LETTER
JOP. J Pancreas (Online) 2012 Jan 10; 13(1):115-117.
Hemosuccus Pancreaticus Associated with Splenic Artery Aneurysms and Hepatic Artery Thrombosis Late After Liver Transplantation
Anna Mrzljak1,3, Nikola Sobočan1, Karlo Novačić2, Dinko Škegro1, Iva Košuta1,3, Miroslava Katičić1,3
Departments of 1Medicine and 2Radiology, University Hospital Merkur; 3School of Medicine, University of Zagreb. Zagreb, Croatia
Dear Sir,
We read with interest the article by Ray S. et al. recently published in JOP. Journal of the Pancreas [1]. We agree with authors that given the rarity and intermittent course of hemosuccus pancreaticus, difficulties in determining the location of bleeding sometimes cause delay of treatment. Until now, reports on hemosuccus pancreaticus in transplant population have been quite limited. Therefore, we would like to present the experience of hemosuccus pancreaticus in a liver transplant patient and comment on problems and pitfalls of a post-transplant setting.
Herein, we report a case of a 58-year-old man evaluated for endoscopy negative 7-day melena and acute pancreatitis. Four years before the patient underwent liver transplantation with Roux-en-Y hepaticojejunostomy, with unremarkable follow-up, which routinely included Doppler ultrasound once a year. His therapy consisted of cyclosporine and mycophenolate mophetil.
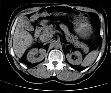
One day after admission, the occurrence of hematemesis urged repeated endoscopy, which revealed the fresh blood originating from the papilla of Vater (Figure 1). Endoscopic retrograde cholangiopancreatography was performed, demonstrating patent pancreatic duct and blind remnant of native common bile duct without communications between pancreaticobiliary tract and blood vessels. During the procedure few blood clots originated from the papilla of Vater. Multislice contrast computed tomography showed moderate enlargement of the pancreatic head with suspected hematoma (Figure 2), along with three splenic artery aneurysms, of 30 mm, 12 mm and 8 mm in diameter, in the distal arterial segment, as well as anastomotic stenosis of native and donor hepatic artery. However, contrast extravasation on visceral angiography was not detected (Figure 3). The embolization of the splenic artery aneurysms was judged unfeasible due to tortuosity of the splenic artery, wide neck of the major aneurysm and proximity of other two aneurysms to the splenic hilum. Supportive therapy stabilized the patient and gastrointestinal bleeding resolved. The patient was scheduled for surgery; however, subsequent development of hepatic artery thrombosis, resulted in multiple liver abscesses and septic episodes (Figure 4). On several occasions Enterococcus faecium and Klebsiella pneumoniae were identified from abscesses and blood cultures. Despite of a broad-spectrum antibiotic therapy and percutaneous drainage the fever persisted, although gastrointestinal bleeding did not reoccur. Three months later, the patient underwent liver re-transplantation and splenectomy. During the three past years of follow-up, the patient has remained uneventful.

|
Figure 1. Upper endoscopy showing fresh blood originating from papilla of Vater (arrow). |

|
Figure 2. Non-contrast abdominal CT scan showing moderate enlargement of the pancreatic head and surrounding fat edema-pancreatitis classified as Balthazar score 1. A small hyperdense lesion within pancreatic head suspected of small hematoma is notable. |

|
Figure 3. Angiography of the splenic artery showing three splenic artery aneurysms (SAAs), of 30 mm (SSA1), 12 mm (SSA2) and 8 mm (SSA3) in diameter, in the distal arterial segment without contrast extravasation. |

|
Figure 4. Abdominal Doppler ultrasound showing a large liver abscess (85x52 mm). |
The majority of published data, usually base upon successful identification and management of hemosuccus pancreaticus. This emphasizes the fact, that the published incidence [2], usually reflecting successful cases, underestimates the true incidence of hemosuccus pancreaticus.
Despite of repeated attempts, identification of the source of bleeding resulted inconclusive in our case. The intermittent course of bleeding may have contributed to the lack of visualization of contrast extravasation. In the absence of ruptured pseudocyst or peripancreatic pseudoaneurysms, or evident arteriovenous malformations or pancreaticolithiasis-induced ductal wall ulcers [1, 2], one can easily assume that in our case hemosuccus pancreaticus occurred as a result of arterial wall necrosis or rupture of the vasa vasorum by pancreatic enzymes. Moreover, in the presence of splenic artery aneurysms, extra-pancreatic origin of hemosuccus pancreaticus should be suspected.
The late post-transplant setting of this event carries two interesting facts: the development of splenic artery aneurisms and thrombosis of the hepatic artery. Although pathophysiological mechanism of late splenic artery aneurysms after liver transplantation remains unclear, an increased flow of splenic artery associated with a reduced resistance of portal vein have been implicated as major factors [3, 4]. The patient was routinely followed by Doppler ultrasound every year after liver transplantation, so even if the pre-existence of splenic artery aneurysms cannot be excluded, we believe it is unlikely. Despite of indication for treatment of splenic artery aneurysms, the embolization of splenic artery aneurysms in our case was unfeasible. However, the development of hepatic artery thrombosis and multiple liver abscesses determined further management. The late hepatic artery thrombosis, defined as hepatic artery thrombosis occurring after the first 30 days of liver transplantation, is generally associated with less devastating course than in early hepatic artery thrombosis [5, 6, 7, 8]. The risk factors of late hepatic artery thrombosis include technical aspects of arterial anastomosis, coagulation abnormalities, hemodynamic alterations, immunological factors and atherosclerosis [5, 6, 7, 8]. Therefore, in our patient four years after liver transplantation, anastomotic stenosis of the hepatic artery, reduced blood flow and hypercoagulable state of acute pancreatitis predisposed the development of hepatic artery thrombosis. Considering unsuccessful treatment with broad-spectrum antibiotics and percutaneous drainage in the context of parent hemosuccus pancreaticus and synchronous splenic artery aneurysms, liver transplantation and splenectomy offered viable treatment options.
In summary, although rare, hemosuccus pancreaticus should be considered in the differential diagnosis of gastrointestinal bleeding late after liver transplantation. Therefore, the present case contributes to the emerging literature about this issue, emphasizing potential additional concern regarding management and treatment in a post-transplant setting.
Received November 13th, 2011 - Accepted November 15th, 2011
Key words Ampulla of Vater; Aneurysm; Hemorrhage; Hepatic Artery; Liver Transplantation; Pancreatitis; Splenic Artery; Thrombosis
Conflict of interest The authors have no potential conflict of interest
Correspondence
Anna
Mrzljak
Department
of Medicine
University Hospital Merkur
School of Medicine
University of Zagreb
Zajceva 19
10000 Zagreb
Croatia
Phone: +385.99.4888.345
Fax: +385-1.243.1016
E-mail: anna.mrzljak@mef.hr
References
1. Ray S, Das K, Ray S, Khamrui S, Ahammed M, Deka U. Hemosuccus pancreaticus associated with severe acute pancreatitis and pseudoaneurysms: a report of two cases. JOP 2011; 12:469-72. [PMID 21904073]
2. Vimalraj V, Kannan DG, Sukumar R, Rajendran S, Jeswanth S, Jyotibasu D, et al. Haemosuccus pancreaticus: diagnostic and therapeutic challenges. HPB (Oxford) 2009; 11:345-50. [PMID 19718363]
3. Ishizawa T, Sugawara Y, Hasegawa K, Ikeda M, Akahane M, Ohtomo K, Makuuchi M. Hepatobiliary and pancreatic: splenic artery aneurysm after liver transplantation. J Gastroenterol Hepatol 2006; 21:1213. [PMID 16824078]
4. Ayalon A, Wiesner RH, Perkins JD, Tominaga S, Hayes DH, Krom RA. Splenic artery aneurysm in liver transplant patients. Transplantation 1988, 45:386-9. [PMID 3278432]
5. Duffy JP, Hong JC, Farmer DG, Ghobrial RM, Yersiz H, Hiatt JR, Busuttil RW. Vascular complications of orthotopic liver transplantation: experience in more than 4,200 patients. J Am Coll Surg 2009; 208:896-903. [PMID 19476857]
6. Leonardi MI, Boin I, Leonardi LS. Late hepatic artery thrombosis after liver transplantation: clinical setting and risk factors. Transplant Proc 2004;36:967-9. [PMID 15194336]
7. Gunsar F, Rolando N, Pastacaldi S, Patch D, Raimondo ML, Davidson B, et al. Late hepatic artery thrombosis after orthotopic liver transplantation. Liver Transpl 2003; 9:605-11. [PMID 12783403]
8. Oh CK, Pelletier SJ, Sawyer RG, Dacus AR, McCullough CS, Pruett TL, Sanfey HA. Uni- and multi-variate analysis of risk factors for early and late hepatic artery thrombosis after liver transplantation. Transplantation 2001; 71:767-72. [PMID 11330540]