10067402]
20. Davis JB Jr, Bowden TA Jr, Rives DA. Percutaneous endoscopic gastrostomy. Do surgeons and gastroenterologists get the same results? Am Surg, 1990; 56: 47-51. [PMID 2294812]
21. Thakore JN, Mustafa M, Suryaprasad S, Agrawal S. Percutaneous endoscopic gastrostomy associated gastric metastasis. J Clin Gastroenterol, 2003; 37: 307-311. [PMID 14506388]
22. Laccourreye O, Chabardes E, Merite-Drancy A et al. Implantation metastasis following percutaneous endoscopic gastrostomy. J Laryngol Otol, 1993;107: 946-949. [PMID 8263399]
23. HullMA, Rawlings J, Morray FE, et al. Audit of outcome of longterm enteral nutrition by percutaneous endoscopic gastrostomy. Lancet, 1993; 341: 869-872. [PMID 8096573]
24. Ponsky JL, Gauderer MW, Stellato TA. Percutaneous endoscopic gastrostomy: a review of 150 cases. Arch Surg, 1983;118:913-914. [PMID 6409054]
25. Sangster W, Cuddington GD, Bachulis BL. Percutaneous endoscopic gastrostomy. Am J Surg,1988; 155: 677-679. [PMID 3369623]
26. Rimon E. The safety and feasibility of percutaneous endoscopic gastrostomy placement by a single physician. Endoscopy,2001; 33: 241-244. [PMID 11293757]
27. Dwyer KM, Watts DD, Thurber JS, Benoit RS, Fakhry SM. Percutaneous endoscopic gastrostomy: the preferred method of elective feeding tube placement in trauma patients. J Trauma, 2002; 52: 26-32. [PMID 11791048]
28. Lin HS, Ibrahim HZ, Kheng JW, Fee WE, Terris DJ. Percutaneous endoscopic gastrostomy: strategies for prevention and management of complications. Laryngoscope, 2001; 111: 1847-1852. [PMID 11801956]
29. Mamel JJ. Percutaneous endoscopic gastrostomy. Am J Gastroenterol, 1989; 84: 703-710. [PMID 2500845]
30. Venu RP, Brown RD, Pastika BJ, Erickson LW Jr. The buried bumper syndrome: a simple management approach in two patients. Gastrointest Endosc, 2002; 56: 582-584. [PMID 12297784]
31. Walton GM. Complications of percutaneous endoscopic gastrostomy in patients with head and neck cancer-an analysis of 42 consecutive patients. Ann R Coll Surg Engl, 1999; 81: 272-276. [PMID 10615198]
32. Segal D, Michaud L, Guimber D, Ganga-Zandzou PS, Turck D, Gottrand F. Late-onset complications of percutaneous endoscopic gastrostomy in children. J Pediatr Gastroenterol Nutr, 2001; 33: 495-500. [PMID 11698770]
33. Bui HD, Dang CV. Acute pancreatitis: a complication of Foley catheter gastrostomy. J Natl Med Assoc 1986; 78: 779-781. [PMID 3093685]
34. Panicek DM, Ewing DK, Gottlieb RH, Chew FS. Gastrostomy tube pancreatitis. Pediatr Radiol 1988; 18: 416-417. [PMID 3140201]
35. Barthel JS, Mangum D. Recurrent acute pancreatitis in pancreas divisum secondary to minor papilla obstruction from a gastrostomy feeding tube. Gastrointest Endosc 1991; 37: 638-640. [PMID 1756928]
36. Duerksen DR. Acute pancreatitis caused by a prolapsing gastrostomy tube. Gastrointest Endosc 2001; 54: 792 793. [PMID 11726866]
37. Miele VJ, Nigam A. Obstructive jaundice and pancreatitis secondary to percutaneous endoscopic gastrostomy tube migration. J Gastroenterol Hepatol 2005; 20: 1802-1803. [PMID 16246209]
38. Imamura H, Konagaya T, Hashimoto T, Kasugai K. Acute pancreatitis and cholangitis: A complication caused by a migrated gastrostomy tube. World J Gastroenterol 2007; 13(39): 5285-5287. [PMID 17876903]
39. Lynch DR, Fang JC. Prevention and management of complications of percutaneous endoscopic gastrostomy (PEG) tubes. Practical Gastorenterology: Nutrition Issues in Gastroenterology; Series #22. November 2004, 66-76.