Collision Tumors: Pancreatic Adenocarcinoma and Mantle Cell Lymphoma

Authors

  • Constantin A Dasanu Department of Hematology-Oncology, St. Francis Hospital and Medical Center. Hartford, CT, USA
  • Alexei Shimanovsky Department of Internal Medicine, University of Connecticut Medical Center. Farmington, CT, USA
  • Edyta K Rotundo Department of Anatomic and Clinical Pathology, St. Francis Hospital and Medical Center. Hartford, CT, USA
  • Anthony F Posteraro Department of Radiology, St. Francis Hospital and Medical Center. Hartford, CT, USA
  • Dennis L Cooper Department of Hematology, Yale University School of Medicine. New Haven, CT, USA
  • Jonessa A Atienza Department of Internal Medicine, University of Connecticut Medical Center. Farmington, CT, USA

DOI:

https://doi.org/10.6092/1590-8577/1533

Keywords:

collision tumors, pancreatic adenocarcinoma, mantle cell lymphoma, cyclin D1

Abstract

Context Collision tumors are very rare entities composed of two or more distinct tumor components, each separated by normal tissue. Perhaps due to technical advances in the last decade, the incidence of collision tumors has been on the rise. To the best of our knowledge, collision tumors featuring mantle cell lymphoma and pancreatic adenocarcinoma have not been previously described in the scientific literature. Case report For the first time, we describe herein the clinical course of a collision tumor between pancreatic adenocarcinoma and mantle cell lymphoma. Discussion We hypothesize several aspects in the pathogenesis of a such event and review the existing literature on collision tumors.

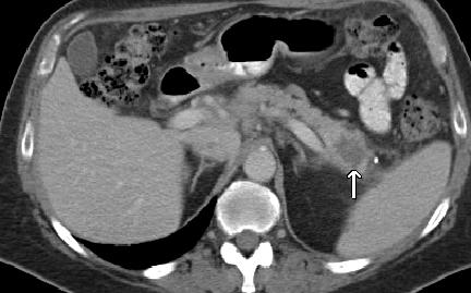
Image: PET/CT scan showing extensive FDG-avid tumor featuring.

Downloads

Download data is not yet available.

Author Biography

Constantin A Dasanu, Department of Hematology-Oncology, St. Francis Hospital and Medical Center. Hartford, CT, USA

Department of Hematology-Oncology, Saint Francis Hospital and Medical Center, Hartford, CT, USA

References

Jares P, Campo E. Advances in the understanding of mantle cell lymphoma. Br J Haematol. 2008;142(2):149-65.

Diehl J, Benzeno S. Cyclin D1 and pancreatic carcinoma: a proliferative agonist and chemotherapeutic antagonist. Clin Cancer Res. 2005;11;5665.

Krieger S, Gauduchon J, Roussel M, et al. Relevance of cyclin D1b expression and CCND1 polymorphism in the pathogenesis of multiple myeloma and mantle cell lymphoma. BMC Cancer. 2006; 6:238.

Gansauge S, Gansauge F, Ramadani M, Stobbe H. Overexpression of cyclin D1 in human pancreatic carcinoma is associated with poor prognosis. Cancer Res 1997;57:1634-1637.

Ekelund GR, Pihl B. Multiple carcinomas of the colon and rectum. Cancer 1974;33:1630–4.

Barron BA, Localio SA. A statistical note on the association of colorectal cancer and lymphoma. Am J Epidemiol 1976;104: 517–22.

Wahner-Roedler DL, Reynolds CA, Boughey JC. Collision tumors with synchronous presentation of breast carcinoma and lymphoproliferative disorders in the axillary nodes of patients with newly diagnosed breast cancer: a case series. Clin Breast Cancer. 2011;11(1): 61-6.

Doggui MH, Ben Yaghlène L, Hefaiedh R, et al. A gastric collision tumor composed of adenocarcinoma and gastrinoma: case report. Tunis Med. 2008;86(8):755-7.

Sun Y, Shi YF, Zhou LX, et al. Synchronous pulmonary squamous cell carcinoma and mantle cell lymphoma of the lymph node. Case Rep Genet. 2011;2011:945181.

Komatsu D, Sakurai M, Nakafuji H, et al. Granulocyte colony stimulating factor-producing collision tumor of the gastric cardia. J Gastroenterol 2003;38:1013–15.

Nishino N, Konno H, Baba S, et al. Synchronous lymphoma and adenocarcinoma occurring as a collision tumor in the stomach: report of a case. Surg Today. 1996;26:508–12.

Spagnolo DV, Heenan PJ. Collision carcinoma at the esophagogastric junction: report of two cases. Cancer. 1980;46:2702–8.

Niu GM, Jin da Y, Ji Y, et al Survival analysis of pancreatic and periampullary collision cancers. J Dig Dis. 2010;11(4):231-6

Cornes JS. Multiple primary cancers: primary malignant lympho- mas and carcinomas of the intestinal tract in the same patient. J Clin Pathol 1960;13:483–9.

Kanehira K, Braylan RC, Lauwers GY. Early phase of intestinal mantle cell lymphoma: a report of two cases associated with advanced colonic adenocarcinoma. Mod Pathol 2001;14:811–7.

Padmanabhan V, Trainer TD. Synchronous adenocarcinoma and mantle cell lymphoma of the colon. Arch Pathol Lab Med. 2003;127:E64–6.

Hopster D, Smith PA, Nash JR, et al. Synchronous multiple lymphomatous polyposis and adenocarcinomata in the large bowel. Postgrad Med J. 1995;71:443.

Venhoff N, Effelsberg NM, Salzer U, et al. Impact of rituximab on immunoglobulin concentrations and B cell numbers after cyclophosphamide treatment in patients with ANCA-associated vasculitides. PLoS One. 2012;7(5):e37626.

Van Der Meer, J. M., & Weening, R. S. (1993). Colorectal cancer in patients with X-linked agammaglobulinaemia. Lancet. 1993; 341(8858):1439.

Qiao Q, Ramadani M, Gansauge S, et al. Reduced membranous and ectopic cytoplasmic expression of beta-catenin correlate with cyclin D1 overexpression and poor prognosis in pancreatic cancer. Int J Cancer 2001;95:194–197.

PET/CT scan showing extensive FDG-avid tumor featuring

Downloads

Published

2013-07-10

How to Cite

Dasanu, C. A., Shimanovsky, A., Rotundo, E. K., Posteraro, A. F., Cooper, D. L., & Atienza, J. A. (2013). Collision Tumors: Pancreatic Adenocarcinoma and Mantle Cell Lymphoma. JOP. Journal of the Pancreas, 14(4), 458–462. https://doi.org/10.6092/1590-8577/1533