MULTIMEDIA ARTICLE - Clinical Imaging
JOP. J Pancreas (Online) 2012 Jan 10; 13(1):108-114.
Imaging Findings in Agenesis of the Dorsal Pancreas. Report of Three Cases
Manoranjan Mohapatra1,3, Sanjeet Mishra1, Prakash Chandra Dalai2, Sachin Dev Acharya3, Brundaban Nahak4, Md Ibrarullah4, Kedarnath Panda5, Sasanka Sekhar Mishra5
Departments of ¹Radiology and 2Gastroenterology, Pradyumna Bal Memorial Hospital, KIMS; Departments of 3Radiology, 4Surgical Gastroenterology, and 5Gastroenterology, Kalinga Hospital. Bhubaneswar, India
ABSTRACT
Context Agenesis of the dorsal pancreas is rare. The dorsal pancreatic agenesis is described in two forms, the partial and the complete form. Patients with this anomaly may be asymptomatic or may present with diabetes mellitus, epigastric pain, acute or chronic pancreatitis. Case report We report the computed tomography (CT), magnetic resonance imaging (MRI) and magnetic resonance cholangiopancreatography (MRCP) findings in three cases with dorsal pancreatic agenesis, one with partial and the other two with complete form. Speckled calcification at pancreatic head was observed in one patient. Lateral contour lobulation of pancreatic head which is seen in one third of normal population is believed to be due to variation in fusion between ventral and dorsal pancreas. In contrast, we observed lateral contour lobulation of pancreatic head in a case of complete agenesis of the dorsal pancreas where structures derived from dorsal pancreas are undeveloped. The ventral and dorsal pancreatic duct lengths were measured on MRCP images and we observed that in partial agenesis, the duct of Wirsung was shorter in length, compared to the duct of Santorini. The duct of Wirsung was relatively longer in cases of complete agenesis of the dorsal pancreas. Conclusion The CT, MRI and MRCP findings in dorsal pancreatic agenesis and the relationship between the length of ventral duct with the type of dorsal pancreatic agenesis will provide a new insight into this particular anomaly.
INTRODUCTION
Agenesis of the dorsal pancreas is an extremely rare anomaly which results from defective development of pancreas. It may be asymptomatic and incidentally detected on cross sectional imaging. Till now less than 100 cases of dorsal agenesis of pancreas have been reported in the world literature. We report three cases of dorsal agenesis of pancreas which were detected between July 2010 and October 2011 at our institution. Dorsal pancreatic agenesis was suspected in all three patients on initial ultrasonography examination conducted at our institution. Computed tomography (CT) evaluation was done in all cases to confirm the diagnosis of dorsal pancreatic agenesis and identify pancreatic calcification, if any. The pancreatic ducts were further evaluated by magnetic resonance imaging (MRI) and magnetic resonance cholangiopancreatography (MRCP) method. Based on the above imaging findings, two cases were diagnosed to have complete agenesis and remaining one as partial agenesis of the dorsal pancreas. Lateral contour bulging of pancreatic head was observed in two patients irrespective of partial or complete form of the dorsal agenesis of the pancreas. We present some new observations on imaging of this rare anomaly.
CASE REPORTS
Case #1
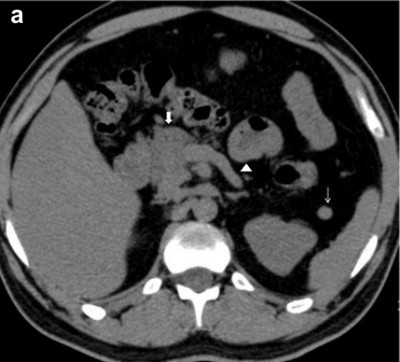
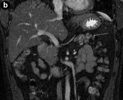
A 30-year-old male known diabetic for previous 3 years was investigated at our hospital for epigastric discomfort. His fasting plasma glucose was 166 mg/dL (reference range: 70-106 mg/dL). The serum amylase and lipase levels were within normal limits. He had no history of pain abdomen or hepatobiliary disease in the past. On ultrasound examination the head of pancreas was visible. The pancreatic body and tail were not identified and the space anterior to splenic vein was filled with ill defined echogenic structures. CT and MRI scan of abdomen confirmed the absence of body and tail of pancreas and the above space was occupied by transverse colon and jejunal loops (Figure 1ab). The pancreatic head was normal in size, density and enhancement pattern. No focal calcification at head was seen. The situs was normal and there was polysplenia. No other structural abnormality of abdominal organs was seen. MRCP was further carried out to confirm the diagnosis and identify whether the dorsal duct was present or absent, so as to classify it as partial or complete form of dorsal pancreatic agenesis. The dorsal duct was absent in its entire extent and a short non dilated ventral duct was present, suggestive of complete agenesis of the dorsal pancreas (Figure 1c). On endoscopic ultrasonography study, the minor papilla, dorsal duct, body and tail of pancreas were absent, confirming the diagnosis of complete agenesis of the dorsal pancreas. He was treated with insulin and with this treatment he was symptom free.



|
Figure 1. Case #1. a. Axial non-contrast computed tomography image shows normal size pancreatic head (thick arrow), splenunculus (thin arrow), stomach and bowel loops in pancreatic bed anterior to splenic vein(arrow head) described as dependent stomach and dependent intestine signs. b. Coronal T2W fast imaging employing steady state acquisition MR image depicts transverse colon in distal pancreatic bed (arrow). c. MRCP image demonstrates ventral pancreatic duct (thick arrow) and common bile duct (thin arrow). |
Case #2
A 35-year-old lady investigated for recent onset of diabetes mellitus. She had no family history of diabetes mellitus. She had no history of pain abdomen, hepatobiliary disease or viral illness in childhood. She had ultrasound examination one month earlier at another institution which was interpreted as normal. Ultrasound examination at our institution revealed normal situs with visualization of pancreatic head. The body and tail were not visualized. She had polysplenia and bicornuate uterus. On non-contrast computed tomography examination the pancreatic head was enlarged in size with speckled calcification in the parenchyma (Figure 2a). The pancreatic body and tail were absent. The space anterior to splenic vein was occupied by stomach and small bowel loops (Figure 2bcd). On CECT examination there was homogeneous enhancement of the head with lobulated lateral contour (Figure 2e). The discrete lobule at head measuring 22 mm approximately was posteriorly oriented in relation to superior pancreaticoduodenal artery (type II). The liver, gallbladder and kidneys were normal. On MRCP examination two short pancreatic ducts, one ventral duct and other proximal part of dorsal duct were visualized (Figure 2f). None of these ducts were dilated. The duct at body and tail region was absent confirming the diagnosis of partial agenesis of dorsal pancreas. She was treated with insulin.

|
Figure 2. Case #2. a. Axial non-contrast computed tomography image depicts focal calcification (arrow) in the head of pancreas. b. Axial CECT scan image shows dependent stomach sign (thick arrow). c. Axial T1W fat saturated spoiled gradient MR image depicts bowel loops (thin arrow) in distal pancreatic bed having same signal intensity to pancreatic head (thick arrow). d. Axial T2W fast spin echo MR image depicts bowel loops (thin arrow) in distal pancreatic bed having different signal intensity from pancreatic head (thick arrow). e. Axial CECT image depicts type II contour bulging of pancreatic head (asterisk), anterior superior pancreaticoduodenal artery (thick arrow), focal calcification (thin arrow). f. Three dimensional volume rendered MRCP image demonstrates two pancreatic ducts, ventral duct (thick arrow) having shorter length compared to dorsal duct (thin arrow). |
Case #3
A 35-year-old lady presented with nausea and intermittent pain in epigastric region. She had two such episodes of pain within a period of one year prior to presentation. During the above episodes her serum amylase and lipase levels were within normal limits. On investigation her fasting blood sugar level was normal, though she had impaired glucose tolerance test. She had no history of hepatobiliary disease or viral illness in childhood. Her initial ultrasonography examination at another institution was reported as normal. Ultrasonography examination at our institution revealed enlarged head with absence of body and tail. CT and MRI examination of pancreas showed absence of pancreatic body and tail, and the distal pancreatic bed was occupied by stomach, bowel loops along with small amount of fatty tissue (Figure 3ab). The pancreatic head was enlarged in size and showing two discrete lobulations at lateral contour on inferior aspect (Figure 3cde). Of the two lobules at head, one was oriented anteriorly (type I) and another lobule was oriented posteriorly (type II) in relation to superior pancreaticoduodenal artery (Figure 3c). The anteriorly and posteriorly oriented lobules were measuring 13 mm and 19 mm, respectively. The superior part of head was located medial and posterior to caudate lobe of liver. No focal calcification in pancreatic head was seen. She had fatty infiltration of liver and replaced right hepatic artery originating from superior mesenteric artery. The gastroduodenal artery was originating from replaced right hepatic artery. MRI and MRCP study confirmed absence of pancreatic body, tail as well as the dorsal duct. The ventral duct was present and it was not dilated (Figure 3f). Her epigastric pain was subsided following treatment with analgesics, proton pump inhibitor and pancreatic enzyme supplement.

|
Figure 3. Case #3. Thick slab maximum intensity projection coronal CECT image depicting stomach (thick arrow) abutting splenic vein (thin arrow). b. Axial T2W fast spin echo MR image depicts pancreatic head (thick arrow), splenic vein (short arrow), bowel loops in distal pancreatic bed (asterisk). c. CECT axial image depicts anterior lobulation (asterisk) and posterior lobulation of the head (thick arrow), anterior superior pancreaticoduodenal artery (short arrow). d. Axial fat saturated T1W spoiled gradient MR image depicts pancreatic head lobulations. e. Axial fast spin echo T2W MR image depicts pancreatic head lobulations. f. MRCP maximum intensity projection depicts short ventral duct (thick arrow) and common bile duct (thin arrow). No dorsal duct was seen. |
DISCUSSION
The pancreas is formed by ventral and dorsal endodermal buds. The dorsal bud forms the upper part of the head, body and tail of the pancreas and drains through the duct of Santorini. The ventral bud gives rise to the major part of the head and uncinate process which drains through the duct of Wirsung. At 6-7 weeks of gestation the fusion between ventral and dorsal pancreas occurs. During the complex development, congenital abnormalities can occur. Complete agenesis of the pancreas and agenesis of the ventral pancreas are not compatible with life [1]. Agenesis of the dorsal pancreas is described in two forms; partial or complete. In complete dorsal agenesis, the minor papilla, accessory pancreatic duct, body and tail of the pancreas are absent. In partial agenesis, the minor papilla with a remnant of the accessory pancreatic duct and the neck and proximal body of pancreas are present [2].
In dorsal pancreatic agenesis, the body and tail are absent and the pancreatic bed anterior to splenic vein is filled with stomach and bowel loops described as dependent stomach and dependent intestine sign on CT [3]. The stomach and intestinal loops when air filled appear as an echogenic structure in the pancreatic bed that may interfere with adequate visualization of body and tail of pancreas, on ultrasonography examination. This may be misinterpreted as normal body and tail of pancreas on ultrasound examination by inexperienced examiner as happened in two of our cases. In another such case reported by Uygur-Bayramicli et al., the initial ultrasound study was also interpreted as normal [4]. When ultrasonography examination is suboptimal, we have found that the adequately distended fluid filled stomach following water ingestion provides a good window for proper visualization of the pancreatic body and tail. CT and MRI studies are useful for evaluating pancreatic body and tail when above method fails. The dependent stomach and dependent intestine signs were observed in all three of our cases, irrespective of whether they belong to complete or partial form of dorsal pancreatic agenesis. The CT equivalent of dependent stomach and dependent intestine sign can also be observed on MR images. We have observed that T2 weighted sequence on MRI is better than T1 weighted fat saturated spoiled gradient sequence for depicting presence of bowel loops in pancreatic bed. In the later sequence, the collapsed small bowel loops in the distal pancreatic bed appear isointense with the pancreatic head and may be misinterpreted as normal pancreatic body and tail in absence of any intervening gap between them.
The distal pancreatic lipomatosis and pseudoagenesis must be considered in the differential diagnosis of dorsal agenesis [3, 4, 5, 6]. Atrophy of the body and the tail of pancreas secondary to acute or chronic pancreatitis, with sparing of the uncinate process may mimic dorsal pancreatic agenesis and has been labeled as pseudoagenesis of the pancreas [7, 8]. This can be differentiated by demonstrating dorsal duct which is either absent or very short in dorsal agenesis and it is usually present in lipomatosis and pseudoagenesis [5, 6, 7]. The above finding along with dependent stomach and/or dependent intestine signs on multidetector CT can allow differentiation of the agenesis of dorsal pancreas from distal lipomatosis obviating invasive procedure like angiography.
We agree with the observation made by Pasaoglu et al. that the diagnosis of agenesis of the dorsal pancreas is inconclusive without demonstration of the absence of dorsal pancreatic duct, either with endoscopic retrograde pancreatography or MRCP [8]. We found MRCP extremely useful in all our cases in detecting the dorsal duct which was absent in two and was very short proximally in one, obviating the need for ERCP procedure.
Focal calcification at head was observed in only one of our case which was of partial form of agenesis of the dorsal pancreas. To the best of our knowledge, up till now, only two cases have been reported in the literature where dorsal pancreatic agenesis was associated with CT findings of focal speckled calcification in pancreatic head [9, 10]. However, the patients had complete form of agenesis of the dorsal pancreas in both of these cases.
We measured the pancreatic duct length and diameter in all our patients. MR and MRCP images were used for obtaining the ductal measurements. We observed that in partial agenesis of the dorsal pancreas, the duct of Wirsung was shorter in length compared to the duct of Santorini. The duct of Wirsung was relatively longer in cases of complete agenesis of the dorsal pancreas (Table 1).
|
Table 1. Imaging findings on CT and MRI with MRCP. |
||||
|
|
Calcification |
Duct of Santorini’s length (mm) |
Duct of Wirsung’s length (mm) |
Type of agenesis |
|
Case #1 |
Absent |
Absent |
14 |
Complete |
|
Case #2 |
Present |
11 |
5.4 |
Partial |
|
Case #3 |
Absent |
Absent |
21 |
Complete |
From the above observation, we hypothesize that this variation may be due to the fact that when the pancreatic duct is single (as in complete agenesis, where only the duct of Wirsung is present) and it has to drain the head and uncinate process alone, its length has to be proportionately longer to drain the larger area. On the other hand when both ducts are present as in partial agenesis, the draining territory is shared between them; hence it (duct of Wirsung) develops to relatively shorter length.
In a study reported by Ross et al., discrete lobulation of the head of pancreas greater than 1 cm in maximal dimension have been found in 34.5% of general population and is classified into 3 types, according to their relation to the gastroduodenal artery or anterior superior pancreaticoduodenal artery [11]. In that study, head lobulation in association with dorsal pancreatic agenesis has not been mentioned probably due to rarity of this anomaly. Enlarged pancreatic head with lateral contour lobulation was observed in two of our cases irrespective of partial or complete form of agenesis of the dorsal pancreas. One of them exhibited two discrete lobulations at head, one directed anteriorly (type I) and another directed posteriorly (type II). This type of variation having more than one lobulation of the head has not been reported earlier. We differ with the hypothesis made by Ross et al. where they believe that lateral contour bulging of the pancreatic head represent a fusion pattern of dorsal and ventral analogues of the pancreas, as one of our patient had complete agenesis of dorsal pancreas in which the structures derived from dorsal analge are absent [11].
The clinical presentation of dorsal pancreatic agenesis can range from complete absence of symptoms to non specific abdominal pain, diabetes mellitus, pancreatitis and sometimes exocrine pancreatic insufficiency. There is no established guideline for treatment of this anomaly. The consensus has been to treat only symptomatic patients with dorsal agenesis of the pancreas.
Pain abdomen has been the commonest symptom seen in approximately 92.9% cases with this anomaly reported in literature [12]. The pain has been assumed to be due to pancreatitis, duodenal obstruction, sphincter of Oddi dysfunction or autonomic neuropathy [6, 13, 14]. In most occasions the pain is localized to epigastric region which is aggravated following meals. Pain unrelated to pancreatitis has been managed by various methods like gastrointestinal decompression, total parenteral alimentation, low fat diet, anti diabetic therapy and analgesics [15]. The epigastric discomfort and abdominal pain in two of our patients were thought to be of non specific in nature as there was no evidence of pancreatitis on imaging and laboratory studies. The epigastric discomfort in our first case could be due to autonomic neuropathy as the symptom was relieved following adequate control of blood sugar. The epigastric pain in the other case was subsided following treatment with analgesics, pancreatic enzyme supplement (protease) and proton pump inhibitor.
Sphincter of Oddi dysfunction or dyskinesia, compensatory hypertrophy and hypersecretion of the remaining ventral pancreas with raised intraductal pressure have been proposed to explain pancreatitis [7, 14]. Rakesh et al. have reported four cases of acute pancreatitis in association with agenesis of dorsal pancreas which have been managed conservatively [16].
The second most common clinical manifestation in association with this anomaly has been diabetes mellitus, which is seen in approximately 43% of cases. Abnormal glucose tolerance has been seen in another 7% of cases with this anomaly [12, 17].
When diabetes mellitus is associated with dorsal pancreatic agenesis, it is mostly of adult onset type with reported age range between 28 to 39 years. The age of onset of diabetes mellitus in our cases were within the above range. Despite the congenital absence of dorsal pancreas where the beta-cells are maximally located, resulting in impaired insulin secretion, hyperglycemia has been demonstrated only in approximately 50% of reported patients with this anomaly [17]. The cause of development of diabetes mellitus in dorsal agenesis of pancreas has not yet been convincingly established. In an article by Rahier et al., development of diabetes mellitus in hemipancreatectomy patients have been analyzed. Their inference could throw some light on the cause of development of diabetes mellitus in patients with dorsal agenesis of pancreas. In that study, it has been stated that a large (50-60%) decrease in beta cell mass may not be sufficient to consistently cause diabetes, and alteration in beta cell function is quite important for onset and progression of diabetes mellitus [18]. There are reports where mutations in TCF2 (vHNF1, HNF1beta) gene are associated with pancreatic hypoplasia and maturity onset diabetes of the young type-5, a form of dominantly inherited type II diabetes mellitus characterized by pancreatic beta cell dysfunction at around the age of 25 years [19]. This genetic mutation could be responsible for late onset of diabetes mellitus as well as agenesis of the dorsal pancreas.
Cases of dorsal pancreatic agenesis having diabetes mellitus as the only symptom are mostly managed with anti diabetic treatment. The steatorrhea, which is a manifestation of pancreatic exocrine insufficiency, is managed with supplementation of pancreatic enzymes (lipase).
Other associated anomalies in our cases were polysplenia, replaced right hepatic artery from superior mesenteric artery, gastroduodenal artery originating from right hepatic artery and bicornuate uterus. It is mentioned in an article by Du et al., that the patients with polysplenia and short pancreas (partial agenesis of dorsal pancreas) are not diabetic [15]; however, one of our patients with polysplenia was diabetic. None of these cases had family members having agenesis of dorsal pancreas on imaging. None of them had undergone chromosomal study. All three patients were non alcoholic and none had history of hereditary pancreatitis, viral illness in the past, or intake of drugs which can cause pancreatitis. None of them were investigated for autoimmune or tropical pancreatitis. MRI with MRCP study in all three cases, depicted dependent stomach and/or intestine sign with short or absence of dorsal duct there by obviating the need for evaluation by invasive procedures like ERCP. In cases of suspected agenesis of the dorsal pancreas, MRI with MRCP may be the imaging procedure of choice for confirmation [20].
CONCLUSION
With the availability of cross sectional imaging, more and more number of cases of agenesis of dorsal pancreas have been detected and reported in the last decade. This diagnosis can be missed on ultrasound examination due to bowel loops interfering with adequate visualization of body and tail of pancreas. MRI combined with MRCP can accurately depict the pancreatic duct as well as parenchyma; thereby, can obviate the need for two different modalities, namely CT and ERCP for detection of parenchymal abnormality and ductal abnormality, respectively. In future with publication of more and more case reports on agenesis of the dorsal pancreas, new observations on imaging may come up and provide a new insight into this anomaly.
Received November 19th, 2011 - Accepted December 21st, 2011
Key words Cholangiopancreatography, Magnetic Resonance; Magnetic Resonance Imaging; Pancreas agenesis, dorsal; Pancreatitis, Chronic; Tomography
Acknowledgement Thanks to Satyasundar Basa and Sanmugam Venkatesan for providing the images. Special thanks to my wife Ruby Mishra for editing this article
Grant or financial support received for this work Nil
Conflict of interest The authors have no potential conflict of interest
Correspondence
Manoranjan
Mohapatra
Department of Radiology
Kalinga Institute of Medical Sciences, KIIT Campus
Bhubaneswar
India
Phone: +91-674-272.5472; +91-0943.700.7273
Fax: +91-674.272.5415
E-mail: drmanoranjan@rediffmail.com
References
1. Voldsgaard P, Kryger-Baggesen N, Lisse I. Agenesis of pancreas. Acta Paediatr 1994; 83:791-3. [PMID 7949819]
2. Schnedl WJ, Reisinger EC, Schreiber F, Pieber TR, Lipp RW, Krejs GJ. Complete and partial agenesis of the dorsal pancreas within one family. Gastrointest Endosc 1995; 42(5):485-7. [PMID 8566643]
3. Karcaaltincaba M. CT differentiation of distal pancreas fat replacement and distal pancreas agenesis. Surg Radiol Anat 2006; 28:637-641. [PMID 17033736]
4. Uygur-Bayramicli O, Dabak R, Kilicoglu G, Dolapcioglu C, Oztas D. Dorsal pancreatic agenesis. JOP 2007; 8: 450-452. [PMID 17625298]
5. Shah KK, De Ridder PH, Schwab RE et al. CT diagnosis dorsal pancreas agenesis. J Comput Assist Tomogr 1987; 11(1): 170-1. [PMID 3805410]
6. Lechner GW, Read RC. Agenesis of the dorsal pancreas in an adult diabetic presenting with duodenal ileus. Ann Surg 1966; 163 (2) :311-14. [PMID 5906622]
7. Gold RP. Agenesis and pseudoagenesis of the dorsal pancreas. Abdominal Imaging 1993; 18(2):141-144. [PMID 8439753]
8. Pasaoglu L, Vural M, Hatipoglu H G, Tereklioglu G, Koparala S. Agenesis of the dorsal pancreas. World J Gastroenterol 2008 May 14; 14(18):2915-2916. [PMID 18473421]
9. Balakrishnan V, Narayanan V A, Siyad I, Laxmi R , Prem N. Agenesis of the dorsal pancreas with chronic calcific pancreatitis . Case report, Review of the literature and genetic basis. JOP 2006 Nov 10 ; 7(6):651-659 . [PMID 17095847]
10. Maier M, Wiesner W, Mengiardi B. Annular pancreas and agenesis of the dorsal pancreas in a patient with polysplenia syndrome. AJR2007;188(2):150-153. [PMID 17242221]
11. Ross BA, Jeffrey RB Jr, Mindelzun RE. Normal variations in the lateral contour of the head and neck of the pancreas mimicking neoplasm: evaluation with dual-phase helical CT. Am J Roentgenol 1996;166:799-801. [PMID 8610553]
12. Sempere L, Aparicio JR, Martinez J, Casellas JA, Dee Madaria E, Perez-Mateo M. Role of endoscopic ultrasound in diagnosis of agenesis of the dorsal pancreas. JOP. J Pancreas (Online) 2006; 7:411-6. [PMID 16832139]
13. Klein WA, Friedman AC, Caroline DF, Boden GH, et al. Agenesis of dorsal pancreas in patient with weight loss and diabetes mellitus. Dig Dis Sci; 1994:1708-13. [PMID 8050322]
14. Nishimori I, Okazaki K, Mortita M, Miyao M, Sakamoto Y et al. Congenital hypoplasia of the dorsal pancreas with special reference to duodenal papillary dysfunction. Am J Gastroenterol 1990;85:1029-33. [PMID 2197855]
15. Du J, Xu GQ, Xu P, Jin EY, Liu Q, Li YM. Congenital short pancreas. Chin Med J 2007; 120(3):259-262. [PMID 17355836]
16. Rakesh K, Choung OW, Reddy DN. Agenesis of the dorsal pancreas (ADP) and pancreatitis - is there an association? Indian J Gastroenterol 2006; 25:35-6. [PMID 16567893]
17. Schnedl WJ, Piswanger-soelkner C, wallner SJ, Krause R, Lipp RW. Agenesis of the dorsal pancreas. World J Gastroenterol 2009; 15(3):376-377. [PMID 19140241]
18. Rahier J, Guiot Y, Goebbels RM, Sempoux C, Henquin JC. Pancreatic beta-cell mass in European subjects with type 2 diabetes. Diabetes Obes Metab. 2008 Nov;10 Suppl 4:32-42. [PMID 18834431]
19. Haumaitre C, Barbacci E, Jenny M, Ott MO, Gradwohl G, Cereghini S. Lack of TCF2/vHNF1 in mice leads to pancreas agenesis. Proc Natl Acad Sci U S A 2005; 102:1490-5. [PMID 15668393]
20. Macari M, Giovanniello G, Blair L, Krinsky G. Diagnosis of agenesis of the dorsal pancreas with MR pancreatography. Am J Roentgenol 1998; 170 (1):144-6. [PMID 9423620]