Hepatoid Variant of Pancreatic Cancer: Insights from a Case and Literature Review

Authors

  • Shounak Majumder Department of Internal Medicine, University of Connecticut. Farmington, CT, USA
  • Constantin A Dasanu Department of Hematology-Oncology, Saint Francis Medical Center. Hartford, CT, USA

DOI:

https://doi.org/10.6092/1590-8577/1476

Keywords:

alpha-Fetoproteins, Carcinoma, Hepatocellular, Pancreatic Neoplasms

Abstract

Context “Hepatoid” cancer refers to an extrahepatic neoplasm with hepatocellular differentiation. The stomach is the most common site and pancreatic origin is distinctly uncommon. Case report We describe a patient with hepatoid pancreatic tumor who presented with inoperable metastatic disease. Conclusion Serum levels or tissue staining with alpha-fetoprotein (AFP) may not be a reliable tumor marker in these cases and an experienced pathologist and appropriate immunohistochemical staining are essential for early diagnosis. This report incorporates a comprehensive literature review outlining the clinical presentation, diagnostic difficulties, management and outcomes associated with this rare pathological entity.

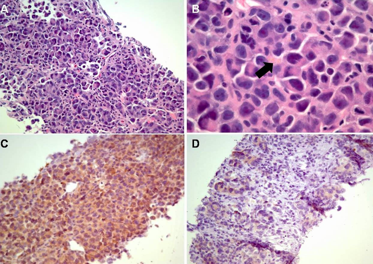
Image: Liver biopsy.

Downloads

Download data is not yet available.

References

Ishikura H, Fukasawa Y, Ogasawara K, et al.An AFP-producing gastric carcinoma with feature of hepatic differentiation: a case report. Cancer 1985;56:840-8

Metzgeroth G, Ströbel P, Baumbusch T, Reiter A, Hastka J. Hepatoid adenocarcinoma - review of the literature illustrated by a rare case originating in the peritoneal cavity. Onkologie. 2010;33:263-9.

Hruban RH, Molina JM, Reddy MN, et al. A neoplasm with pancreatic and hepatocellular differentiation presenting with subcutaneous fat necrosis.Am J Clin Pathol. 1987;88:639-45

Paner GP, Thompson KS, Reyes CV. Hepatoid carcinoma of the pancreas. Cancer. 2000;88:1582-9

Tanno S, Obara T, Fujii T, et al. Alpha-Fetoprotein-producing adenocarcinoma of the pancreas presenting focal hepatoid differentiation. Int J Pancreatol. 1999;26:43-7.

Yano T, Ishikura H, Wada T, et al. Hepatoid adenocarcinoma of the pancreas. Histopathology. 1999;35:90-2

Hughes K, Kelty S, Martin R. Hepatoid carcinoma of the pancreas. Am Surg. 2004;70:1030-3

Shih NN, Tsung JS, Yang AH, et al. A unique pancreatic tumor with exclusive hepatocytic differentiation. Ann Clin Lab Sci. 2006 Spring;36:216-21

Matsueda K, Yamamoto H, Yoshida Y, et al. Hepatoid carcinoma of the pancreas producing protein induced by vitamin K absence or antagonist II (PIVKA-II) and alpha-fetoprotein (AFP). J Gastroenterol. 2006;41:1011-9

Liu CZ, Hu SY, Wang L, et al. Hepatoid carcinoma of the pancreas: a case report. Chin Med J (Engl). 2007;120:1850-2

Hameed O, Xu H, Saddeghi S, et al. Hepatoid carcinoma of the pancreas: a case report and literature review of a heterogeneous group of tumors. Am J Surg Pathol. 2007;31:146-52

Petrelli F, Ghilardi M, Colombo S, et al. A rare case of metastatic pancreatic hepatoid carcinoma treated with sorafenib. J Gastrointest Cancer. 2012;43:97-102

Huang SC, Chang HC, Yeh TS, Ng KF, Chen TC. Hepatoid microcarcinoma of the pancreas: a case report and review of the literature. Chang Gung Med J. 2012;35:285-91.

Kai K, Nakamura J, Ide T, et al. Hepatoid carcinoma of the pancreas penetrating into the gastric cavity: a case report and literature review. Pathol Int. 2012;62:485-90.

Liver biopsy

Downloads

Published

2013-07-10

How to Cite

Majumder, S., & Dasanu, C. A. (2013). Hepatoid Variant of Pancreatic Cancer: Insights from a Case and Literature Review. JOP. Journal of the Pancreas, 14(4), 442–445. https://doi.org/10.6092/1590-8577/1476