Adrenal Cavernous Hemangioma: A Case Report with Review of the Literature

Authors

  • Joseph Joonho Noh Division of Hepatobiliary and Pancreas, Department of Surgery, Yonsei University, College of Medicine, Seoul, Korea
  • Sung Hoon Choi Division of Hepatobiliary and Pancreas, Department of Surgery, CHA Bundang Medical Center, CHA University, Seongnam, Korea
  • Ho Kyoung Hwang Division of Hepatobiliary and Pancreas, Department of Surgery, Yonsei University, College of Medicine, Seoul, Korea
  • Chang Moo Kang Division of Hepatobiliary and Pancreas, Department of Surgery, Yonsei University, College of Medicine, Seoul, Korea
  • Woo Jung Lee Division of Hepatobiliary and Pancreas, Department of Surgery, Yonsei University, College of Medicine, Seoul, Korea

DOI:

https://doi.org/10.6092/1590-8577/2402

Keywords:

Adrenal Glands, Adrenalectomy, Hemangioma, Cavernous, Laparoscopy

Abstract

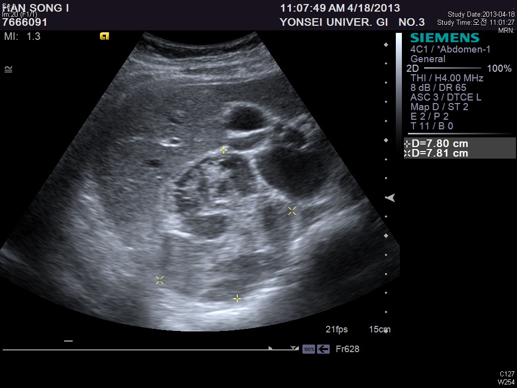
Context Adrenal cavernous hemangioma is a rare type of tumor that is usually diagnosed post-operatively. There have only been approximately 63 cases reported in the literature to date. Case report We report a case of adrenal cavernous hemangioma in a 27-year-old pregnant woman. The mass was discovered on ultrasonography when she visited a gastroenterologist for vague epigastric discomfort and vomiting. The laboratory tests were within normal limits and did not show any features suggestive of adrenal endocrinologic dysfunction. Computed Tomography (CT) revealed a well-defined 7.8 × 7.8 oval mass in the right adrenal gland with speckled calcifications. The mass was removed by transabdominal laparoscopic surgery. Strong positive immunostaining for CD31 and CD34 with weakly positive staining for podoplanin/D2-40 confirmed the diagnosis of cavernous hemangioma. Conclusions We reviewed 52 case reports of adrenal cavernous hemangioma in an attempt to identify tumor characteristics. More than half of the patients reviewed showed a heterogeneous internal structure of the mass with peripheral patchy enhancement on CT. They also showed focal or speckled calcifications either on X-ray or CT. Nevertheless, many of these characteristics overlap with the imaging phenotypes of other common diseases of the adrenal gland and therefore do not seem to provide definite evidence for differential diagnosis. Laparoscopic approach is a feasible and safe modality to remove adrenal cavernous hemangiomas because they seem to form a rigid fibrotic capsule; hence the risk of bleeding due to surgical manipulation is relatively low.

Image: Round and encapsulated fibrotic tumor.

Downloads

Download data is not yet available.

References

Johnson CC, Jeppesen FB. Hemangioma of the adrenal. J Urol 1955; 74:573-7. [PMID:13272266]

Bovio S, Cataldi A, Reimondo G, Sperone P, Novello S, Berruti A, Borasio P, et al. Prevalence of adrenal incidentaloma in a contemporary computerized tomography series. J Endocrinol Invest 2006; 29:298-302. [PMID:16699294]

Guerrero MA, Schreinemakers JM, Vriens MR, Suh I, Hwang J, Shen WT, Gosnell J, et al. Clinical spectrum of pheochromocytoma. J Am Coll Surg 2009; 209:727-32. [PMID:19959041]

Ng L, Libertino JM. Adrenocortical carcinoma: diagnosis, evaluation and treatment. J Urol 2003; 169:5-11. [PMID:12478091]

Reddy KR, Kligerman S, Levi J, Livingstone A, Molina E, Franceschi D, Badalamenti S, et al. Benign and solid tumors of the liver: relationship to sex, age, size of tumors, and outcome. Am Surg 2001; 67:173-8. [PMID:11243545]

Kim GE, Thung SN, Tsui WMS, Ferrell LD. Hepatic cavernous hemangioma: underrecognized associated histologic features. Liver Int 2006; 26:334-8. [PMID:16584396]

Gupta A, Prabhakaran VC, Dodd T, Davis G, Selva D. Orbital cavernous haemangiomas: immunohistochemical study of proliferative capacity, vascular differentiation and hormonal receptor status. Orbit 2012; 31:386-9. [PMID:23088382]

Kaya AH, Ulus A, Bayri Y, Topal A, Gun S, Kandemir B, Dagcinar A, et al. There are no estrogen and progesterone receptors in cerebral cavernomas: a preliminary immunohistochemical study. Surg Neurol 2009; 72:263-5. [PMID:19147189]

Boraschi P, Campatelli A, Di Vito A, Perri G. Hemorrhage in cavernous hemangioma of the adrenal gland: US, CT and MRI appearances with pathologic correlation. Eur J Radiol 1995; 21:41-3. [PMID:8654457]

Kieger AJ, Nikolaidis P, Casalino DD. Adrenal gland hemangioma. J Urol 2011; 186:2415-6. [PMID:22019159]

Yamada T, Ishibashi T, Saito H, Majima K, Tsuda M, Takahashi S, Moriya T. Two cases of adrenal hemangioma: CT and MRI findings with pathologic correlations. Radiat Med 2002; 20:51-6. [PMID:12002605]

Telem DA, Nguyen SQ, Chin EH, Weber K, Divino CM. Laparoscopic resection of giant adrenal cavernous hemangioma. JSLS 2009; 13:260-2. [PMID:9660229]

Round and encapsulated fibrotic tumor

Downloads

Published

2014-05-27

How to Cite

Noh, J. J., Choi, S. H., Hwang, H. K., Kang, C. M., & Lee, W. J. (2014). Adrenal Cavernous Hemangioma: A Case Report with Review of the Literature. JOP. Journal of the Pancreas, 15(3), 254–257. https://doi.org/10.6092/1590-8577/2402

Issue

Section

CASE REPORTS